症例詳細
Case detail
変色してきた前歯をセラミック治療
治療症例の内容
- 診療科目
- 治療カテゴリ
- 担当医
- 大元洋佑(ドクタープロフィール)
- 患者様
- 20代女性
- 治療期間
- 1ヶ月
- 治療回数
- 1回
- 治療計画
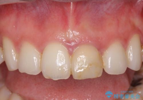
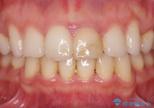
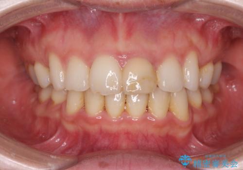
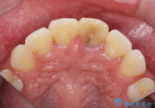
- 神経の治療をしたまま放置していた歯が、変色してきたので改善したい。と前歯の審美性の改善を求めて来院されました。
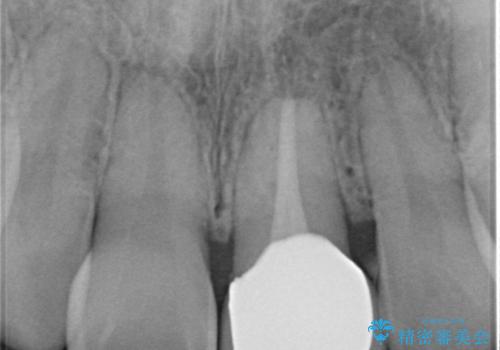
根管治療後の歯には部分的な修復処置が為され、変色が進行している状態でした。
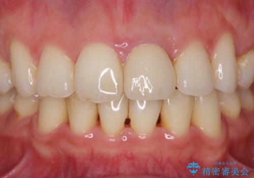
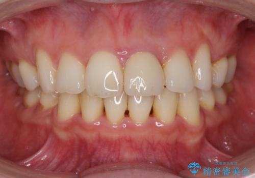
ジルコニアクラウンを用いて、自然な色調となるよう治療を計画します。
- 費用(概算)
- 13.2万円(ジルコニアクラウン・仮歯)費用は治療当時の料金となります
治療について
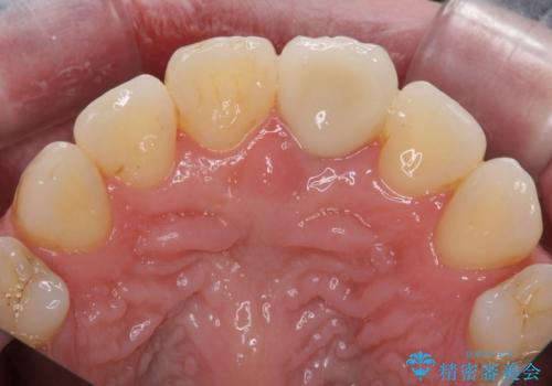
根管治療は行わず、仮歯・ジルコニアクラウンのみの処置を行い自然な歯に仕上げることができました。
セラミック治療の注意事項(リスク・副作用など)
- 天然歯を削ります
- 硬い素材は天然歯を傷つけてしまう場合があります
- かみ合わせや歯ぎしりが強すぎる方はセラミックが割れてしまう可能性があります
- 自費診療(保険適用外治療)となります
当サイトの内容、テキスト、画像等の無断転載、複製、複写、盗用を固く禁じます。














