症例詳細
Case detail
[矮小歯の治療] ジルコニアクラウンを用いた審美改善
治療症例の内容
- 担当医
- 大元洋佑(ドクタープロフィール)
- 患者様
- 20代女性
- 治療期間
- 1ヶ月
- 治療回数
- 2-5回
- 治療計画
- 歯が小さいことによる審美障害を主訴に来院されました。
ジルコニアクラウンを用いて審美性の改善を計画します。
- 費用(概算)
- 12万円費用は治療当時の料金となります
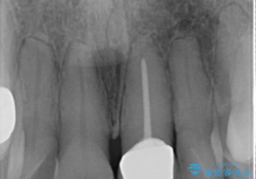
小さな歯の治療について
生まれつき小さな歯を矮小歯と言います。
矮小歯は、歯列の中で空隙の原因となったり審美的な問題を引き起こすことがあります。
今回、特に病的な状態とは言えませんが審美面の改善を希望されたので最小限歯を削合しオールセラミックジルコニアクラウンで審美性の改善を行いました。
同時に行った根管治療でも良好な結果が見られています。
セラミック治療の注意事項(リスク・副作用など)
- 天然歯を削ります
- 硬い素材は天然歯を傷つけてしまう場合があります
- かみ合わせや歯ぎしりが強すぎる方はセラミックが割れてしまう可能性があります
- 自費診療(保険適用外治療)となります
根管治療の注意事項(リスク・副作用など)
- 根管治療により類似の全ての症例の問題が解決するわけではなく、症例はあくまでも一例です
- 根管治療により痛みや腫れがひかない事や、術後に痛みや腫れが生じる事、治療によるファイル破折やパーフォレーションなどの偶発症、術後の歯根破折を生じる可能性もあります
- 自費診療(保険適用外)となります
当サイトの内容、テキスト、画像等の無断転載、複製、複写、盗用を固く禁じます。

![[矮小歯の治療] ジルコニアクラウンを用いた審美改善の治療前](https://seimitsushinbi.jp/wp/wp-content/uploads/2017/12/66537bd5182ba97cfd08630de307749d-500x350.jpg)
![[矮小歯の治療] ジルコニアクラウンを用いた審美改善の治療中](https://seimitsushinbi.jp/wp/wp-content/uploads/2017/12/f4089db39255a7aa851234f9ae1302d6-500x350.jpg)
![[矮小歯の治療] ジルコニアクラウンを用いた審美改善の治療後](https://seimitsushinbi.jp/wp/wp-content/uploads/2017/12/7e992dd7dfc256492ab1d9c7270943df-500x350.jpg)
![[矮小歯の治療] ジルコニアクラウンを用いた審美改善の治療前](https://seimitsushinbi.jp/wp/wp-content/uploads/2017/12/1c46a320e645ceca86056694ac54ab35-500x350.jpg)
![[矮小歯の治療] ジルコニアクラウンを用いた審美改善の治療中](https://seimitsushinbi.jp/wp/wp-content/uploads/2017/12/e1d71843437f41061c4a23f20d63b0fb-500x350.jpg)
![[矮小歯の治療] ジルコニアクラウンを用いた審美改善の治療後](https://seimitsushinbi.jp/wp/wp-content/uploads/2017/12/48a93124384ba2a0756e7ae1341fee51-500x350.jpg)
![[矮小歯の治療] ジルコニアクラウンを用いた審美改善の治療前](https://seimitsushinbi.jp/wp/wp-content/uploads/2017/12/df3e61aaae4b6b805ca70f208c805289-500x350.jpg)
![[矮小歯の治療] ジルコニアクラウンを用いた審美改善の治療中](https://seimitsushinbi.jp/wp/wp-content/uploads/2017/12/7806a02163f56a4d4e9b38755c642d30-500x350.jpg)
![[矮小歯の治療] ジルコニアクラウンを用いた審美改善の治療後](https://seimitsushinbi.jp/wp/wp-content/uploads/2017/12/1380b82d8a7782673e0494a07d920e47-500x350.jpg)
![[矮小歯の治療] ジルコニアクラウンを用いた審美改善の治療前](https://seimitsushinbi.jp/wp/wp-content/uploads/2017/12/551cc4f5a5b9383eec85b1baaa15a1ca-500x350.jpg)
![[矮小歯の治療] ジルコニアクラウンを用いた審美改善の治療中](https://seimitsushinbi.jp/wp/wp-content/uploads/2017/12/393ab0bae1d1f1790e098881471a3390-500x350.jpg)
![[矮小歯の治療] ジルコニアクラウンを用いた審美改善の治療後](https://seimitsushinbi.jp/wp/wp-content/uploads/2017/12/ec6ebbc2332d28eec56c75a0256d76a9-500x350.jpg)
![[矮小歯の治療] ジルコニアクラウンを用いた審美改善の治療前](https://seimitsushinbi.jp/wp/wp-content/uploads/2017/12/bc9953ca747d7db0bbef30a14dd38de0-500x350.jpg)
![[矮小歯の治療] ジルコニアクラウンを用いた審美改善の治療中](https://seimitsushinbi.jp/wp/wp-content/uploads/2017/12/d7515ff99be51dd8b3bfe1ee636d5cdc-500x350.jpg)
![[矮小歯の治療] ジルコニアクラウンを用いた審美改善の治療後](https://seimitsushinbi.jp/wp/wp-content/uploads/2017/12/e3c74737c6e988aa5951afc5535d5deb-500x350.jpg)
![[矮小歯の治療] ジルコニアクラウンを用いた審美改善の治療前](https://seimitsushinbi.jp/wp/wp-content/uploads/2017/12/000a1e4abd4961a7933e527709c5f5d3-500x350.jpg)
![[矮小歯の治療] ジルコニアクラウンを用いた審美改善の治療中](https://seimitsushinbi.jp/wp/wp-content/uploads/2017/12/2ed9bc60ca78e412afabe25f20dedfb0-500x350.jpg)
![[矮小歯の治療] ジルコニアクラウンを用いた審美改善の治療後](https://seimitsushinbi.jp/wp/wp-content/uploads/2017/12/bddf75b0569bdd0d7f377a9abd42d4f4-500x350.jpg)
![[矮小歯の治療] ジルコニアクラウンを用いた審美改善の治療前](https://seimitsushinbi.jp/wp/wp-content/uploads/2017/12/CI14-500x350.jpg)
![[矮小歯の治療] ジルコニアクラウンを用いた審美改善の治療中](https://seimitsushinbi.jp/wp/wp-content/uploads/2017/12/CI3-500x350.jpg)
![[矮小歯の治療] ジルコニアクラウンを用いた審美改善の治療後](https://seimitsushinbi.jp/wp/wp-content/uploads/2017/12/CI10-500x350.jpg)
![[矮小歯の治療] ジルコニアクラウンを用いた審美改善の治療中](https://seimitsushinbi.jp/wp/wp-content/uploads/2017/12/CI51-500x350.jpg)
![[矮小歯の治療] ジルコニアクラウンを用いた審美改善の治療後](https://seimitsushinbi.jp/wp/wp-content/uploads/2017/12/CI211-500x350.jpg)
![[矮小歯の治療] ジルコニアクラウンを用いた審美改善の治療中](https://seimitsushinbi.jp/wp/wp-content/uploads/2017/12/CI6-500x350.jpg)
![[矮小歯の治療] ジルコニアクラウンを用いた審美改善の治療後](https://seimitsushinbi.jp/wp/wp-content/uploads/2017/12/CI22-500x350.jpg)