症例詳細
Case detail
2級ディープバイト 遠心移動を伴うマウスピース矯正
治療症例の内容
- 患者様
- 20代男性
- 矯正装置
- インビザライン
- 治療期間
- 3年
- 治療回数
- 10-30回
- 治療計画
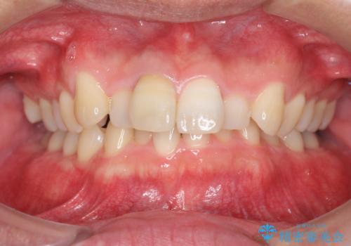
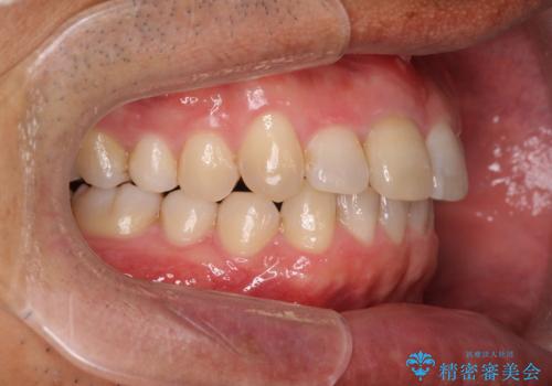
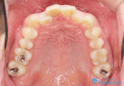
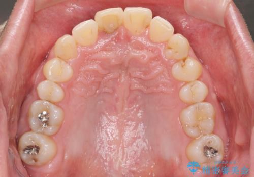
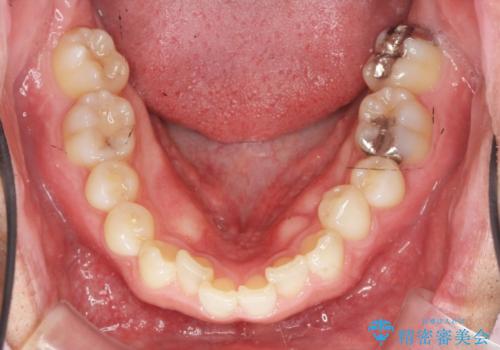
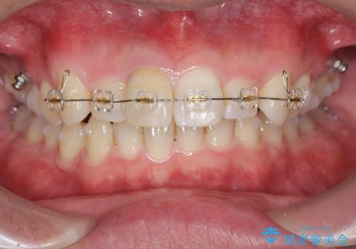
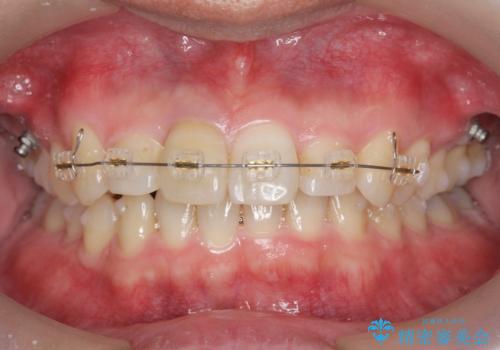
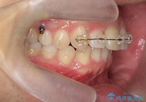
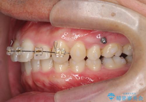
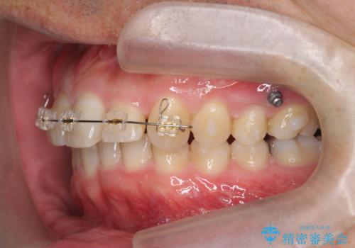
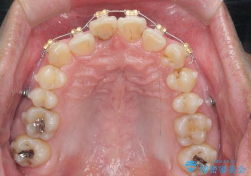
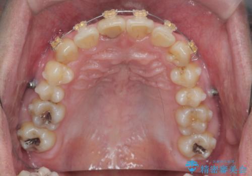
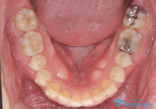
- 前歯のがたつきを改善したい、と矯正治療を希望され来院されました。
・深い噛み合わせ(ディープバイト) ・2級性の咬合関係(上顎前突)・前歯のがたつき
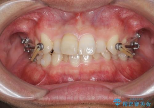
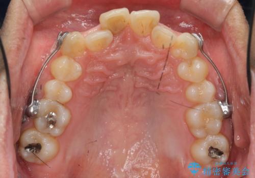
以上のような歯並びの問題をマウスピース矯正インビザライン・カリエール・マイクロインプラント・部分ワイヤー矯正
を用いて改善していきます。
- 費用(概算)
- 99万円費用は治療当時の料金となります
治療について
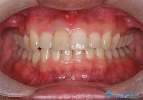
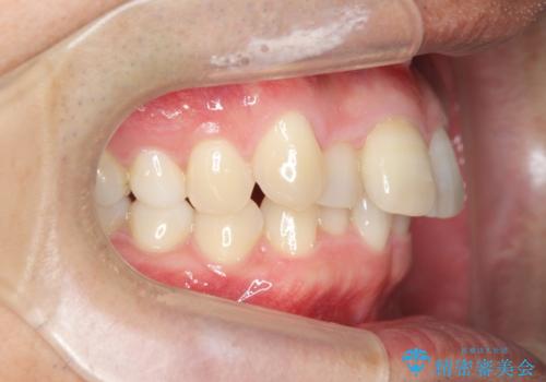
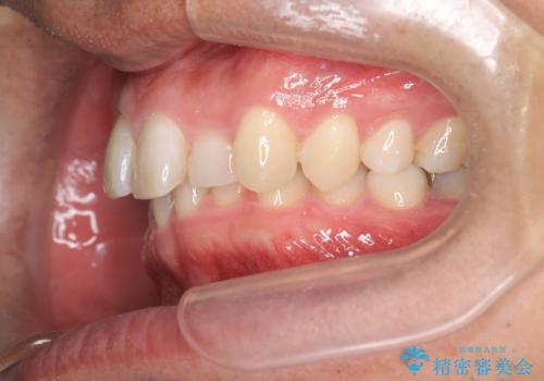
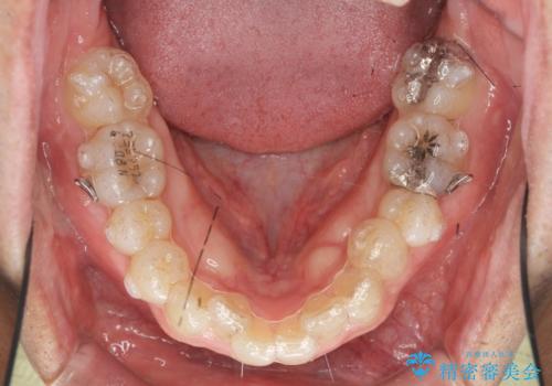
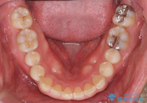
深い噛み合わせと上顎前突の状態を治すのに時間がかかりましたが、治療後は理想的で安定した咬合関係となりました。
マウスピース矯正の注意事項(リスク・副作用など)
- 口腔内・歯並びの状態によっては対応できない場合があります
- マウスピース型矯正装置の長時間装着(1日20時間以上)が必須です
- 治療計画通りに進めるためには、患者様の意志が重要になります
- 矯正治療後の保定が不十分だと後戻り(元の位置に戻ろうとする動き)をします
- 薬機法対象外の矯正歯科装置のため医薬品副作用被害救済制度の対象外となる場合があります
- 自費診療(保険適用外)となります
当サイトの内容、テキスト、画像等の無断転載、複製、複写、盗用を固く禁じます。




























