症例詳細
Case detail
【非抜歯】受け口の改善 10代で始める本格的噛み合わせ治療
治療症例の内容
- 患者様
- 10代 女性
- 矯正装置
- マウスピース(インビザライン)
- 治療期間
- 1年6ヶ月
- 治療回数
- 10-30回
- 治療計画
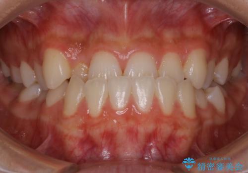
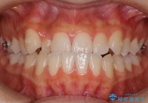
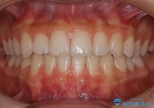
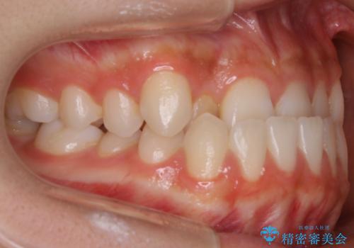
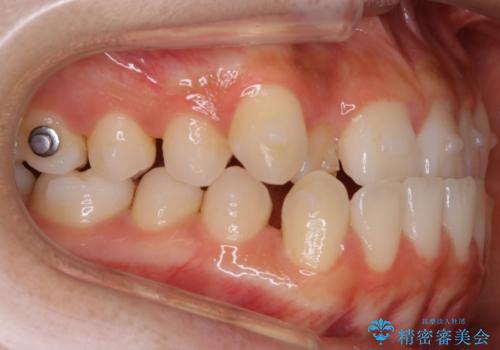
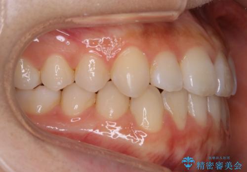
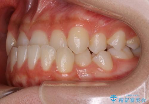
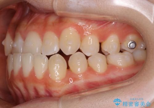
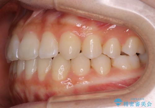
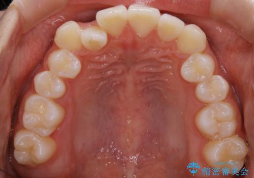
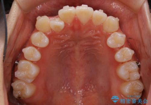
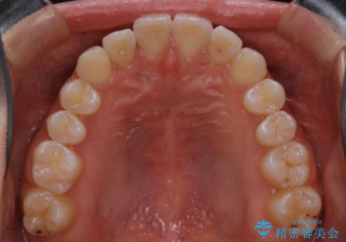
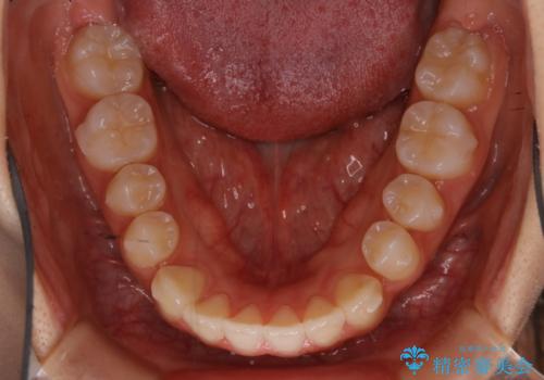
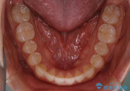
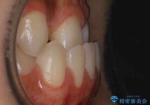
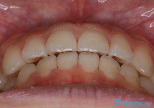
- 受け口の改善と前歯のガタつきの治療を主訴にご来院されました。
こちらの患者様の場合、上の前歯のガタつきが原因で口を閉じる際に上下の前歯の先端同士が先に当たってしまい、そこからさらに深く噛み込もうとすると下顎が前にずれていってしまうという、機能性の反対咬合であることが検査の結果わかりました。
そのため、まずは上顎の前歯のガタつきを改善していき、前歯が先に当たってしまうという症状を改善し噛み込む位置を後方の本来の位置に誘導する方法をとりました。
- 費用(概算)
- 税込 ¥880,000- (インビザライン コンプリヘンシブパッケージ)費用は治療当時の料金となります
反対咬合(受け口)
本来、正常な噛み合わせの場合は上顎の前歯が下顎の前歯より前に覆いかぶさるように噛み込んでくる状態が理想的です。
それに対して「反対咬合(受け口)」の場合は、下顎の前歯が上顎の前歯より前に出てきてしまう状態を指します。
その原因は ①骨格的問題 ②機能的問題 の2つに大きく分かれます。
①に関しては外科的手術を併用した矯正治療を必要とする場合が多く、大学病院や専門の設備を備えた医院での治療が必要となります。
原因が②であった場合は、手術を必要とせず口腔内ではの位置を変えてあげるだけで噛み合わせや顔貌を変化させることができる場合があります。
マウスピース矯正の注意事項(リスク・副作用など)
- 口腔内・歯並びの状態によっては対応できない場合があります
- マウスピース型矯正装置の長時間装着(1日20時間以上)が必須です
- 治療計画通りに進めるためには、患者様の意志が重要になります
- 矯正治療後の保定が不十分だと後戻り(元の位置に戻ろうとする動き)をします
- 薬機法対象外の矯正歯科装置のため医薬品副作用被害救済制度の対象外となる場合があります
- 自費診療(保険適用外)となります
当サイトの内容、テキスト、画像等の無断転載、複製、複写、盗用を固く禁じます。

























