症例詳細
Case detail
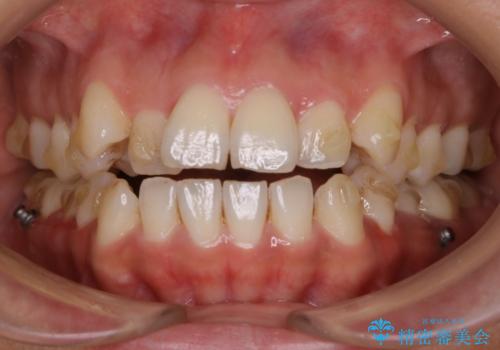
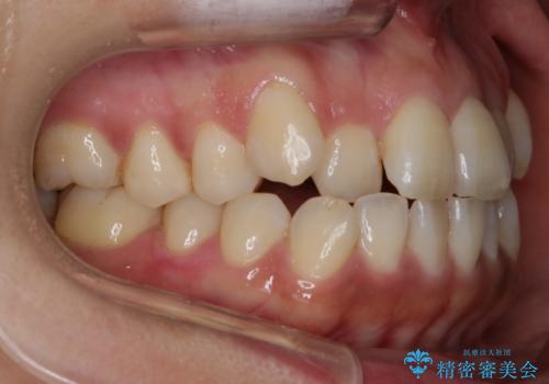
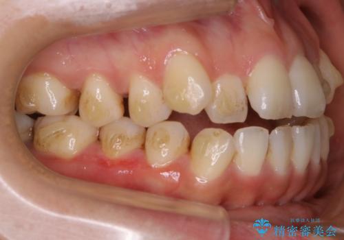
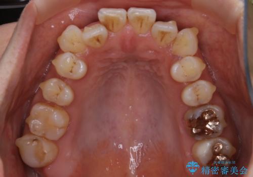
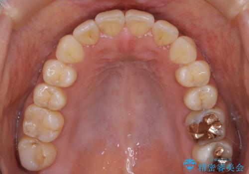
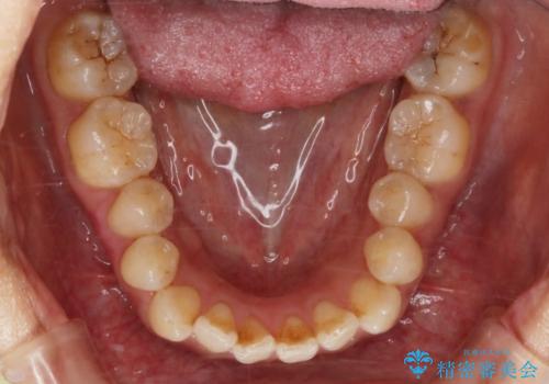
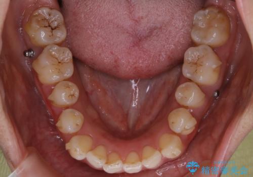
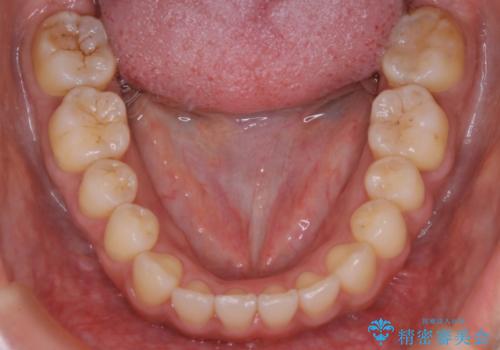
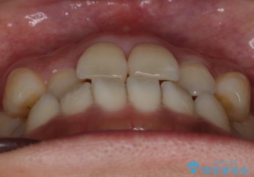
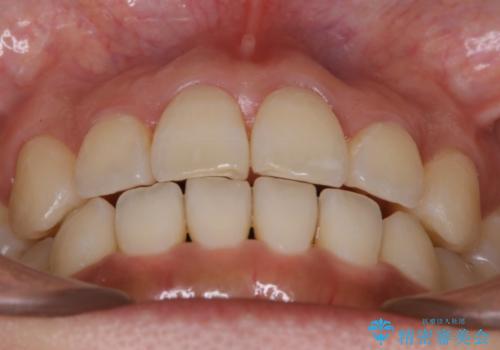
【非抜歯】20代女性 歯のガタつきと噛み合わせの治療
治療症例の内容
- 患者様
- 20代 女性
- 矯正装置
- マウスピース(インビザライン)
- 治療期間
- 2年
- 治療回数
- 10-30回
- 治療計画
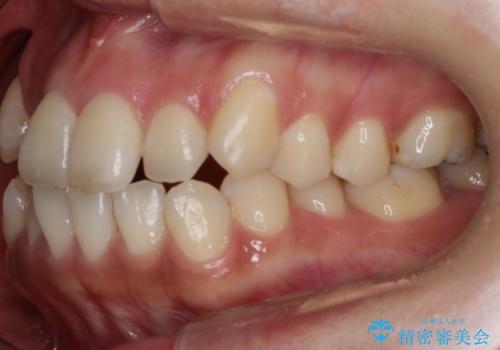
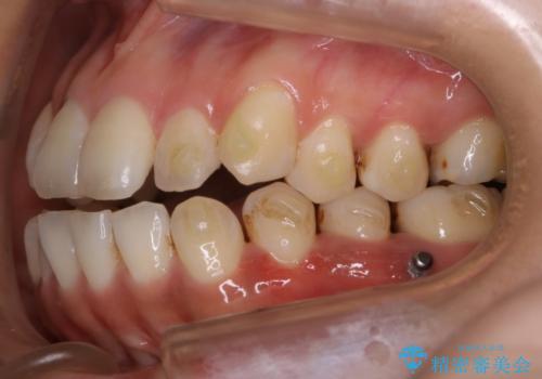
- 前歯のガタつき・反対咬合の改善や、噛み合わせの治療を主訴にご来院されました。
- 費用(概算)
- 税込 ¥968,000- (インビザライン コンプリヘンシブパッケージ + マイクロインプラント)費用は治療当時の料金となります
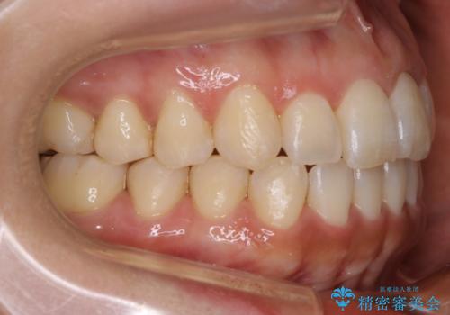
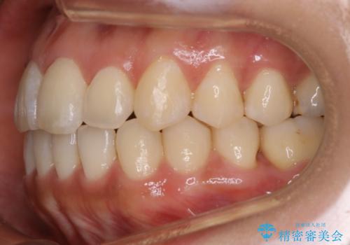
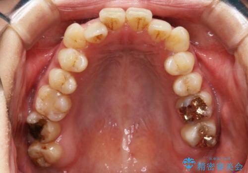
非抜歯矯正
マウスピースとマイクロインプラントを組み合わせることで、抜歯をしなくても歯並びを治すためのスペースを作ることができます。奥歯から順に移動させていくので前歯に変化が出るまでには時間がかかりますが、どの分健康な歯を抜歯することなく理想的な歯並びを手に入れることができます。
マウスピース矯正の注意事項(リスク・副作用など)
- 口腔内・歯並びの状態によっては対応できない場合があります
- マウスピース型矯正装置の長時間装着(1日20時間以上)が必須です
- 治療計画通りに進めるためには、患者様の意志が重要になります
- 矯正治療後の保定が不十分だと後戻り(元の位置に戻ろうとする動き)をします
- 薬機法対象外の矯正歯科装置のため医薬品副作用被害救済制度の対象外となる場合があります
- 自費診療(保険適用外)となります
当サイトの内容、テキスト、画像等の無断転載、複製、複写、盗用を固く禁じます。




















