症例詳細
Case detail
変色した前歯 オールセラミッククラウンにより審美歯科治療
治療症例の内容
- 診療科目
- 治療カテゴリ
- 担当医
- 藤巻太一朗(ドクタープロフィール)
- 患者様
- 20代女性
- 治療期間
- 1ヶ月
- 治療回数
- 2-5回
- 治療計画
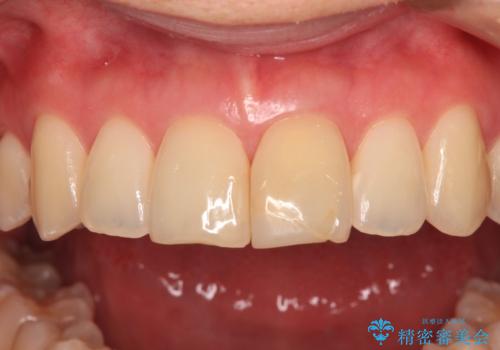
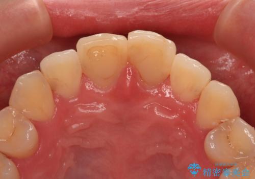
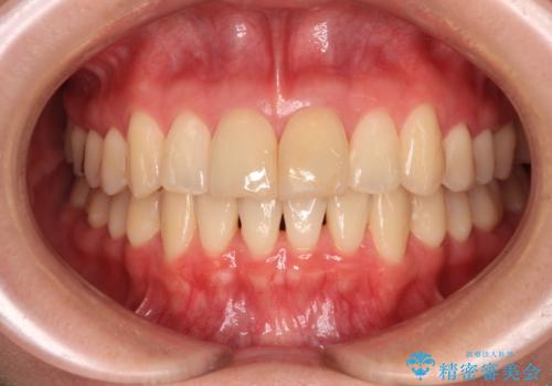
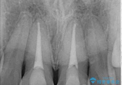
- 神経を取り除いたことで経年変色した前歯2本を気にして来院された患者様です。
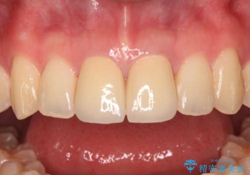
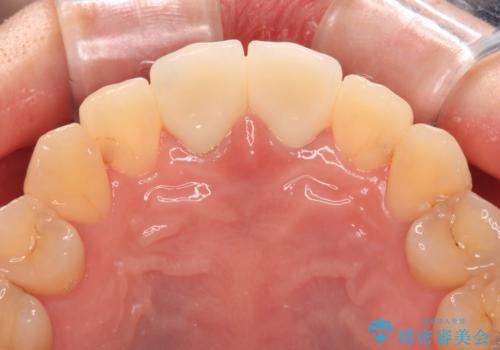
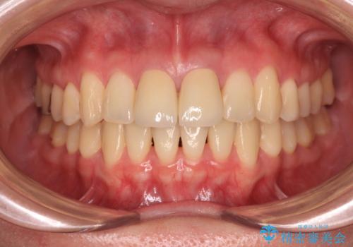
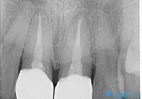
根管治療を行う必要はないと判断し、双方の歯にグラスファイバーを含有した土台を植立してオールセラミッククラウンにて補綴することとしました。
- 費用(概算)
- 治療費の目安: 32万円(税込)費用は治療当時の料金となります
治療について
色調が周囲の歯とアウトともに、表面のつぎはぎや穴を封鎖した際の段差などが解消され、天然歯のような感触となりました。
セラミック治療の注意事項(リスク・副作用など)
- 天然歯を削ります
- 硬い素材は天然歯を傷つけてしまう場合があります
- かみ合わせや歯ぎしりが強すぎる方はセラミックが割れてしまう可能性があります
- 自費診療(保険適用外治療)となります
当サイトの内容、テキスト、画像等の無断転載、複製、複写、盗用を固く禁じます。












