症例詳細
Case detail
適合の悪い保険診療のクラウンをオールセラミッククラウンに
治療症例の内容
- 診療科目
- 治療カテゴリ
- 担当医
- 藤巻太一朗(ドクタープロフィール)
- 患者様
- 30代女性
- 治療期間
- 1ヶ月
- 治療回数
- 2-5回
- 治療計画
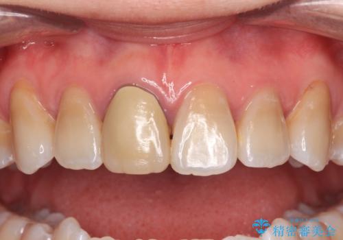
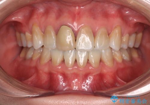
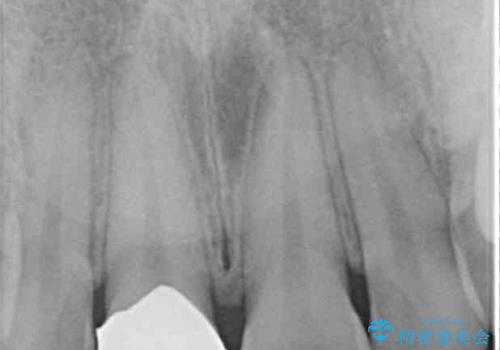
- 結婚式を前に、保険診療での前歯のクラウンが気になるとのことで来院された患者様です。
色合いだけでなく、歯肉の縁が黒くなっていることが分かります。
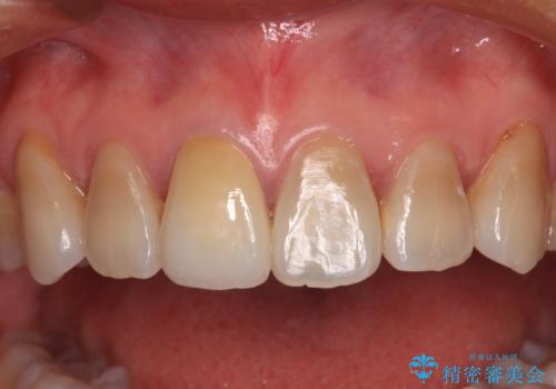
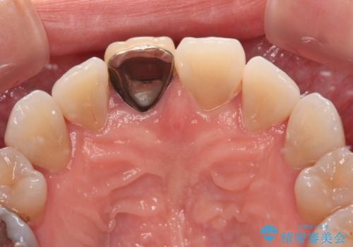
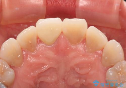
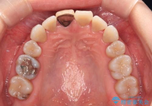
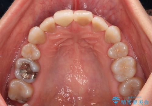
速やかに仮歯に交換し、オールセラミッククラウンにて補綴することとしました。
- 費用(概算)
- 治療費の目安: 16万円(税込)費用は治療当時の料金となります
治療について
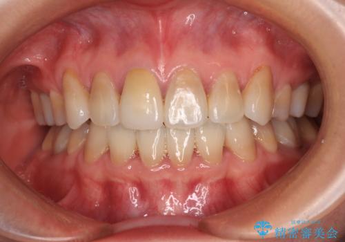
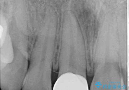
神経組織が健全な状態で残っている歯であったため、1ヶ月かからずに治療を終えることができました。
セラミック治療の注意事項(リスク・副作用など)
- 天然歯を削ります
- 硬い素材は天然歯を傷つけてしまう場合があります
- かみ合わせや歯ぎしりが強すぎる方はセラミックが割れてしまう可能性があります
- 自費診療(保険適用外治療)となります
当サイトの内容、テキスト、画像等の無断転載、複製、複写、盗用を固く禁じます。












