症例詳細
Case detail
既に2本が抜歯されている歯列 咬み合わせのズレを改善する抜歯矯正
治療症例の内容
- 診療科目
- 治療カテゴリ
- 担当医
- 藤巻太一朗(ドクタープロフィール)
- 患者様
- 30代女性
- 矯正装置
- メタルブラケット
- 治療期間
- 2年9ヶ月
- 治療回数
- 10-30回
- 治療計画
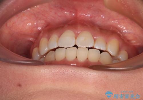
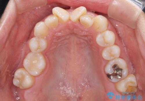
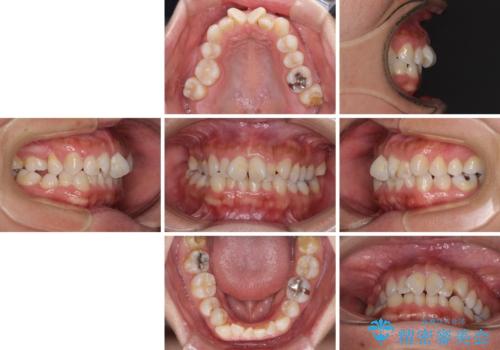
- 上下前歯のデコボコを気にして来院された患者様です。
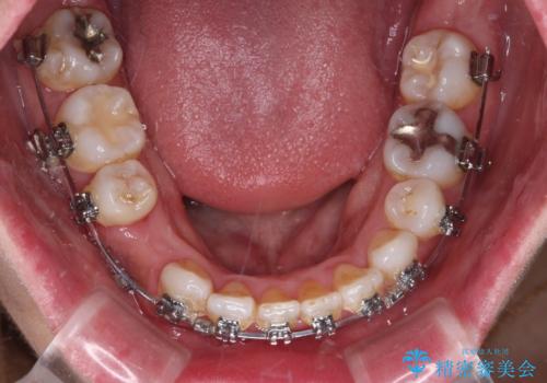
右上と左下の小臼歯が1本ずつ欠損しており、奥歯の咬み合わせが乱れている状態でした。
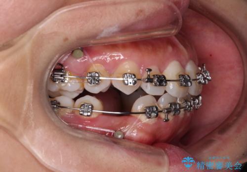
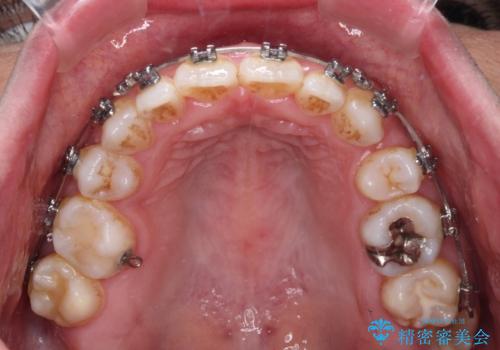
バランスを取るために右下と左上の小臼歯を1本ずつ抜歯し、移動のための固定源としてアンカースクリューを利用してワイヤー装置による矯正治療を行うこととしました。
- 費用(概算)
- 治療費の目安: 90万円(税込)費用は治療当時の料金となります
治療について
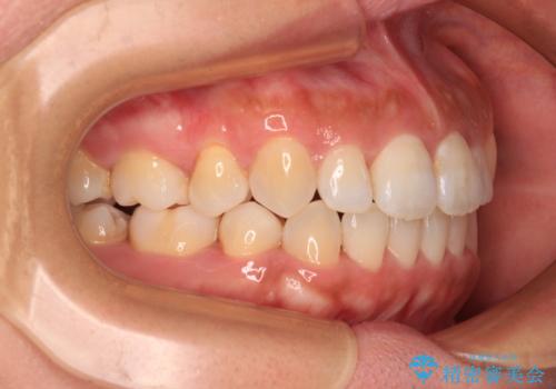
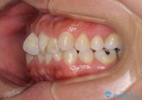
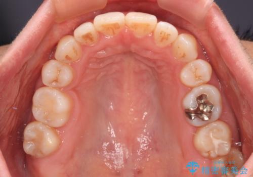
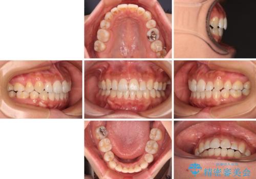
骨格的な左右差があり、上下正中をぴったり合わせることは難しく、奥歯の咬み合わせの調整にも時間がかかりましたが、きれいに整えることができました。
ワイヤー矯正の注意事項(リスク・副作用など)
- 治療中は違和感や痛みが起こることがあります
- 症状により、抜歯が必要な場合があります
- 治療中は歯磨きがしにくくなるため、虫歯や歯周病になりやすくなります
- 矯正治療後の保定が不十分だと後戻り(元の位置に戻ろうとする動き)をします
- 自費診療(保険適用外)となります
当サイトの内容、テキスト、画像等の無断転載、複製、複写、盗用を固く禁じます。


























