症例詳細
Case detail
欠けてしまった奥歯のむし歯治療
治療症例の内容
- 診療科目
- 担当医
- 藤巻太一朗(ドクタープロフィール)
- 患者様
- 50代男性
- 治療期間
- 1ヶ月
- 治療回数
- 2-5回
- 治療計画
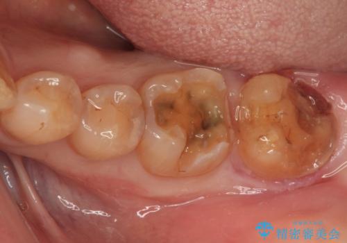
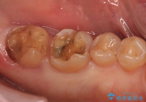
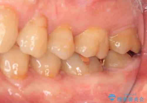
- 奥歯が欠けており、近医でむし歯を指摘されたとのことで来院された患者様です。
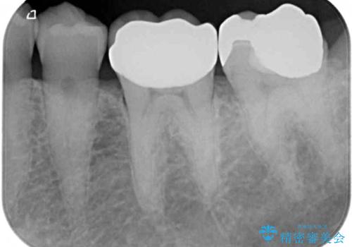
1番奥の歯はゴールドインレー周りがむし歯で欠けており、手前の歯はインレーの下にむし歯がある状態でした。
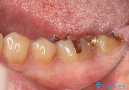
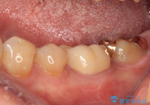
1番奥は歯肉に覆われている部分が大きいため、欠損部とむし歯の部分をゴールドインレーにて修復し、手前の歯はオールセラミッククラウンにて補綴治療を行うこととしました。
- 費用(概算)
- 治療費の目安: 25万円(税込)費用は治療当時の料金となります
治療について
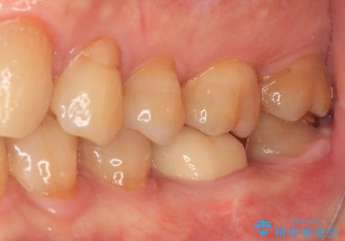
来院前から痛みはありませんでしたが、食事の度にものが挟まる不快感がありました。
処置後はスッキリとした環境になりました。
セラミック治療の注意事項(リスク・副作用など)
- 天然歯を削ります
- 硬い素材は天然歯を傷つけてしまう場合があります
- かみ合わせや歯ぎしりが強すぎる方はセラミックが割れてしまう可能性があります
- 自費診療(保険適用外治療)となります
PGA(ゴールド)クラウン、インレーの注意事項(リスク・副作用など)
- インレーおよびクラウンは脱離するリスクがあります
- 形成量はセラミックより少ないですが、歯の形成、修復後に歯に症状が出ることがあります
- 自費診療(保険適用外治療)となります
当サイトの内容、テキスト、画像等の無断転載、複製、複写、盗用を固く禁じます。












