症例詳細
Case detail
八重歯と乱れた咬み合わせを改善 ワイヤー装置での抜歯矯正
治療症例の内容
- 患者様
- 20代女性
- 矯正装置
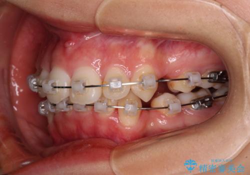
- クリアブラケット
- 治療期間
- 2年7ヶ月
- 治療回数
- 10-30回
- 治療計画
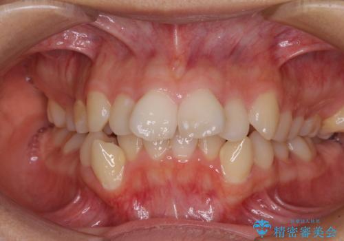
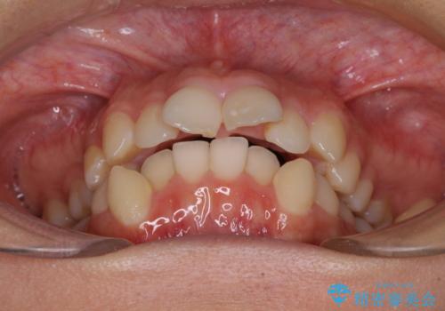
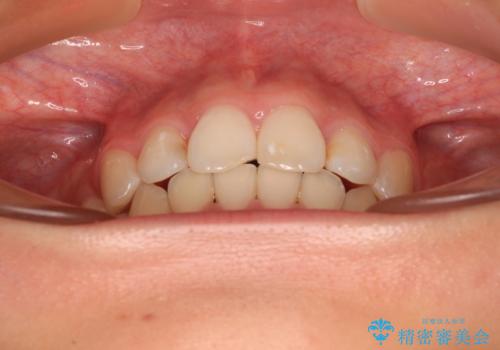
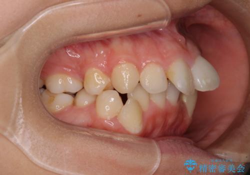
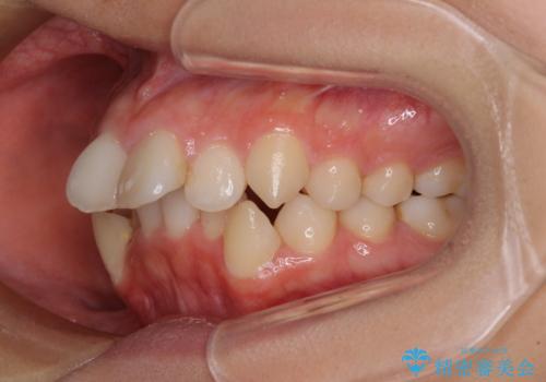
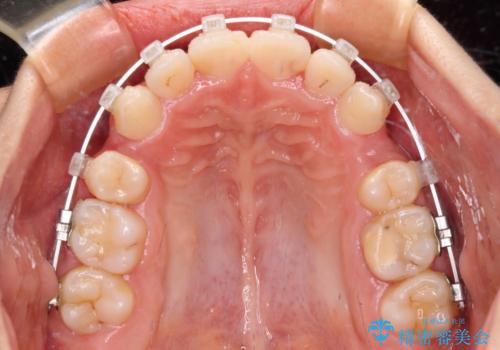
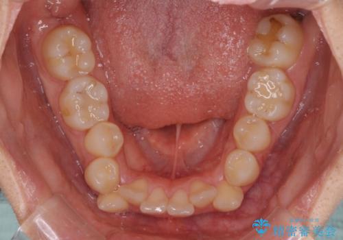
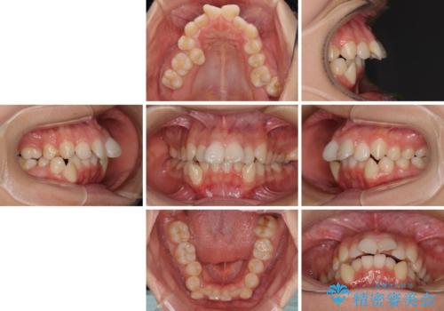
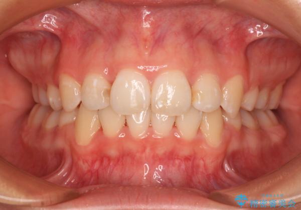
- 咬み合わせと、前歯のデコボコや八重歯、飛び出した口元を気にして来院された患者様です。
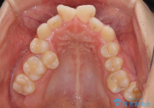
上顎は歯列不正が強く、右側臼歯部の咬み合わせは歯1本分ずれている状態でした。
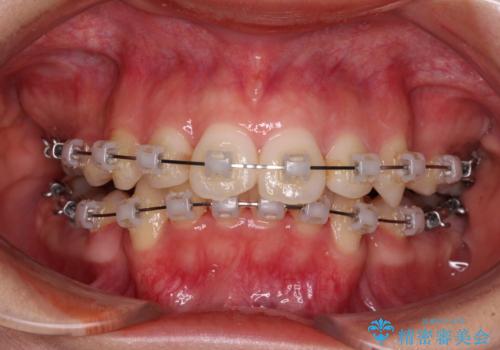
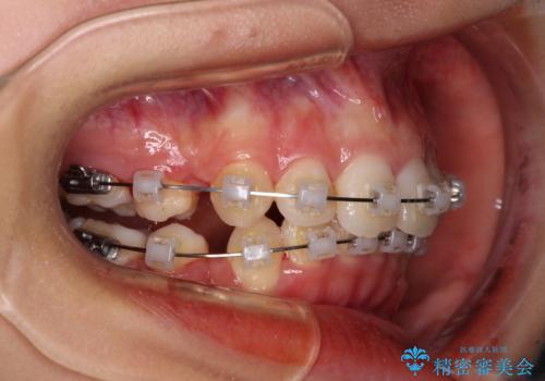
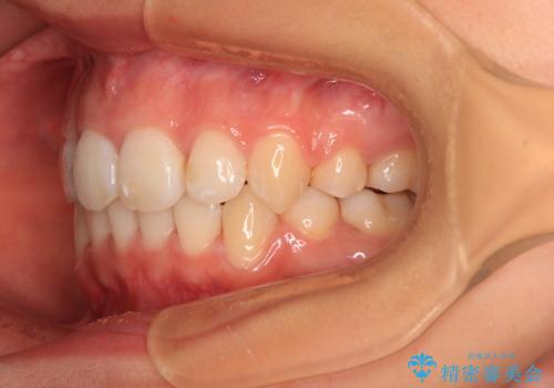
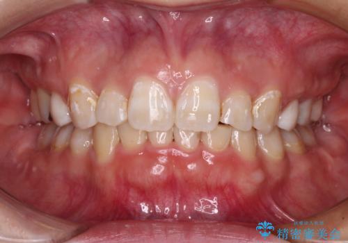
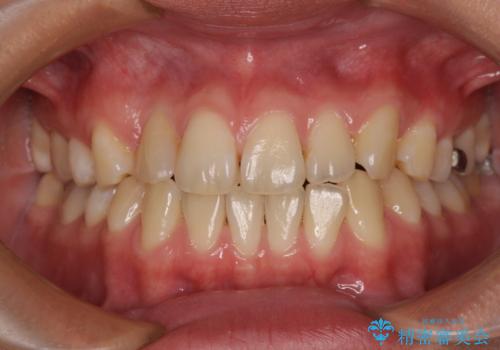
補助装置を用いて奥歯の咬み合わせを改善しながら歯列を後方に移動させ、上下左右第一小臼歯を4本抜歯することで八重歯や口元の突出感を改善することとしました。
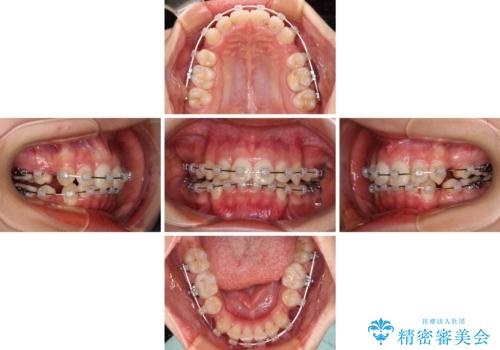
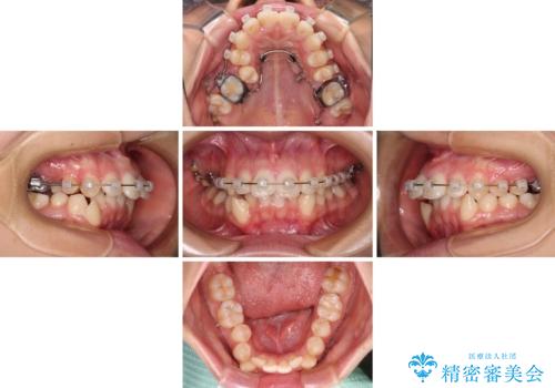
奥歯の咬み合わせの不正が顕著であったため、表側のワイヤー装置を選択して矯正治療を行うこととしました。
- 費用(概算)
- 治療費の目安: 120万円(税込)費用は治療当時の料金となります
治療について
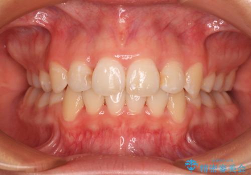
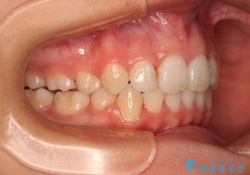
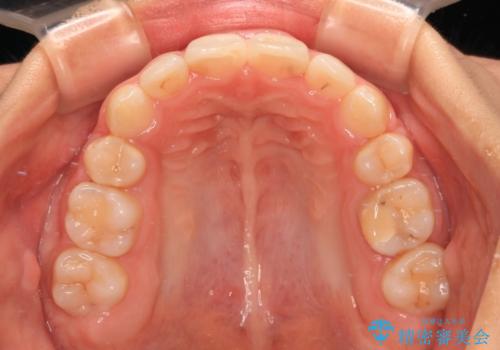
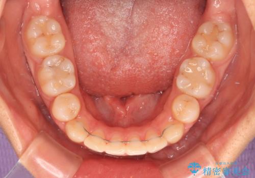
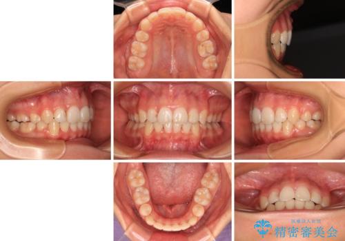
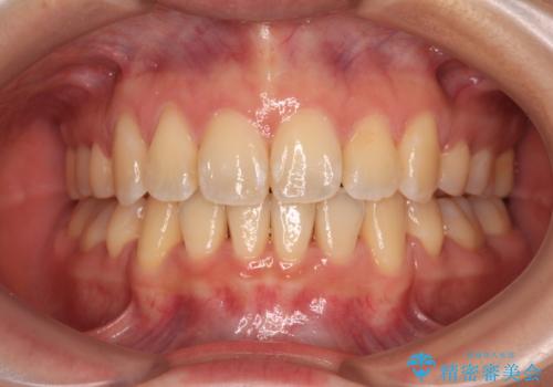
補助装置を併用したおかげでスムーズに奥歯の咬み合わせを改善することができ、我々も予想できないくらい理想的な仕上がりにすることができました。
ワイヤー矯正の注意事項(リスク・副作用など)
- 治療中は違和感や痛みが起こることがあります
- 症状により、抜歯が必要な場合があります
- 治療中は歯磨きがしにくくなるため、虫歯や歯周病になりやすくなります
- 矯正治療後の保定が不十分だと後戻り(元の位置に戻ろうとする動き)をします
- 自費診療(保険適用外)となります
当サイトの内容、テキスト、画像等の無断転載、複製、複写、盗用を固く禁じます。



























