症例詳細
Case detail
インビザラインが続けられない 装置変更して抜歯矯正
治療症例の内容
- 担当医
- 藤巻太一朗(ドクタープロフィール)
- 患者様
- 30代女性
- 矯正装置
- インビザライン・審美装置
- 治療期間
- 3年10ヶ月
- 治療回数
- 10-30回
- 治療計画
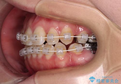
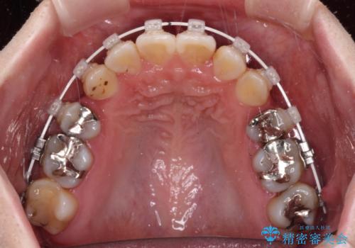
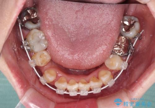
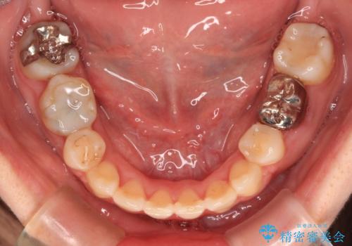
- 八重歯やデコボコを気にして来院された患者様です。
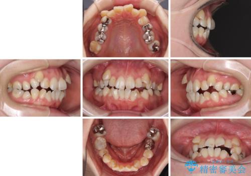
お住まいから船での通院となることから、補助装置を使用しながらインビザラインにて上下左右第一小臼歯4本を抜歯した矯正治療を行うこととしました。
ところが、インビザラインでの自己管理が煩わしいと感じてしまい、途中で矯正治療を投げ出すことになってしまいました。
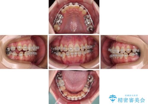
相談の上、表側の目立ちにくいワイヤー装置により矯正治療を継続していくこととしました。
- 費用(概算)
- 治療費の目安: 140万円(税込)費用は治療当時の料金となります
治療について
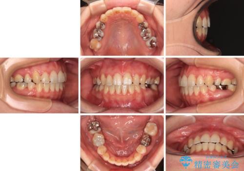
マウスピース(インビザライン)はほとんど使用することができませんでしたが、補助装置により上顎の八重歯は改善しておいたので、ワイヤー装置ではスムーズに治療を終えることができました。
ワイヤー矯正の注意事項(リスク・副作用など)
- 治療中は違和感や痛みが起こることがあります
- 症状により、抜歯が必要な場合があります
- 治療中は歯磨きがしにくくなるため、虫歯や歯周病になりやすくなります
- 矯正治療後の保定が不十分だと後戻り(元の位置に戻ろうとする動き)をします
- 自費診療(保険適用外)となります
当サイトの内容、テキスト、画像等の無断転載、複製、複写、盗用を固く禁じます。



























