症例詳細
Case detail
【オールセラミッククラウン】被せ物の色が気になる!
治療症例の内容
- 診療科目
- 治療カテゴリ
- 担当医
- 河野豊嘉(ドクタープロフィール)
- 患者様
- 50代男性
- 治療期間
- 1ヶ月
- 治療回数
- 2-5回
- 治療計画
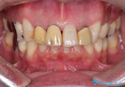
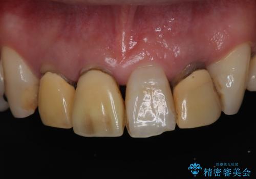
- 「被せ物の色が気になる」を主訴に来院された患者さんです。
保険で治療した被せ物が劣化し色も変色をおこしていました。かつ被せ物と歯の境目(適合)も合っていない状態でした。
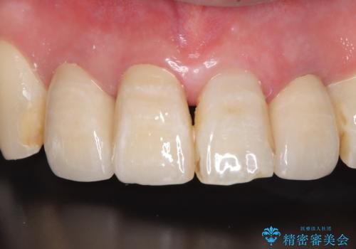
古い被せ物を除去しオールセラミッククラウンで治療を行いました。
- 費用(概算)
- 495,000円(オールセラミッククラウンスペシャル154,000円×3本+仮歯11,000円×3本)費用は治療当時の料金となります
治療について
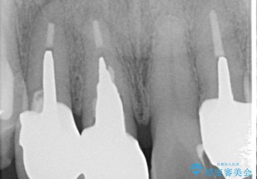
被せ物の適合が悪く劣化もおこし色が変色している状態でした。そのため他の歯とも色が合っていませんでした。古い被せ物を除去し形を整えた後にオールセラミッククラウンで治療を行いました。
根っこの先端に病巣(根尖性歯周炎)があったため根管治療または抜歯してインプラントを提案しましたが、患者さんのご希望により被せ物の治療のみを行いました。
セラミック治療の注意事項(リスク・副作用など)
- 天然歯を削ります
- 硬い素材は天然歯を傷つけてしまう場合があります
- かみ合わせや歯ぎしりが強すぎる方はセラミックが割れてしまう可能性があります
- 自費診療(保険適用外治療)となります
当サイトの内容、テキスト、画像等の無断転載、複製、複写、盗用を固く禁じます。












