症例詳細
Case detail
【インプラント】歯が無いので入れて欲しい!
治療症例の内容
- 患者様
- 20代男性
- 治療期間
- 1年11ヶ月
- 治療回数
- 5-10回
- 治療計画
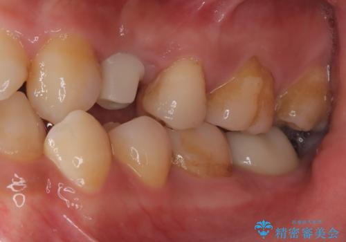
- 「歯がないので入れて欲しい」を主訴に来院された患者さんです。
虫歯がかなり進行していて根っこしか残っていない状態でした。日々の歯ブラシが上手く出来ていなくプラーク(細菌の塊)も溜まっている状態でした。
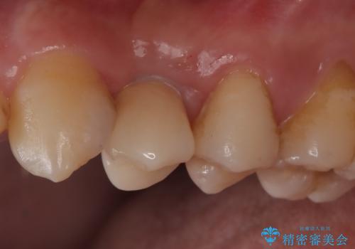
歯を保存するのは出来ないと診断し抜歯した後にインプラントで治療を行いました。
- 費用(概算)
- 440,000円(インプラント体220,000円+カスタムアバットメント110,000円+オールセラミッククラウン110,000円)費用は治療当時の料金となります
治療について
長い間虫歯を放置していたため、根っこだけになっている状態でした。このままでは被せ物を被せられないため抜歯を行い治癒を待った後にインプラントを埋入しオールセラミッククラウンで治療を行いました。
セラミック治療の注意事項(リスク・副作用など)
- 天然歯を削ります
- 硬い素材は天然歯を傷つけてしまう場合があります
- かみ合わせや歯ぎしりが強すぎる方はセラミックが割れてしまう可能性があります
- 自費診療(保険適用外治療)となります
インプラント治療の注意事項(リスク・副作用など)
- 外科手術のため、術後に痛みや腫れ、違和感を伴います
- メンテナンスを怠ったり喫煙により、お口の中に大きな悪影響を及ぼすインプラント周囲炎等にかかる可能性があります
- 糖尿病、肝硬変、心臓病等の場合、インプラント治療ができない可能性があります
- 高血圧、貧血・不整脈等の場合、インプラント治療後に治癒不全を招く可能性があります
- 自費診療(保険適用外治療)となります
当サイトの内容、テキスト、画像等の無断転載、複製、複写、盗用を固く禁じます。



















