症例詳細
Case detail
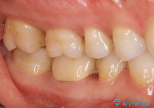
歯と歯の間によくものが詰まる。。セラミック治療
治療症例の内容
- 診療科目
- 担当医
- 菊地俊介(ドクタープロフィール)
- 患者様
- 40代女性
- 治療期間
- 治療回数
- 2-5回
- 治療計画
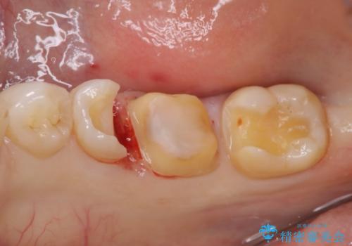
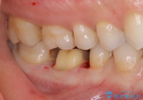
- 歯と歯の間によくものが詰まるということで来院された患者様です。
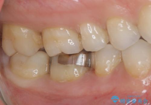
銀歯のある部分によくものが詰まるようで、診断の結果セラミックにて治療を行う計画を立てて
銀歯を外し他の歯も虫歯があったためそちらも一緒に治療を行いました。
- 費用(概算)
- 275000円費用は治療当時の料金となります
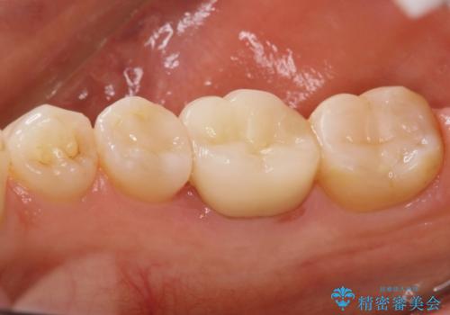
治療について
銀歯だったところは、歯質を削る量が多かったためクラウンにて治療し、前後の歯に関してはインレーにて治療を行なっております。
また、歯肉に関してもきれいに治って患者様も満足されていました。
セラミック治療の注意事項(リスク・副作用など)
- 天然歯を削ります
- 硬い素材は天然歯を傷つけてしまう場合があります
- かみ合わせや歯ぎしりが強すぎる方はセラミックが割れてしまう可能性があります
- 自費診療(保険適用外治療)となります
当サイトの内容、テキスト、画像等の無断転載、複製、複写、盗用を固く禁じます。











