症例詳細
Case detail
前歯の形気になる セラミッククラウン(SP)
治療症例の内容
- 診療科目
- 治療カテゴリ
- 担当医
- 菊地俊介(ドクタープロフィール)
- 患者様
- 20代女性
- 治療期間
- 2ヶ月
- 治療回数
- 2-5回
- 治療計画
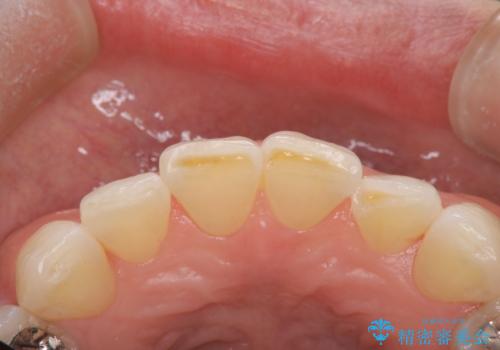
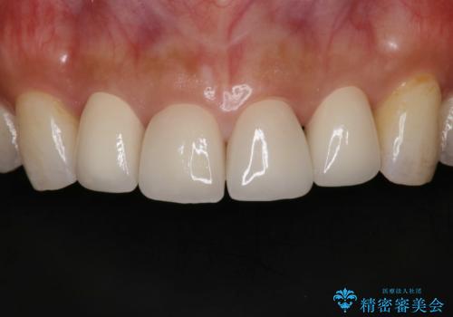
- 矯正終了した患者様で、前歯の形が気になるということで
セラミッククラウンにて治療された方の症例です。
- 費用(概算)
- 154000×4本費用は治療当時の料金となります
治療について
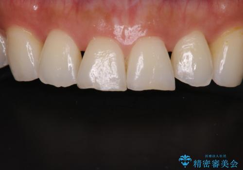
患者様と何度か修正を加えながら歯の形、色に満足していただけました。
また、神経がある歯なのでシミたりすることが場合によってはありますので、担当歯科医師にご相談ください。
セラミック治療の注意事項(リスク・副作用など)
- 天然歯を削ります
- 硬い素材は天然歯を傷つけてしまう場合があります
- かみ合わせや歯ぎしりが強すぎる方はセラミックが割れてしまう可能性があります
- 自費診療(保険適用外治療)となります
当サイトの内容、テキスト、画像等の無断転載、複製、複写、盗用を固く禁じます。








