症例詳細
Case detail
歯の形気になる!! セラミック治療 前歯( エクセレント)
治療症例の内容
- 診療科目
- 治療カテゴリ
- 担当医
- 菊地俊介(ドクタープロフィール)
- 患者様
- 30代女性
- 治療期間
- 2ヶ月
- 治療回数
- 2-5回
- 治療計画
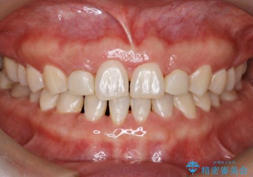
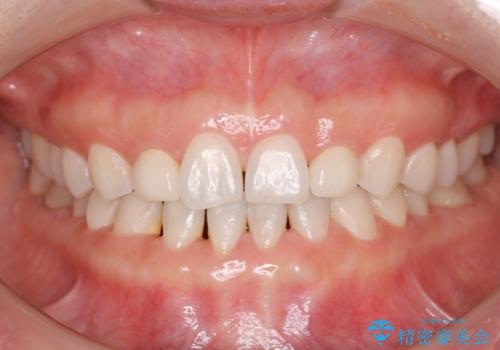
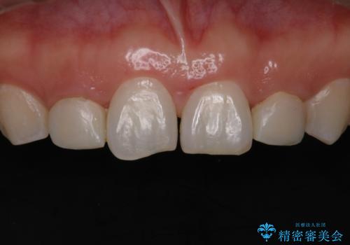
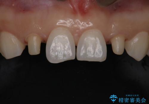
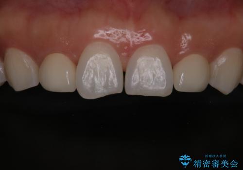
- 歯の形が気になるということで以前入っていたプラスチックのものから、セラミックでの治療を希望されたので行いました。
色や形をこだわりたいということで、当院最上位ランクのエクセレントにて治療を行いました。
- 費用(概算)
- 440000円費用は治療当時の料金となります
治療について
以前使用していた被せ物を除去して、仮歯に置き換えます。
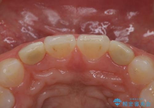
その後、歯の最終的な形を作って型取りを行います。
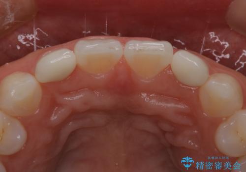
当院で患者様の口腔内の写真を撮影し技工士さんに指示を出して完成します。
患者様はかなり喜ばれておりました。
セラミック治療の注意事項(リスク・副作用など)
- 天然歯を削ります
- 硬い素材は天然歯を傷つけてしまう場合があります
- かみ合わせや歯ぎしりが強すぎる方はセラミックが割れてしまう可能性があります
- 自費診療(保険適用外治療)となります
当サイトの内容、テキスト、画像等の無断転載、複製、複写、盗用を固く禁じます。










