症例詳細
Case detail
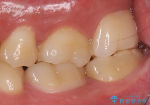
歯ぐきの形を整え、外れにくい被せ物を装着
治療症例の内容
- 担当医
- 岡田康成(ドクタープロフィール)
- 患者様
- 30代男性
- 治療期間
- 3ヶ月
- 治療回数
- 2-5回
- 治療計画
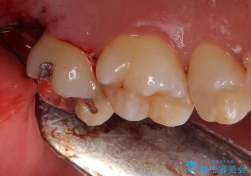
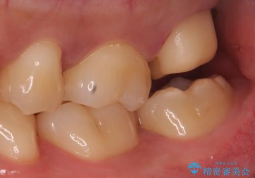
- 銀の詰め物のやり替えを主訴に来院されました。
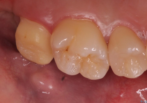
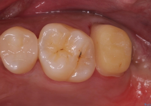
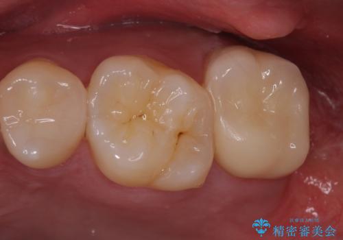
歯の奥が歯ぐきに埋もれている状態であったため、埋まっている親知らずを抜歯しつつ歯茎の高さを落とし、外れにくいジルコニアクラウンを装着していきます。
- 費用(概算)
- 左上7 歯肉切除:5,500円/仮歯:11,000円/ジルコニアクラウン:110,000円費用は治療当時の料金となります
治療について
歯のみでなく歯茎の調整も行うことで、外れにくい被せ物を装着することが可能になります。
セラミック治療の注意事項(リスク・副作用など)
- 天然歯を削ります
- 硬い素材は天然歯を傷つけてしまう場合があります
- かみ合わせや歯ぎしりが強すぎる方はセラミックが割れてしまう可能性があります
- 自費診療(保険適用外治療)となります
外科処置の注意事項(リスク・副作用など)
- 外科手術のため、術後に出血、痛みや腫れ、違和感を伴います
- 口腔内の状態によっては適応できないことがあります
当サイトの内容、テキスト、画像等の無断転載、複製、複写、盗用を固く禁じます。











