症例詳細
Case detail
強い咬合力クリアランスの問題を解決したメタルボンドブリッジ治療
治療症例の内容
- 診療科目
- 担当医
- 大元洋佑(ドクタープロフィール)
- 患者様
- 40代男性
- 治療期間
- 8ヶ月
- 治療回数
- 2-5回
- 治療計画
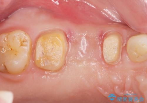
- 昨晩より歯が痛む、痛みをとって欲しいと希望され来院されました。
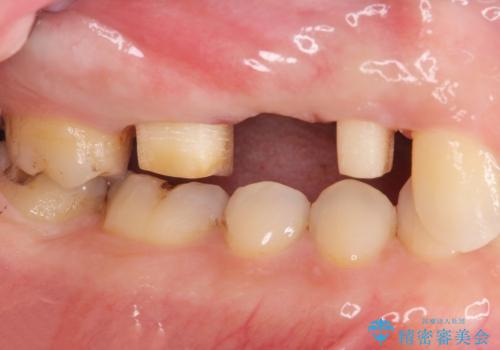
検査をしたところ、右上小臼歯に破折が見られ保存が難しい状況です。
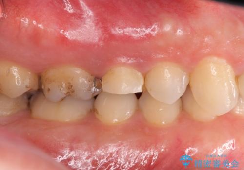
抜歯を行い、咬合機能の回復を行いますが、咬合関係や非常に強い噛み合わせの問題をふまえ、咬合面をメタルにしたメタルボンドブリッジで治療を行うこととしました。
また噛み合わせが深くブリッジの強度が十分に確保できないことから、抜歯時に歯周外科を行うことで十分に安定したクラウン装着をできるような処置を行っています。
- 費用(概算)
- 39.6万円(メタルボンドクラウン×3・仮歯×3)費用は治療当時の料金となります
治療について
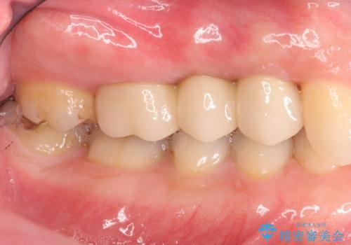
術前・術後でブリッジ治療をした部分の歯肉ラインを整えたことで安定したブリッジを製作することができました。
セラミック治療の注意事項(リスク・副作用など)
- 天然歯を削ります
- 硬い素材は天然歯を傷つけてしまう場合があります
- かみ合わせや歯ぎしりが強すぎる方はセラミックが割れてしまう可能性があります
- 自費診療(保険適用外治療)となります
当サイトの内容、テキスト、画像等の無断転載、複製、複写、盗用を固く禁じます。



















