症例詳細
Case detail
前歯のデコボコを費用を抑えたメタルブラケットできれいに
治療症例の内容
- 診療科目
- 治療カテゴリ
- 担当医
- 藤巻太一朗(ドクタープロフィール)
- 患者様
- 20代男性
- 矯正装置
- メタルブラケット
- 治療期間
- 1年3ヶ月
- 治療回数
- 10-30回
- 治療計画
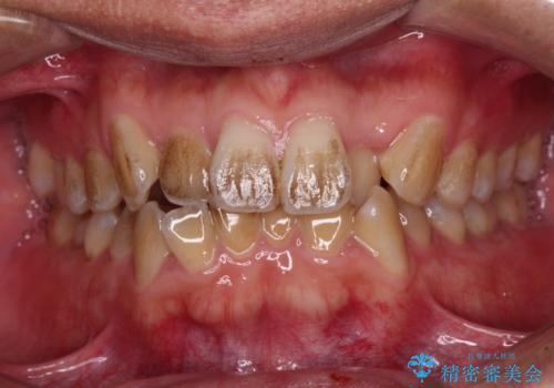
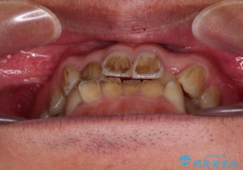
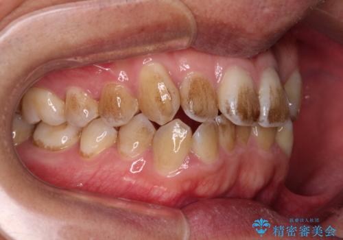
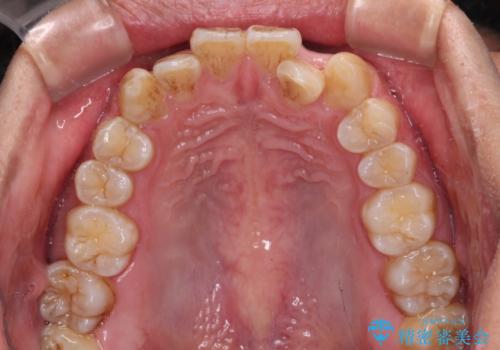
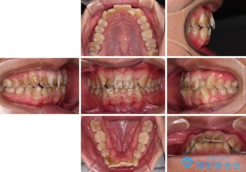
- 前歯のデコボコを気にして来院された患者様です。
極力費用を抑えた上で、自己管理の煩わしの少ない装置を希望とのことで、メタルブラケットによるワイヤー矯正を選択されました。
舌の突出癖があり、デコボコが解消される際に出っ歯傾向になる恐れがあるため、舌のトレーニングを行っていただきながら、矯正治療を進めていくこととしました。
- 費用(概算)
- 治療費の目安: 80万円(税込)費用は治療当時の料金となります
治療について
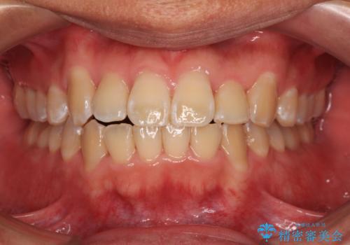
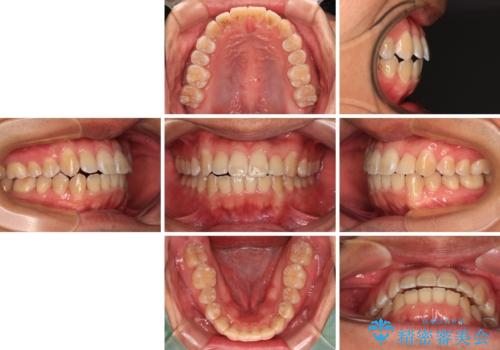
治療終了直後は上下前歯が接触していましたが、舌の突出癖がなかなか改善されず、終了時の口腔内写真撮影時には、既に上下前歯に隙間ができてしまいました。
ワイヤー矯正の注意事項(リスク・副作用など)
- 治療中は違和感や痛みが起こることがあります
- 症状により、抜歯が必要な場合があります
- 治療中は歯磨きがしにくくなるため、虫歯や歯周病になりやすくなります
- 矯正治療後の保定が不十分だと後戻り(元の位置に戻ろうとする動き)をします
- 自費診療(保険適用外)となります
当サイトの内容、テキスト、画像等の無断転載、複製、複写、盗用を固く禁じます。


























