症例詳細
Case detail
前に飛び出した前歯を治したい ワイヤー装置による抜歯矯正治療
治療症例の内容
- 診療科目
- 担当医
- 藤巻太一朗(ドクタープロフィール)
- 患者様
- 20代女性
- 矯正装置
- 審美装置
- 治療期間
- 2年7ヶ月
- 治療回数
- 10-30回
- 治療計画
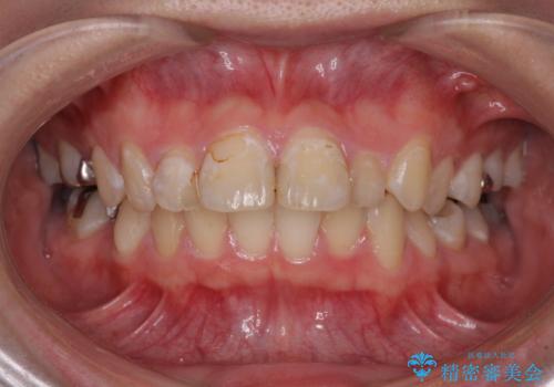
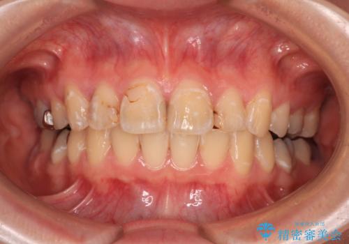
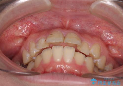
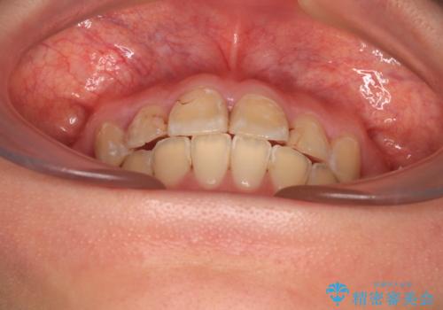
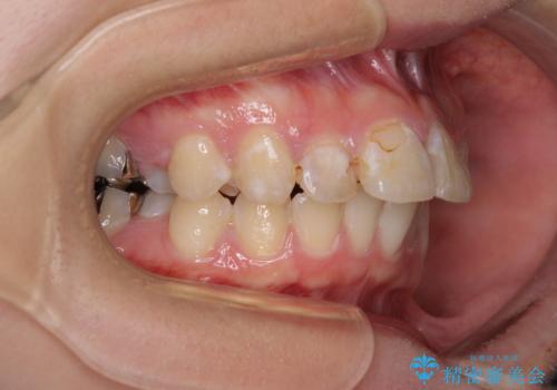
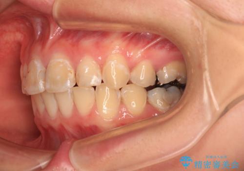
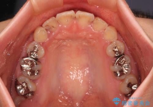
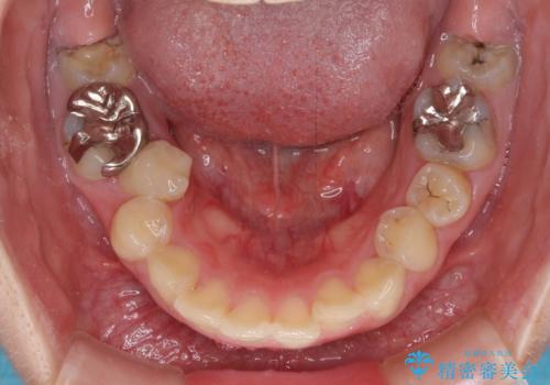
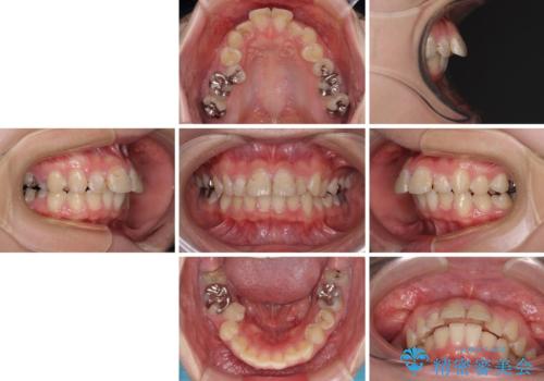
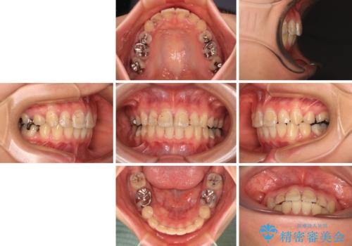
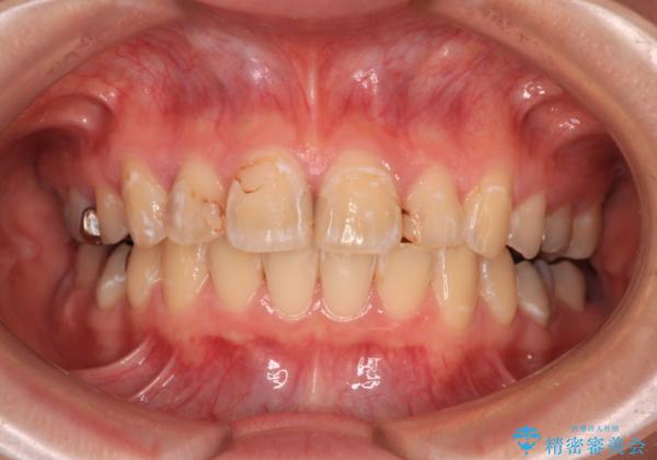
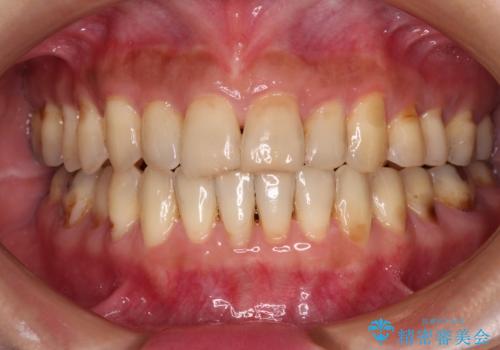
- 上の前歯の出っ歯とでこぼこの歯並びを気にして来院された患者様です。
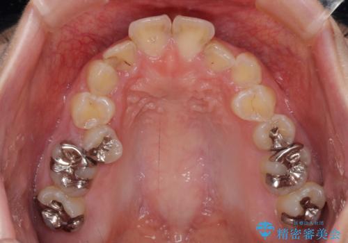
上下顎歯列ともに前方に突出していましたが、上顎歯列がより前方位にあったため、上顎左右は第1小臼歯を、下顎左右は第二小臼歯を抜歯することとしました。
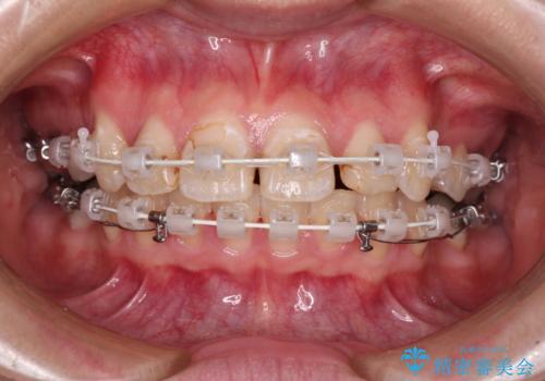
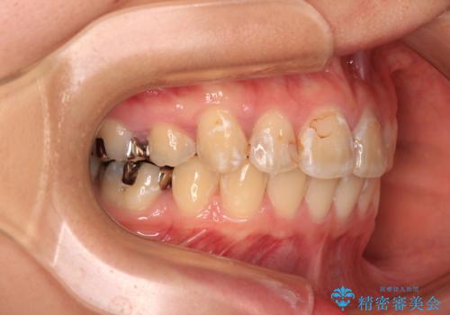
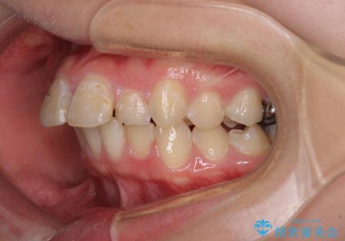
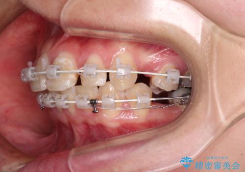
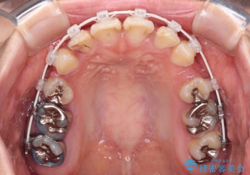
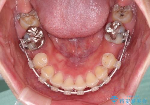
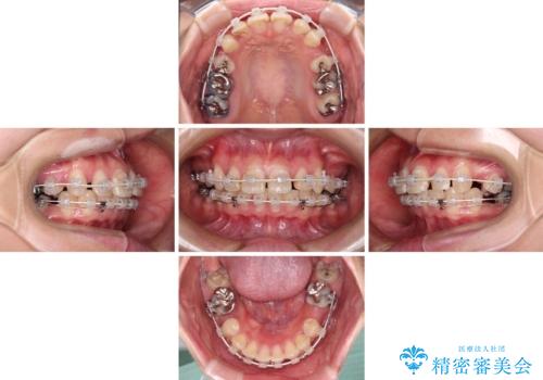
目立たないワイヤー装置にて抜歯矯正を行うこととしました。
- 費用(概算)
- 治療費の目安: 110万円(税込)費用は治療当時の料金となります
治療について
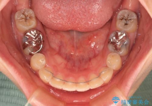
下顎は過剰歯が埋伏しており、それが原因となってスペースが閉じなかったため、途中で抜歯して速やかに仕上げました。
ワイヤー矯正の注意事項(リスク・副作用など)
- 治療中は違和感や痛みが起こることがあります
- 症状により、抜歯が必要な場合があります
- 治療中は歯磨きがしにくくなるため、虫歯や歯周病になりやすくなります
- 矯正治療後の保定が不十分だと後戻り(元の位置に戻ろうとする動き)をします
- 自費診療(保険適用外)となります
当サイトの内容、テキスト、画像等の無断転載、複製、複写、盗用を固く禁じます。


























