症例詳細
Case detail
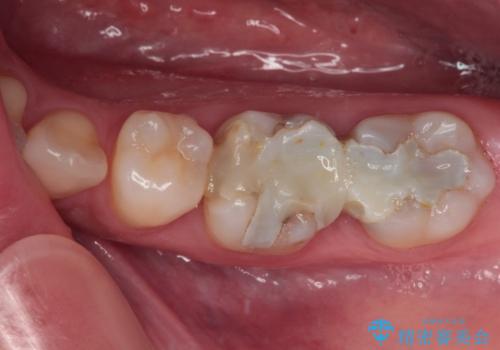
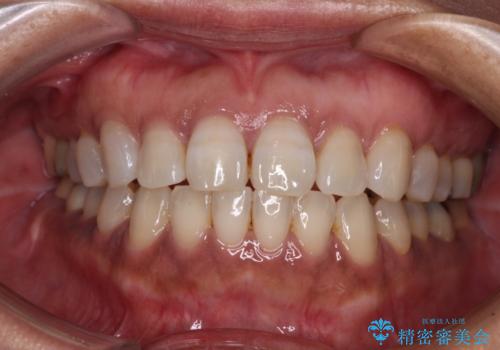
仮詰めのまま処置が進まないので転院 奥歯のむし歯治療
治療症例の内容
- 診療科目
- 担当医
- 藤巻太一朗(ドクタープロフィール)
- 患者様
- 30代女性
- 治療期間
- 1ヶ月
- 治療回数
- 2-5回
- 治療計画
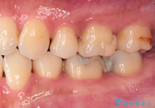
- 奥歯のむし歯処置を行っていたものの、しみて痛みが続く状態での経過観察が続いていたため、転院を希望して来院された患者様です。
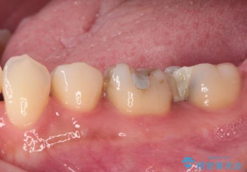
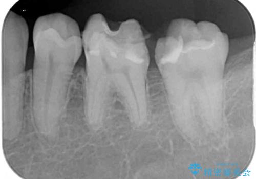
痛みが続いているとのことで、むし歯が神経組織に及んでいる可能性があるため、処置を行うに当たりラバーダムによる唾液の排除を行うこととしました。
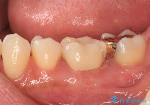
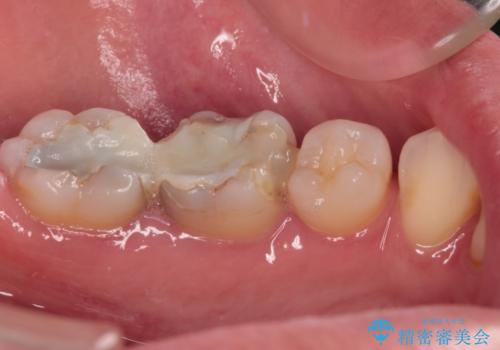
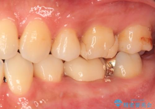
手前の歯はむし歯の範囲が広いためオールセラミッククラウンにて、最後方歯は部分的なむし歯であったのでPGAインレー(プラチナゴールドインレー)にて治療を進めることとしました。
- 費用(概算)
- 治療費の目安: 20万円(税込)費用は治療当時の料金となります
治療について
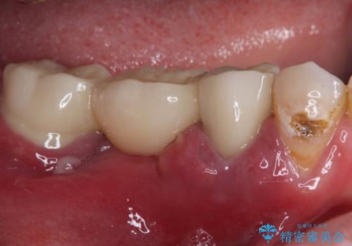
仮詰めの状態が良くなかっただけで、むし歯が神経組織にまで及んでいることはなく、無事に治療を終えることができました。
セラミック治療の注意事項(リスク・副作用など)
- 天然歯を削ります
- 硬い素材は天然歯を傷つけてしまう場合があります
- かみ合わせや歯ぎしりが強すぎる方はセラミックが割れてしまう可能性があります
- 自費診療(保険適用外治療)となります
PGA(ゴールド)クラウン、インレーの注意事項(リスク・副作用など)
- インレーおよびクラウンは脱離するリスクがあります
- 形成量はセラミックより少ないですが、歯の形成、修復後に歯に症状が出ることがあります
- 自費診療(保険適用外治療)となります
当サイトの内容、テキスト、画像等の無断転載、複製、複写、盗用を固く禁じます。











