症例詳細
Case detail
【モニター】八重歯を片側の抜歯矯正で治す メタルブラケット装置
治療症例の内容
- 診療科目
- 担当医
- 藤巻太一朗(ドクタープロフィール)
- 患者様
- 20代女性
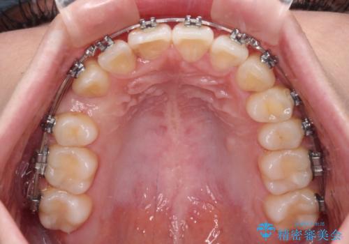
- 矯正装置
- メタルブラケット
- 治療期間
- 1年5ヶ月
- 治療回数
- 10-30回
- 治療計画
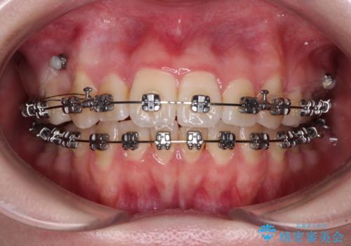
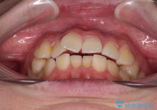
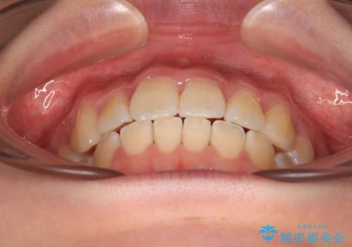
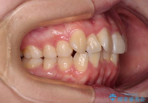
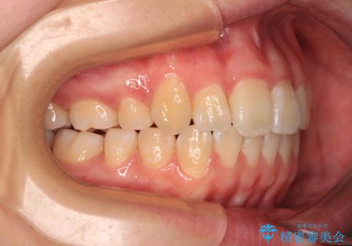
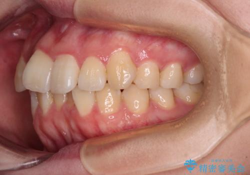
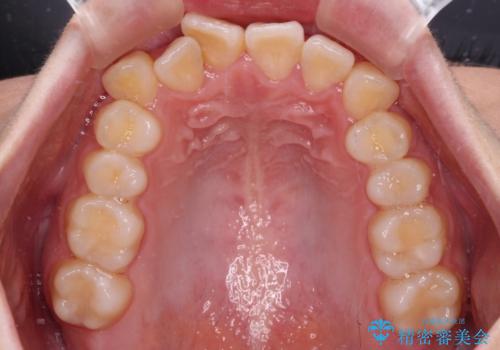
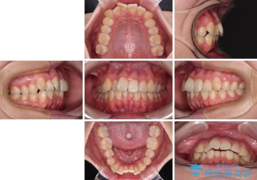
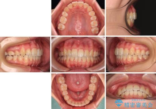
- 八重歯とずれた正中を気にして来院された患者様です。
非抜歯矯正ではデコボコを解消することでより口元が突出する可能性があるため、上顎右右側の小臼歯1本の抜歯を行い、ワイヤー装置による矯正治療を行うこととしました。
正中位置を合わせるために、上顎臼歯部にアンカースクリューを埋入することとしました。
- 費用(概算)
- 治療費の目安: 80万円(税込)費用は治療当時の料金となります
※顔写真掲載にあたり、患者様の了解を得ております
治療について
お仕事の予定を調整しやすく、平日の昼の時間帯に通院可能であったので、非常にスムーズに治療を進めることができ、1年半で無事に治療を終えることができました。
ワイヤー矯正の注意事項(リスク・副作用など)
- 治療中は違和感や痛みが起こることがあります
- 症状により、抜歯が必要な場合があります
- 治療中は歯磨きがしにくくなるため、虫歯や歯周病になりやすくなります
- 矯正治療後の保定が不十分だと後戻り(元の位置に戻ろうとする動き)をします
- 自費診療(保険適用外)となります
当サイトの内容、テキスト、画像等の無断転載、複製、複写、盗用を固く禁じます。


























