症例詳細
Case detail
デコボコを治したい 八重歯の抜歯矯正
治療症例の内容
- 担当医
- 藤巻太一朗(ドクタープロフィール)
- 患者様
- 30代男性
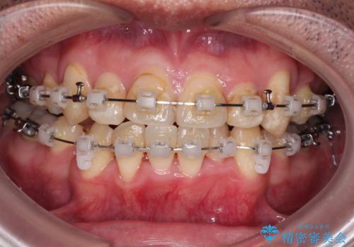
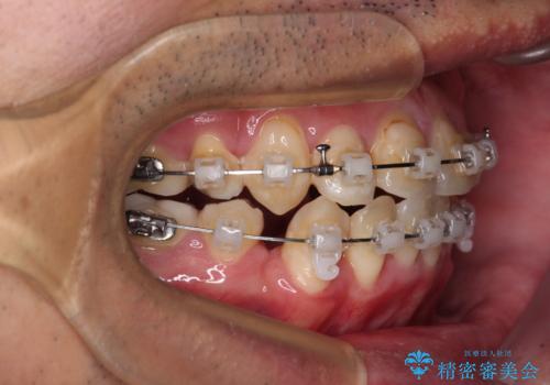
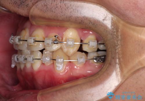
- 矯正装置
- クリアブラケット
- 治療期間
- 2年1ヶ月
- 治療回数
- 10-30回
- 治療計画
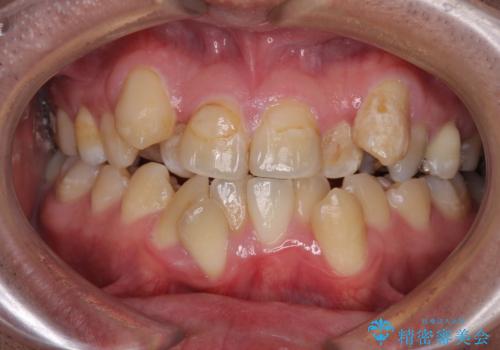
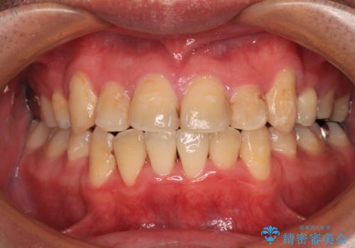
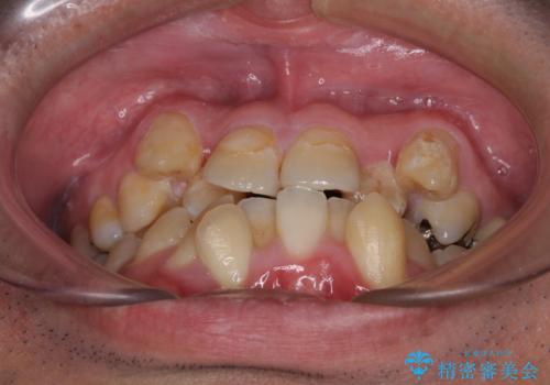
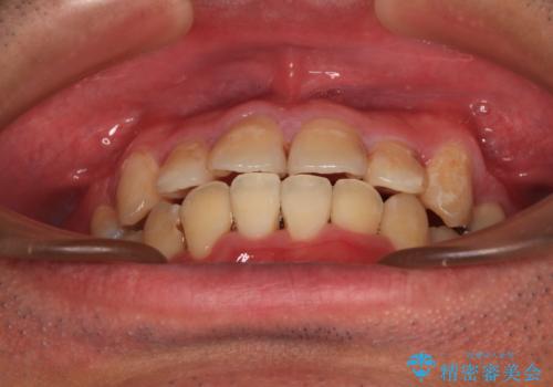
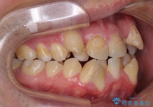
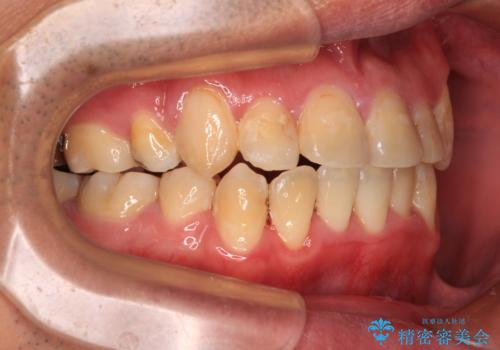
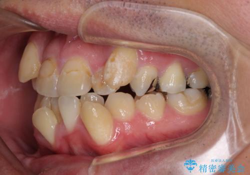
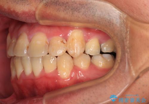
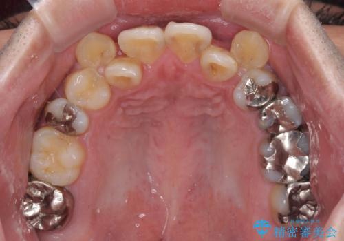
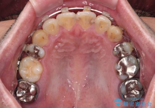
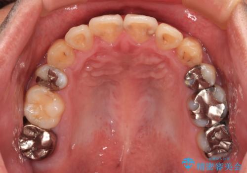
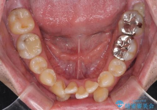
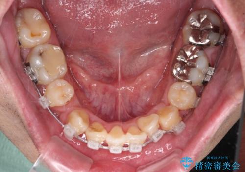
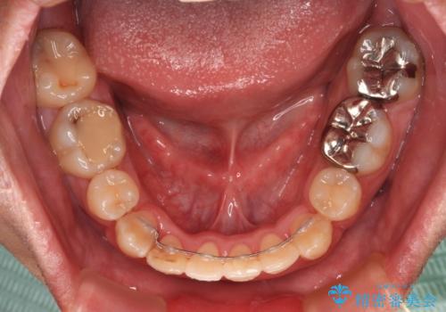
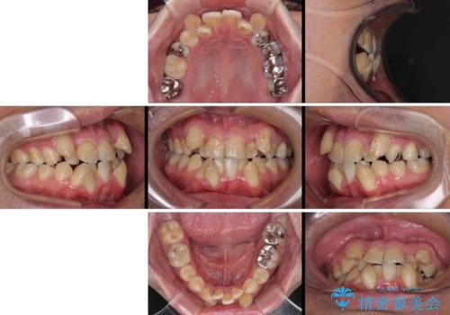
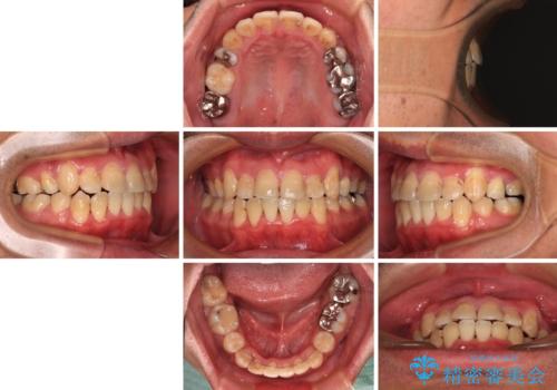
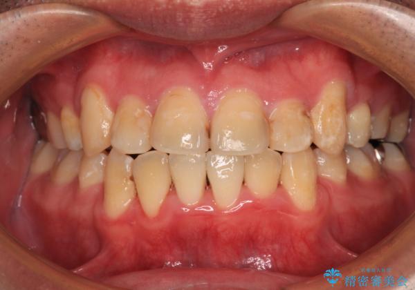
- 上下の八重歯やデコボコを気にして来院された患者様です。
上下ともに八重歯が顕著であったので、上下左右第一小臼歯4本を抜歯し、ワイヤー装置にて矯正治療を行うこととしました。
デコボコが強いことが原因で歯間部に汚れが溜まりやすい状態でしたが、矯正前にできる限り汚れが少なくなるようにブラッシングなどの指導を行い、口腔状態が改善された後にワイヤー装置を装着することとしました。
- 費用(概算)
- 治療費の目安: 100万円(税込)費用は治療当時の料金となります
治療について
結婚式をきっかけに矯正治療を決意したとのことでしたが、挙式までの期間があまりにも短かったために、結婚式後に治療を開始することとなりました。
1年以上のゆとりを持って矯正治療を始める必要があります。
ワイヤー矯正の注意事項(リスク・副作用など)
- 治療中は違和感や痛みが起こることがあります
- 症状により、抜歯が必要な場合があります
- 治療中は歯磨きがしにくくなるため、虫歯や歯周病になりやすくなります
- 矯正治療後の保定が不十分だと後戻り(元の位置に戻ろうとする動き)をします
- 自費診療(保険適用外)となります
当サイトの内容、テキスト、画像等の無断転載、複製、複写、盗用を固く禁じます。


























