症例詳細
Case detail
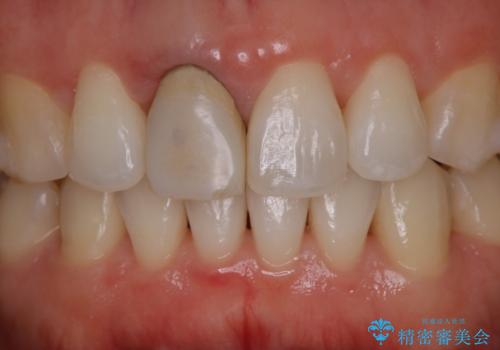
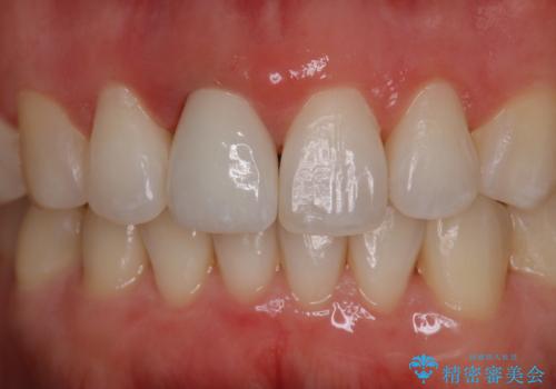
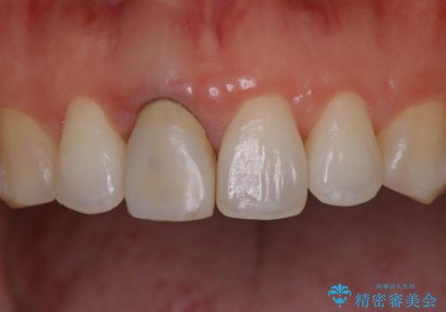
前歯の色が気になる オールセラミッククラウン(SP)
治療症例の内容
- 診療科目
- 治療カテゴリ
- 担当医
- 菊地俊介(ドクタープロフィール)
- 患者様
- 30代女性
- 治療期間
- 1ヶ月
- 治療回数
- 2-5回
- 治療計画
- 仮歯で矯正治療を行い、治療終了したためセラミックにて最後仕上がりをきれいにされたいという患者様の症例です。
- 費用(概算)
- 154000円費用は治療当時の料金となります
治療について
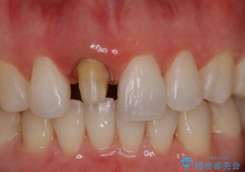
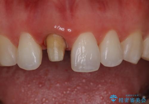
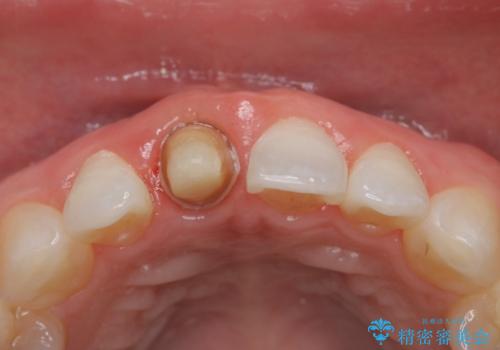
矯正の時使用していた仮歯を新調し、その後最終的な形を作ってから型取りを行います。
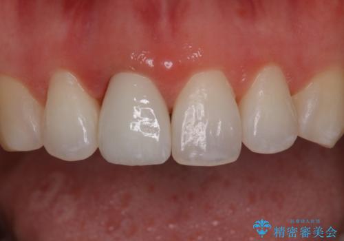
色もきれいだと患者様も満足されておりました。
セラミック治療の注意事項(リスク・副作用など)
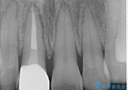
- 天然歯を削ります
- 硬い素材は天然歯を傷つけてしまう場合があります
- かみ合わせや歯ぎしりが強すぎる方はセラミックが割れてしまう可能性があります
- 自費診療(保険適用外治療)となります
当サイトの内容、テキスト、画像等の無断転載、複製、複写、盗用を固く禁じます。











