症例詳細
Case detail
【見逃し根管を発見】根管治療〜セラミッククラウン
治療症例の内容
- 診療科目
- 治療カテゴリ
- 担当医
- 河口智英(ドクタープロフィール)
- 患者様
- 20代女性
- 治療期間
- 2ヶ月
- 治療回数
- 2-5回
- 治療計画
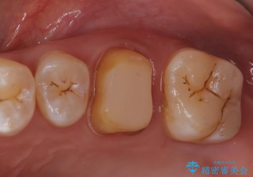
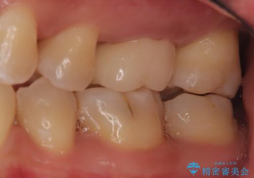
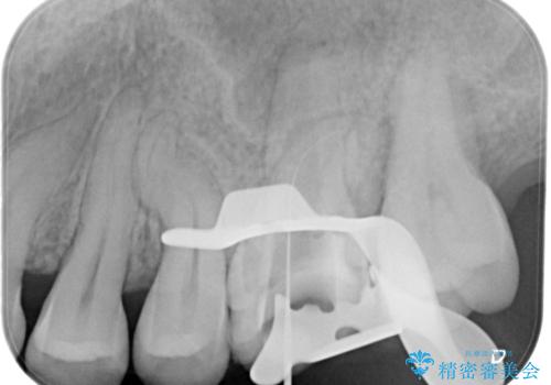
- 他院で根管治療した歯の再治療を希望されて来院されました。
未処置の根管があったため、マイクロスコープにて観察したことで、見逃しの根管を含めて清掃・充填を行うことができました。
- 費用(概算)
- 35万円費用は治療当時の料金となります
治療について
上顎第一大臼歯は基本的に4根管です。
セラミック治療の注意事項(リスク・副作用など)
- 天然歯を削ります
- 硬い素材は天然歯を傷つけてしまう場合があります
- かみ合わせや歯ぎしりが強すぎる方はセラミックが割れてしまう可能性があります
- 自費診療(保険適用外治療)となります
当サイトの内容、テキスト、画像等の無断転載、複製、複写、盗用を固く禁じます。








