症例詳細
Case detail
【破折ファイル除去】他院で折れた根管治療の器具をとってほしい
治療症例の内容
- 担当医
- 河口智英(ドクタープロフィール)
- 患者様
- 40代女性
- 治療期間
- 1ヶ月
- 治療回数
- 2-5回
- 治療計画
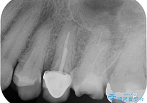
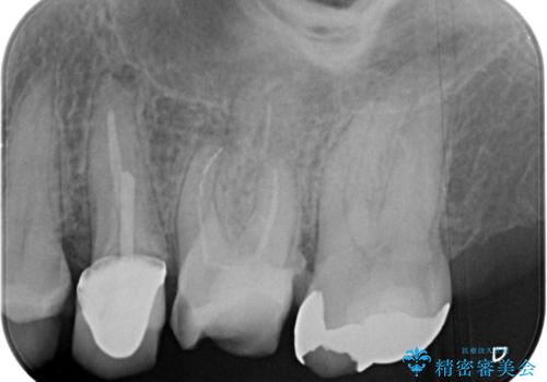
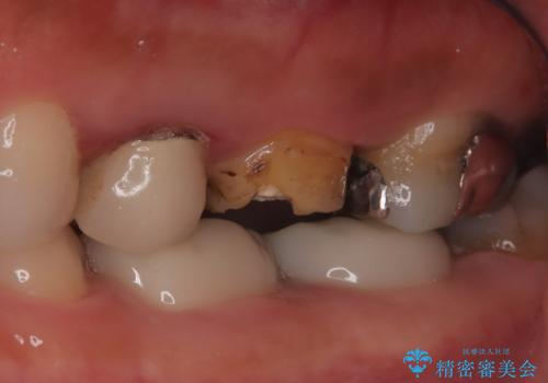
- 他院で折れた根管治療の器具をとってほしいという主訴で来院されました。
マイクロスコープで根管内を観察すると、除去できる状態だったため破折ファイル除去を行いオールセラミッククラウンにて修復治療しております。
- 費用(概算)
- 35万円費用は治療当時の料金となります
治療について
通常、根尖湾曲の先にあるファイルは無理に取るより外科治療によりアプローチすることを推奨しています。
根管治療の注意事項(リスク・副作用など)
- 根管治療により類似の全ての症例の問題が解決するわけではなく、症例はあくまでも一例です
- 根管治療により痛みや腫れがひかない事や、術後に痛みや腫れが生じる事、治療によるファイル破折やパーフォレーションなどの偶発症、術後の歯根破折を生じる可能性もあります
- 自費診療(保険適用外)となります
当サイトの内容、テキスト、画像等の無断転載、複製、複写、盗用を固く禁じます。












