症例詳細
Case detail
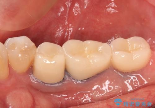
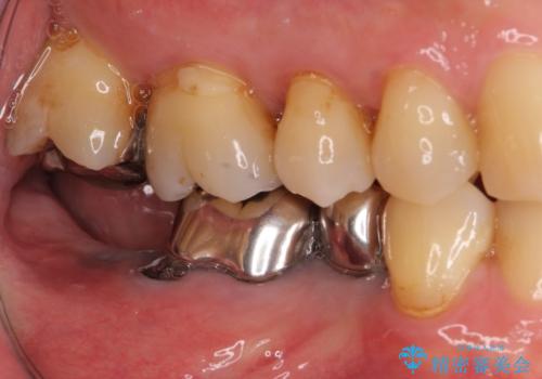
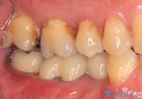
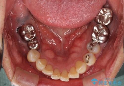
欠損した奥歯のインプラント補綴治療
治療症例の内容
- 担当医
- 藤巻太一朗(ドクタープロフィール)
- 患者様
- 60代男性
- 治療期間
- 4ヶ月
- 治療回数
- 5-10回
- 治療計画
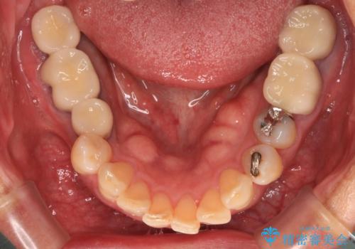
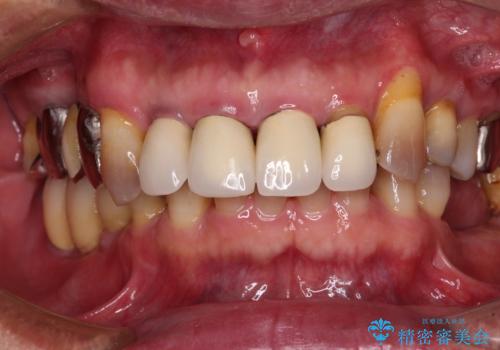
- 奥歯の欠損部へのインプラント治療を希望して来院された患者様です。
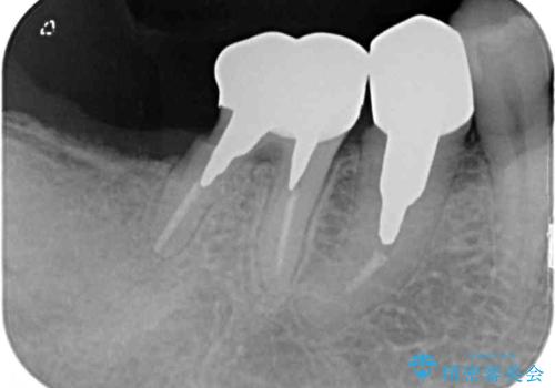
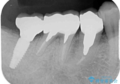
抜歯をしてから長年経過しており、レントゲンからは十分に骨があることが分かっていたため、速やかに治療を開始することとしました。
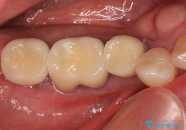
インプラント治療に当たり、手前の銀歯2本の審美回復も希望されたため、3歯のオールセラミッククラウンによる補綴治療を行うこととしました。
- 費用(概算)
- 治療費の目安: 75万円(税込)費用は治療当時の料金となります
治療について
通常、奥歯を抜歯した状態で長年放置すると、咬み合う歯が伸びてきて、咬み合わせが乱れてしまうことが多いです。そのような場合には、部分的な矯正治療などが必要となるのですが、こちらの患者様は幸運なことに咬み合わせが乱れていなかったため、インプラント埋入から速やかに補綴治療を行うことができました。
セラミック治療の注意事項(リスク・副作用など)
- 天然歯を削ります
- 硬い素材は天然歯を傷つけてしまう場合があります
- かみ合わせや歯ぎしりが強すぎる方はセラミックが割れてしまう可能性があります
- 自費診療(保険適用外治療)となります
インプラント治療の注意事項(リスク・副作用など)
- 外科手術のため、術後に痛みや腫れ、違和感を伴います
- メンテナンスを怠ったり喫煙により、お口の中に大きな悪影響を及ぼすインプラント周囲炎等にかかる可能性があります
- 糖尿病、肝硬変、心臓病等の場合、インプラント治療ができない可能性があります
- 高血圧、貧血・不整脈等の場合、インプラント治療後に治癒不全を招く可能性があります
- 自費診療(保険適用外治療)となります
当サイトの内容、テキスト、画像等の無断転載、複製、複写、盗用を固く禁じます。










