症例詳細
Case detail
根管治療の土台のまま放置してしまった前歯 オールセラミッククラウンによる補綴治療
治療症例の内容
- 診療科目
- 治療カテゴリ
- 担当医
- 藤巻太一朗(ドクタープロフィール)
- 患者様
- 40代男性
- 治療期間
- 1ヶ月
- 治療回数
- 2-5回
- 治療計画
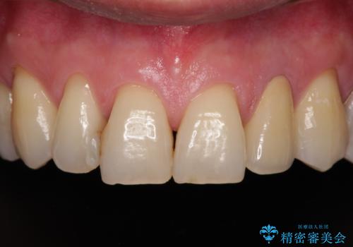
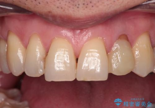
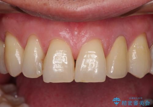
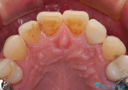
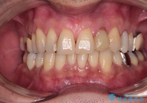
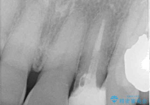
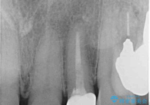
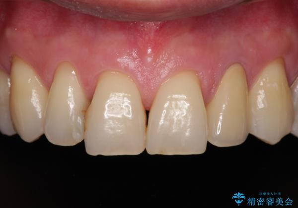
- 前歯の根管治療の際に、一時的に見た目を回復したままの状態で放置してしまったとのことで来院された患者様です。
土台の状態は良好であったため、仮歯に置き換えた上でオールセラミッククラウンにて補綴治療を行うこととしました。
- 費用(概算)
- 治療費の目安: 15万円(税込)費用は治療当時の料金となります
治療について
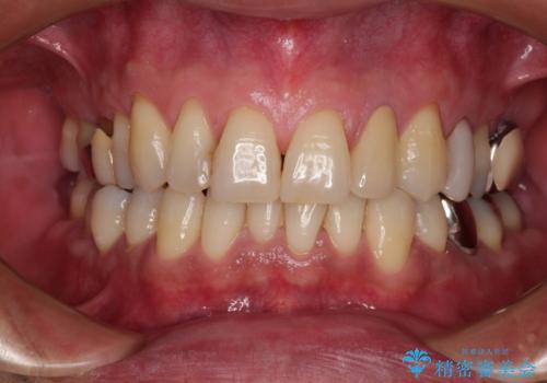
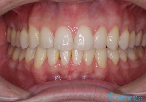
見た目の改善はもちろんですが、ものが挟まらなくなったり、舌触りが良くなったりと、口腔内の状態が改善されました。
セラミック治療の注意事項(リスク・副作用など)
- 天然歯を削ります
- 硬い素材は天然歯を傷つけてしまう場合があります
- かみ合わせや歯ぎしりが強すぎる方はセラミックが割れてしまう可能性があります
- 自費診療(保険適用外治療)となります
当サイトの内容、テキスト、画像等の無断転載、複製、複写、盗用を固く禁じます。












