症例詳細
Case detail
隙間が空いてデコボコした前歯を治したい ワイヤー装置による矯正治療
治療症例の内容
- 診療科目
 
- 担当医
 - 藤巻太一朗(ドクタープロフィール)
 
- 患者様
 - 30代女性
 
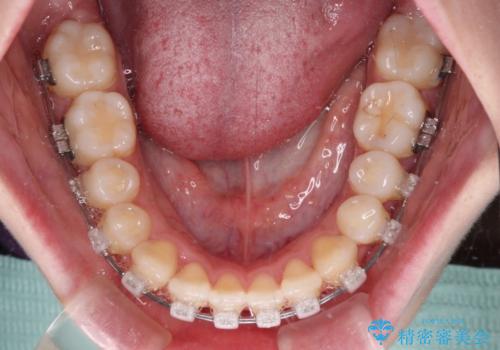
- 矯正装置
 - クリアブラケット
 
- 治療期間
 - 2年
 
- 治療回数
 - 10-30回
 
- 治療計画
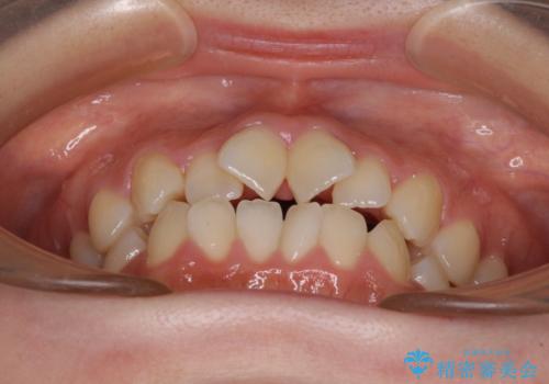
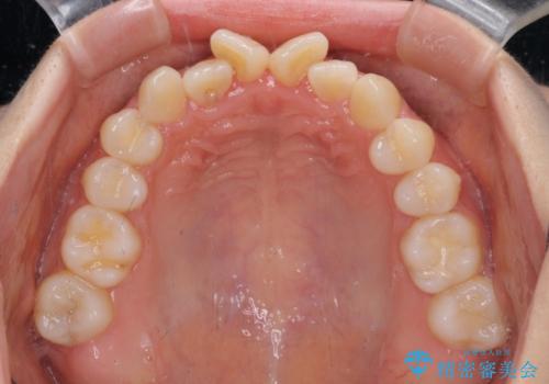
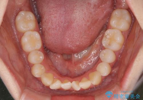
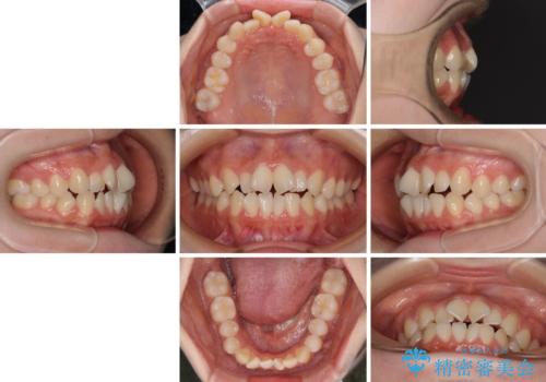
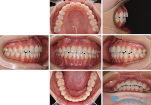
 - 前歯のデコボコと非接触の上下前歯を気にして来院された患者様です。
上下前歯の隙間は舌の突出癖によるもので、隙間改善のためには舌のトレーニングがとても重要となります。
口元の突出感はないため、抜歯矯正の適用ではありませんが、デコボコを解消する際に外側に拡大されてしまうと治療前と比べて出っ歯になった印象にもなるため、舌の突出癖の改善が必須となります。
インビザラインによる治療は自己管理が煩わしいとのことで、ワイヤー装置による矯正治療を行うこととしました。 
- 費用(概算)
 - 治療費の目安: 90万円(税込)費用は治療当時の料金となります
 
治療について
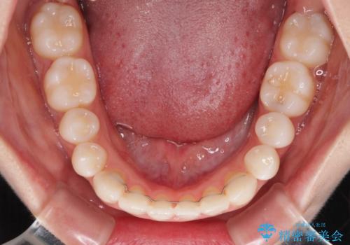
治療開始当初は舌の突出癖が改善されておらず、上下前歯の隙間がより顕著な状態となりました。
舌のトレーニングは、突出癖がなくなるまで必要であり、矯正治療後に突出癖が残ると、あっという間に隙間が空き、後戻りでデコボコとなってしまいます。
ワイヤー矯正の注意事項(リスク・副作用など)
- 治療中は違和感や痛みが起こることがあります
 - 症状により、抜歯が必要な場合があります
 - 治療中は歯磨きがしにくくなるため、虫歯や歯周病になりやすくなります
 - 矯正治療後の保定が不十分だと後戻り(元の位置に戻ろうとする動き)をします
 - 自費診療(保険適用外)となります
 
当サイトの内容、テキスト、画像等の無断転載、複製、複写、盗用を固く禁じます。

                      
                                                          
























