症例詳細
Case detail
海外赴任前に間に合わせたい 内部でむし歯が進行した奥歯の補綴治療
治療症例の内容
- 診療科目
- 治療カテゴリ
- 担当医
- 藤巻太一朗(ドクタープロフィール)
- 患者様
- 40代男性
- 治療期間
- 1ヶ月
- 治療回数
- 2-5回
- 治療計画
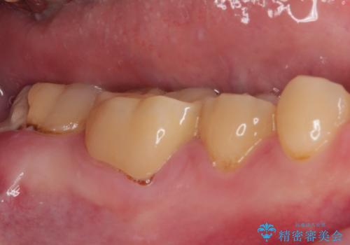
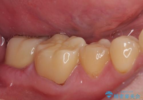
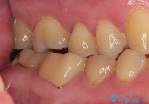
- 東南アジアへの長期赴任を前に、以前から気になっていたむし歯を治療したいとのことで来院された患者様です。
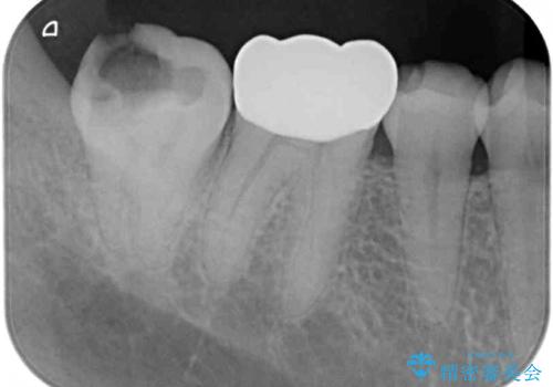
レントゲン写真から、神経の近くにまでむし歯が及んでいる様子が分かり、範囲も広範囲であったので、まずは仮歯に置き換え、その後オールセラミッククラウンにて補綴治療を行うこととしました。
処置を開始するに当たり検査診断を行ったところ、歯髄組織にまでむし歯が及んでいる可能性が示唆されたため、万が一の事態に備えてラバーダム装着による無菌的環境にて虫歯除去を行うこととしました。
- 費用(概算)
- 治療費の目安: 10万円(税込)費用は治療当時の料金となります
治療について
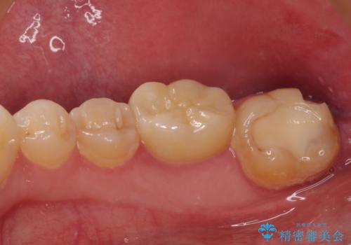
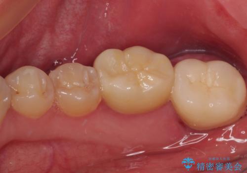
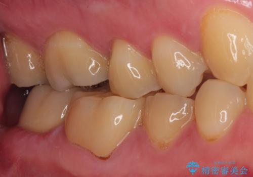
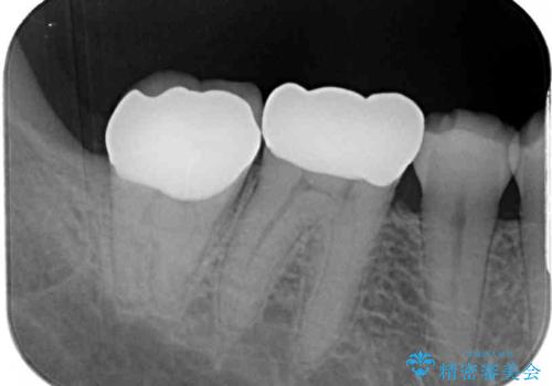
虫歯は歯髄組織のギリギリにまで及んでいたものの、歯髄組織が露出することはなく、処置から数日経った日に行った検査でも歯髄組織の異常所見は認めれらませんでした。
速やかに補綴治療を行い、無事に海外赴任前に治療を終えることができました。
セラミック治療の注意事項(リスク・副作用など)
- 天然歯を削ります
- 硬い素材は天然歯を傷つけてしまう場合があります
- かみ合わせや歯ぎしりが強すぎる方はセラミックが割れてしまう可能性があります
- 自費診療(保険適用外治療)となります
当サイトの内容、テキスト、画像等の無断転載、複製、複写、盗用を固く禁じます。










