症例詳細
Case detail
他院で矯正治療中 変色した前歯のオールセラミッククラウン治療
治療症例の内容
- 診療科目
- 治療カテゴリ
- 担当医
- 藤巻太一朗(ドクタープロフィール)
- 患者様
- 20代男性
- 治療期間
- 2ヶ月
- 治療回数
- 2-5回
- 治療計画
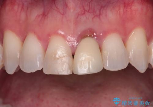
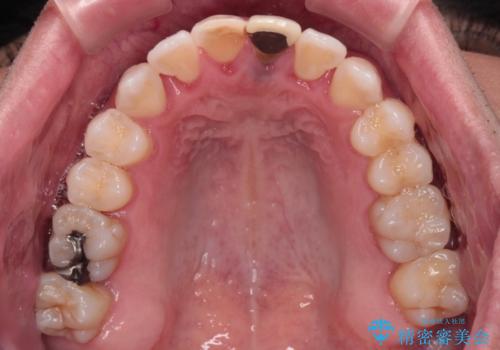
- 他院でインビザラインによる矯正治療を行っているものの、前歯の変色が気になるとのことで来院された患者様です。
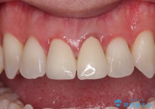
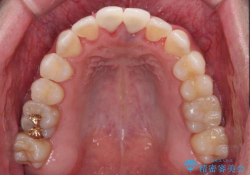
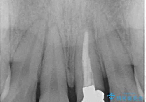
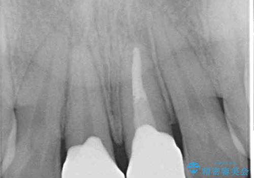
インビザラインでの矯正治療がそろそろ終了とのことで、新しいインビザラインセットを発注する前に気になっている前歯2本をオールセラミッククラウンにて補綴治療を行うこととしました。
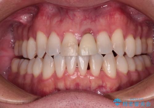
歯肉の腫脹が認められたため、仮歯へ置き換える過程で腫脹改善の指導などを行い、よりよい状態で治療を行うこととしました。
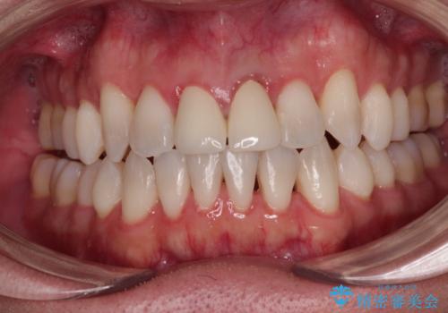
また、奥歯の銀歯をゴールドにしたいとのことで、並行してPGAインレーにて修復治療を行うこととしました。
- 費用(概算)
- 治療費の目安: 35万円(税込)費用は治療当時の料金となります
治療について
歯肉の腫脹は大分改善されましたが、なかなかご自身でのブラッシングが上達せず、やや腫脹残った状態での治療終了となりました。
セラミック治療の注意事項(リスク・副作用など)
- 天然歯を削ります
- 硬い素材は天然歯を傷つけてしまう場合があります
- かみ合わせや歯ぎしりが強すぎる方はセラミックが割れてしまう可能性があります
- 自費診療(保険適用外治療)となります
PGA(ゴールド)クラウン、インレーの注意事項(リスク・副作用など)
- インレーおよびクラウンは脱離するリスクがあります
- 形成量はセラミックより少ないですが、歯の形成、修復後に歯に症状が出ることがあります
- 自費診療(保険適用外治療)となります
当サイトの内容、テキスト、画像等の無断転載、複製、複写、盗用を固く禁じます。














