症例詳細
Case detail
ガタガタの歯並び、八重歯をなおしたい、骨格性下顎前突 カモフラージュ矯正
治療症例の内容
- 診療科目
- 担当医
- 吉﨑ゆりな(ドクタープロフィール)
- 患者様
- 20代男性
- 矯正装置
- ワイヤー 審美装置
- 治療期間
- 2年6ヶ月
- 治療回数
- 10-30回
- 治療計画
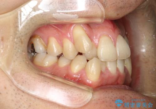
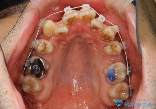
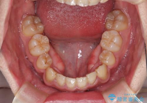
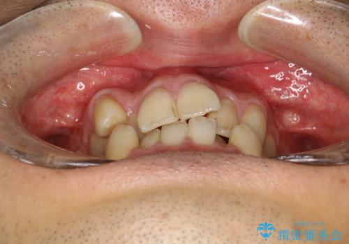
- 前歯のガタガタと八重歯を治したいということで矯正を希望された患者様です。
骨格的に上顎骨が小さいために相対的に下顎骨が前に出ていたため、歯の傾きなど理想的な仕上がりが難しく、外科矯正ではなく歯列矯正の場合はカモフラージュ矯正になること説明の上、矯正治療を進めることになりました。
上顎は左右5番抜歯、下顎は左右4番抜歯しています。
- 費用(概算)
- 105万円費用は治療当時の料金となります
治療について
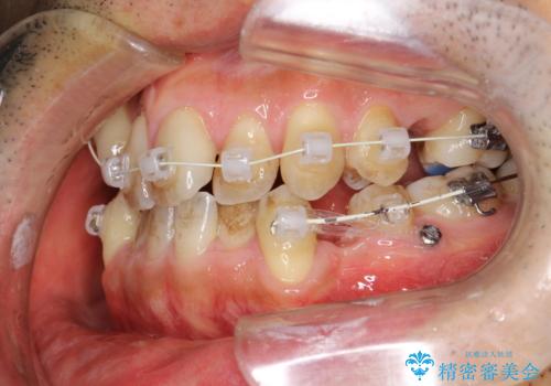
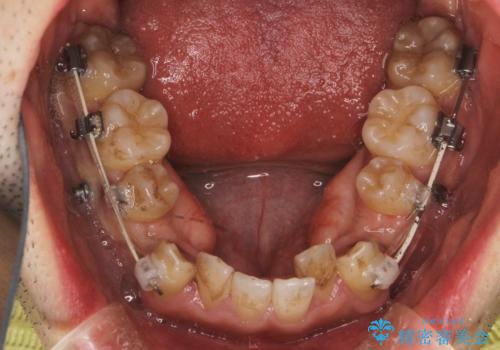
途中までは下顎は全体にワイヤーをはらずに、セクショナルワイヤーにて治療を進めています。
上顎は最初から全体にワイヤーをはっていましたが、上顎前歯部の歯肉退縮のリスクが高そうだったために、途中まで下顎と同じくセクショナルワイヤーで進めています。
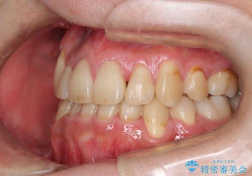
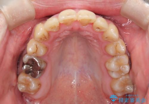
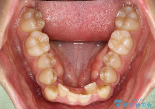
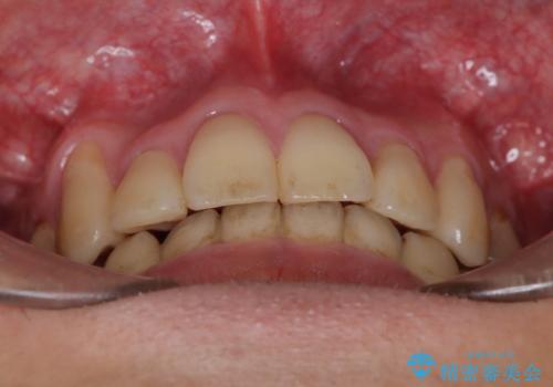
患者様にはかなり満足していただける結果となりました。
八重歯(3番)などは歯肉移植も検討できればよいかなと思います。
ワイヤー矯正の注意事項(リスク・副作用など)
- 治療中は違和感や痛みが起こることがあります
- 症状により、抜歯が必要な場合があります
- 治療中は歯磨きがしにくくなるため、虫歯や歯周病になりやすくなります
- 矯正治療後の保定が不十分だと後戻り(元の位置に戻ろうとする動き)をします
- 自費診療(保険適用外)となります
当サイトの内容、テキスト、画像等の無断転載、複製、複写、盗用を固く禁じます。





























