症例詳細
Case detail
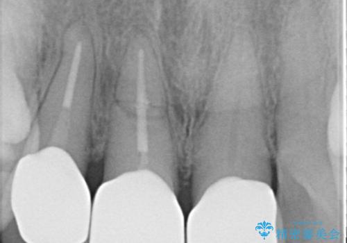
【外傷歯】根管治療から被せ物まで。
治療症例の内容
- 診療科目
- 治療カテゴリ
- 担当医
- 河口智英(ドクタープロフィール)
- 患者様
- 60代女性
- 治療期間
- 1年
- 治療回数
- 2-5回
- 治療計画
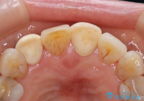
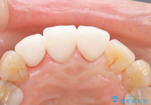
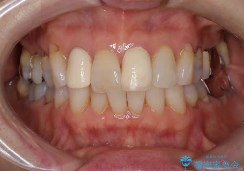
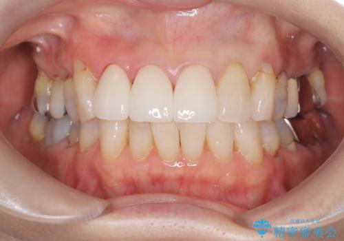
- 外傷により他院で治療中に転院を希望され受診されました。
前医では、抜歯も提案をされていましたが適切に治療を行うことで歯を保存することができました。
- 費用(概算)
- 65万円費用は治療当時の料金となります
治療について
歯槽骨内水平性歯根破折は、抜歯の適応ではありません。
セラミック治療の注意事項(リスク・副作用など)
- 天然歯を削ります
- 硬い素材は天然歯を傷つけてしまう場合があります
- かみ合わせや歯ぎしりが強すぎる方はセラミックが割れてしまう可能性があります
- 自費診療(保険適用外治療)となります
当サイトの内容、テキスト、画像等の無断転載、複製、複写、盗用を固く禁じます。











