症例詳細
Case detail
【セラミッククラウン】適合の悪いアンレーのやり替え
治療症例の内容
- 診療科目
- 治療カテゴリ
- 担当医
- 河口智英(ドクタープロフィール)
- 患者様
- 20代女性
- 治療期間
- 1ヶ月
- 治療回数
- 2-5回
- 治療計画
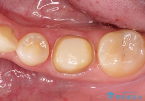
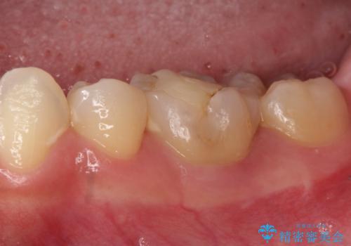
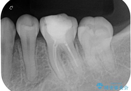
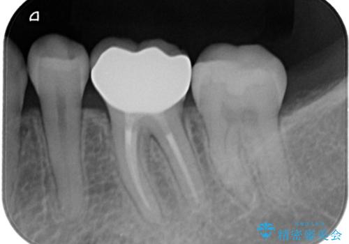
- 過去に他院で治療された奥歯が気になりご来院されました。
セラミッククラウンによる治療を希望されていたため根管治療から処置を行っています。
- 費用(概算)
- 11万円費用は治療当時の料金となります
治療について
根管治療を行った歯には被せ物の治療がおすすめです。
セラミック治療の注意事項(リスク・副作用など)
- 天然歯を削ります
- 硬い素材は天然歯を傷つけてしまう場合があります
- かみ合わせや歯ぎしりが強すぎる方はセラミックが割れてしまう可能性があります
- 自費診療(保険適用外治療)となります
当サイトの内容、テキスト、画像等の無断転載、複製、複写、盗用を固く禁じます。









