症例詳細
Case detail
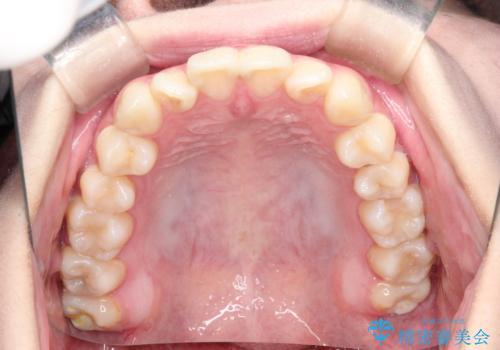
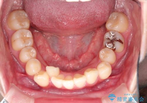
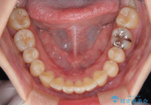
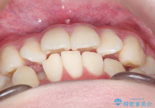
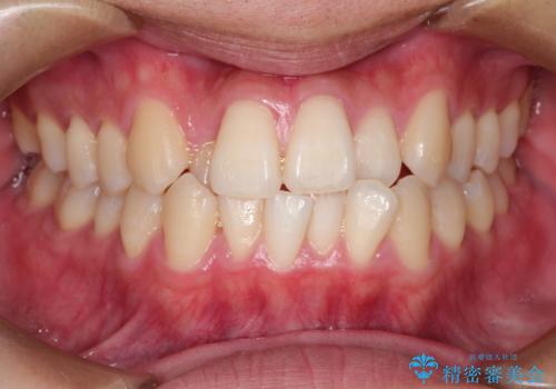
インビザラインによる矯正治療(非抜歯) 前歯の捻れとガタつきの改善
治療症例の内容
- 担当医
- 林佳士登(ドクタープロフィール)
- 患者様
- 20代女性
- 矯正装置
- インビザライン
- 治療期間
- 2年
- 治療回数
- 10-30回
- 治療計画
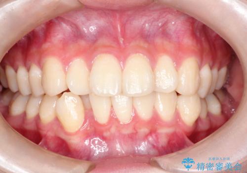
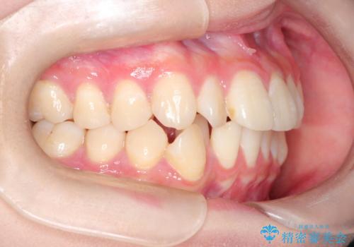
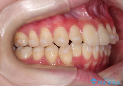
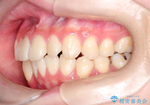
- 上下の前歯に捻れ(捻転)とガタつき(叢生)が見られます。
上の2番目の前歯の捻れに関しては、元々歯の大きさが小さい歯であるため、マウスピースにて力がかかりにくく、捻転の改善が一般的に難しくなりがちです。
下の犬歯に関しても捻れと傾き、ガタつきが大きく、歯根の長さも相まって移動の難易度が高くなりがちです。
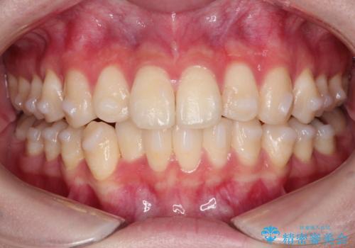
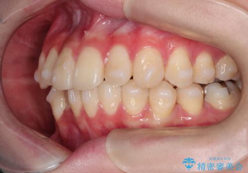
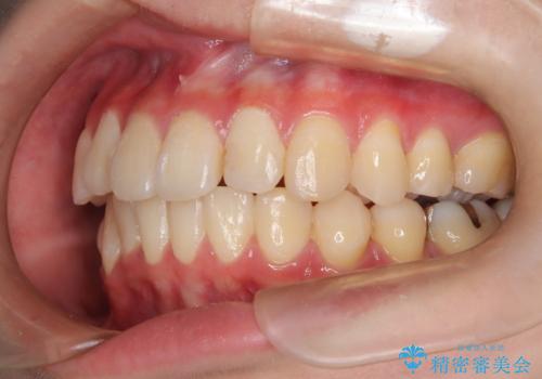
インビザラインのそうした特色を踏まえた上で、それらをリカバーできるように治療方式の調整を十分に行い、治療を進めました。
- 費用(概算)
- 88万円費用は治療当時の料金となります
治療について
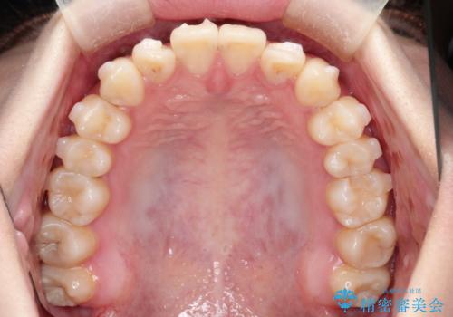
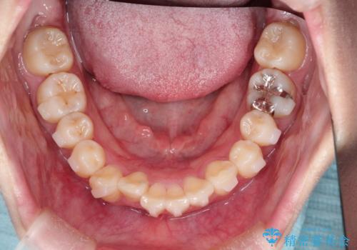
マウスピース枚数 初回33枚 +追加22枚 +追加31枚
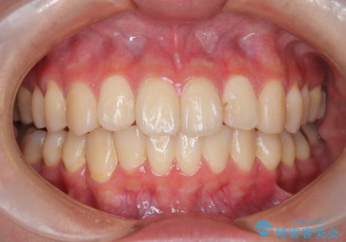
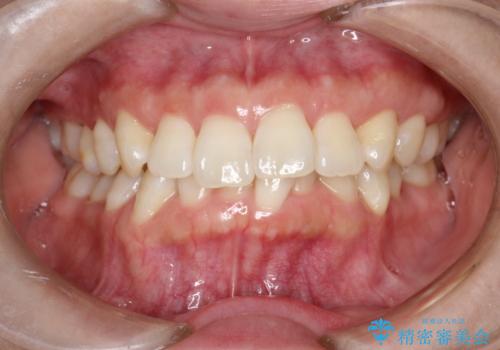
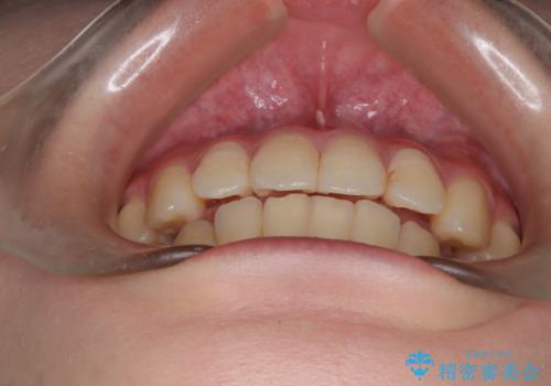
概ね2年で治療完了しました。
マウスピース矯正の特性として動かすのが難しい歯を含むケースでしたが、当院独自の工夫を随所に盛り込み、狙い通りの治療結果が得られました。
マウスピース矯正の注意事項(リスク・副作用など)
- 口腔内・歯並びの状態によっては対応できない場合があります
- マウスピース型矯正装置の長時間装着(1日20時間以上)が必須です
- 治療計画通りに進めるためには、患者様の意志が重要になります
- 矯正治療後の保定が不十分だと後戻り(元の位置に戻ろうとする動き)をします
- 薬機法対象外の矯正歯科装置のため医薬品副作用被害救済制度の対象外となる場合があります
- 自費診療(保険適用外)となります
当サイトの内容、テキスト、画像等の無断転載、複製、複写、盗用を固く禁じます。

















