症例詳細
Case detail
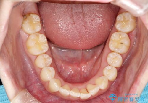
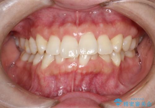
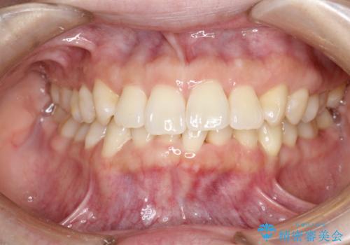
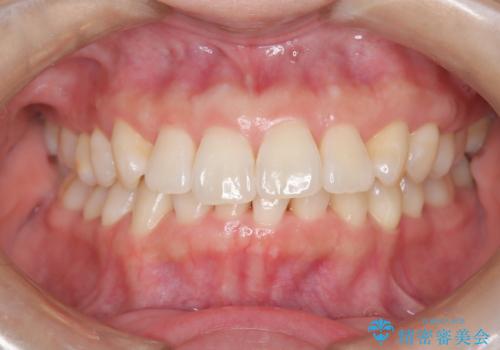
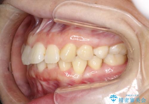
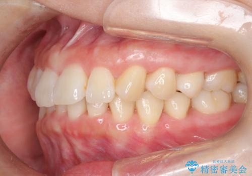
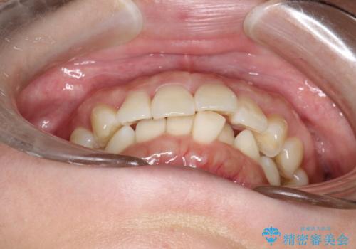
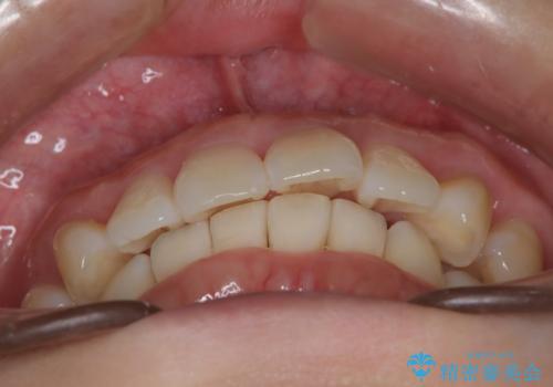
インビザライン ライトパッケージによる部分矯正治療 下の前歯のみの歯並び改善
治療症例の内容
- 担当医
- 林佳士登(ドクタープロフィール)
- 患者様
- 40代女性
- 矯正装置
- インビザライン ライトパッケージパーシャル(下顎のみ)
- 治療期間
- 7ヶ月
- 治療回数
- 10-30回
- 治療計画
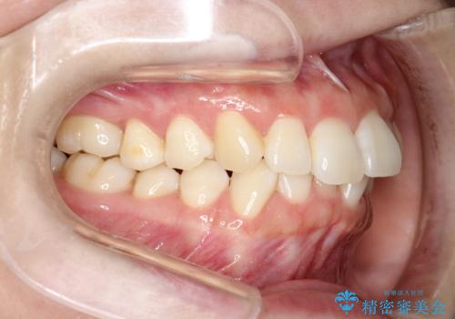
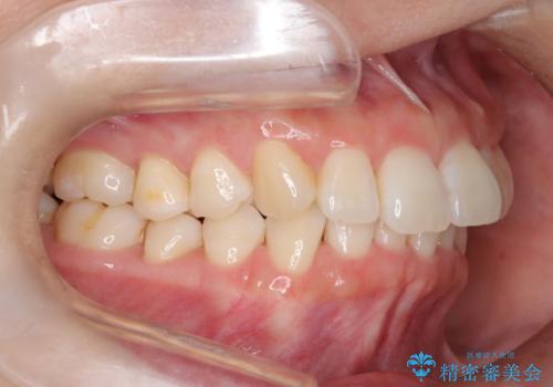
- 下の前歯の歯並びのみの改善をご希望されました。
インビザライン ライトパッケージ下顎のみ(1枚~14枚まで)での治療を行なっていきました。
- 費用(概算)
- 33万円費用は治療当時の料金となります
治療について
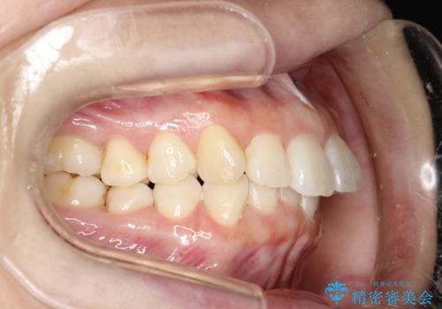
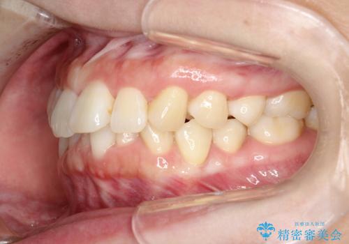
マウスピース枚数 初回14枚 + 追加13枚
概ね7ヶ月で治療完了しました。
インビザラインのライトパッケージでは14枚までという枚数制限がありますが、限られた枚数の中で当院独自の工夫を随所に盛り込み、狙い通りの治療結果が得られました。
マウスピース矯正の注意事項(リスク・副作用など)
- 口腔内・歯並びの状態によっては対応できない場合があります
- マウスピース型矯正装置の長時間装着(1日20時間以上)が必須です
- 治療計画通りに進めるためには、患者様の意志が重要になります
- 矯正治療後の保定が不十分だと後戻り(元の位置に戻ろうとする動き)をします
- 薬機法対象外の矯正歯科装置のため医薬品副作用被害救済制度の対象外となる場合があります
- 自費診療(保険適用外)となります
当サイトの内容、テキスト、画像等の無断転載、複製、複写、盗用を固く禁じます。














