症例詳細
Case detail
インビザラインによる矯正治療(非抜歯) 前歯の突出と上下の歯並びのガタつきの改善
治療症例の内容
- 患者様
- 40代女性
- 矯正装置
- インビザライン
- 治療期間
- 2年
- 治療回数
- 10-30回
- 治療計画
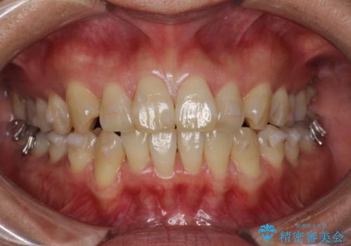
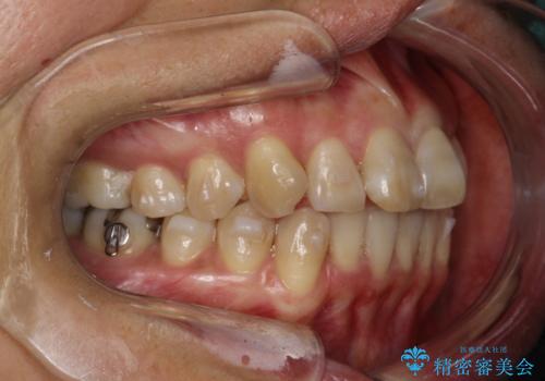
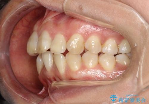
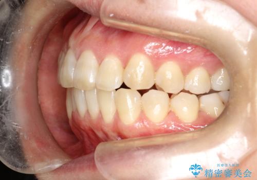
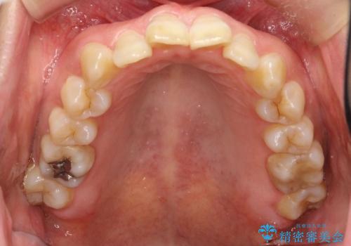
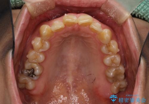
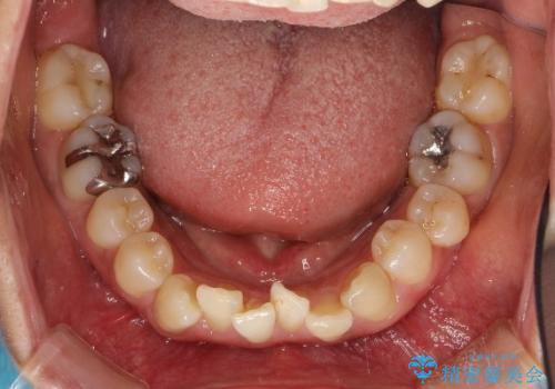
- 上下の歯並びにガタつきがあり、また、上下前歯の前後のズレが大きく上の前歯が突出しています。
インビザラインではガタつき(叢生)の改善だけでなく、上下の前後的なズレについてもアプローチが可能です。
インビザラインの特色を生かした歯牙移動計画を作成し、非抜歯にて治療を行いました。
- 費用(概算)
- 88万円費用は治療当時の料金となります
治療について
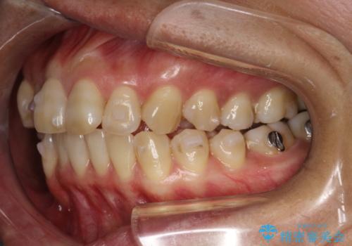
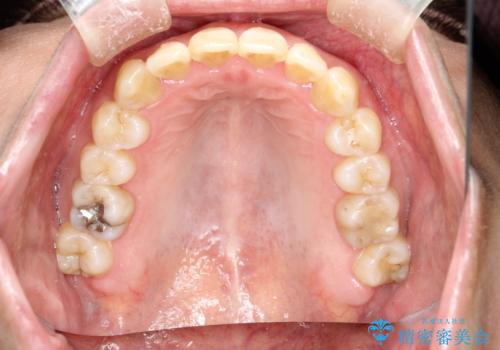
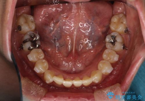
マウスピース枚数 初回52枚 + 追加19枚 + 追加12枚
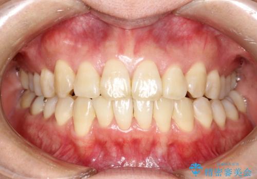
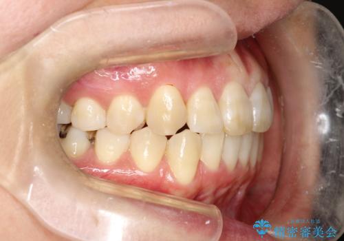
概ね2年での治療完了となりました。
上の歯列に後方への力をかけるために、患者様には顎間ゴムをマウスピースと共に併用してもらいました。
当院独自の工夫を随所に盛り込み、狙い通りの治療結果が得られました。
マウスピース矯正の注意事項(リスク・副作用など)
- 口腔内・歯並びの状態によっては対応できない場合があります
- マウスピース型矯正装置の長時間装着(1日20時間以上)が必須です
- 治療計画通りに進めるためには、患者様の意志が重要になります
- 矯正治療後の保定が不十分だと後戻り(元の位置に戻ろうとする動き)をします
- 薬機法対象外の矯正歯科装置のため医薬品副作用被害救済制度の対象外となる場合があります
- 自費診療(保険適用外)となります
当サイトの内容、テキスト、画像等の無断転載、複製、複写、盗用を固く禁じます。















