症例詳細
Case detail
インビザライン、非抜歯でここまでできる。補助装置との組み合わせで顎のゆがみとかみ合わせを治す
治療症例の内容
- 患者様
- 30代女性
- 矯正装置
- インビザライン
- 治療期間
- 2年
- 治療回数
- 10-30回
- 治療計画
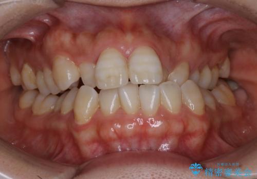
- かみ合わせ、顎のゆがみ、歯の見た目を主訴に来院された患者様です。
上の顎が下の顎に比べて小さく、それによって下の顎の位置をずらすことでしか噛めない状態でした。
また部分的に下の歯が上の歯よりも前に出てきてしまっていて、見た目にも問題がありました。
- 費用(概算)
- 100万円費用は治療当時の料金となります
治療について
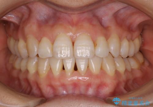
この患者様は骨格的に上あごが小さいことで問題が起きていたため、
上あごを骨ごと広げる必要がありました。
よって治療計画として、インプラントアンカーを使用した上顎急速拡大装置(MARPE)を使用することといたしました。
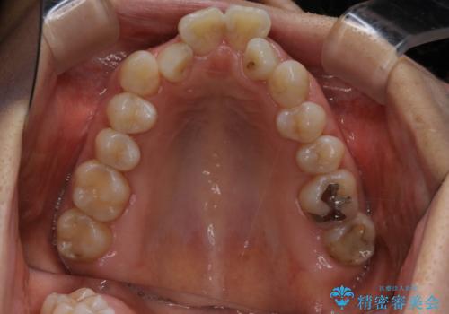
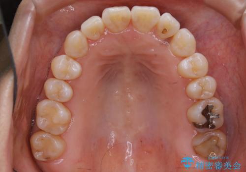
インプラントアンカーを使用した上顎急速拡大装置(MARPE)について
上あごの裏側(口蓋)に装置をマイクロインプラントで固定し、ネジを回すことで上あごを骨ごと広げていく装置です。
ご自身で回していただくのにコツが必要なのと、広がった直後は前歯に隙間ができてしまうことがあります。
治療中押されるような違和感がありますが、強い痛みはありません。
顎のゆがみの改善について
顎のゆがみは骨格によって起きているものとかみ合わせによって起きているものの2種類があります。
かみ合わせによって起こっている顎のゆがみは矯正治療をしてあげることで改善する可能性があります。
マウスピース矯正の注意事項(リスク・副作用など)
- 口腔内・歯並びの状態によっては対応できない場合があります
- マウスピース型矯正装置の長時間装着(1日20時間以上)が必須です
- 治療計画通りに進めるためには、患者様の意志が重要になります
- 矯正治療後の保定が不十分だと後戻り(元の位置に戻ろうとする動き)をします
- 薬機法対象外の矯正歯科装置のため医薬品副作用被害救済制度の対象外となる場合があります
- 自費診療(保険適用外)となります
当サイトの内容、テキスト、画像等の無断転載、複製、複写、盗用を固く禁じます。













