症例詳細
Case detail
欠けた前歯を綺麗にしたい
治療症例の内容
- 診療科目
- 治療カテゴリ
- 担当医
- 大元洋佑(ドクタープロフィール)
- 患者様
- 30代女性
- 治療期間
- 1ヶ月
- 治療回数
- 2-5回
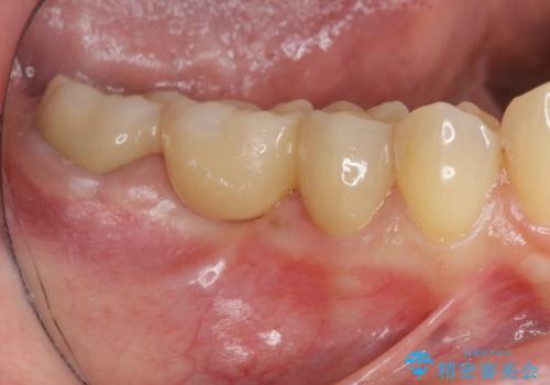
- 治療計画
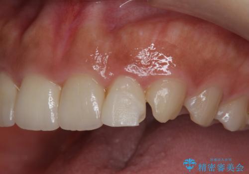
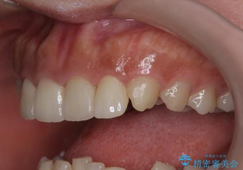
- 「欠けてしまった前歯のコンポジットレジン修復をくり返していたが、すぐ外れてしまい困っている。」
、と前歯の欠けの改善を求めて来院されました。
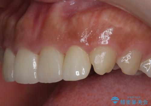
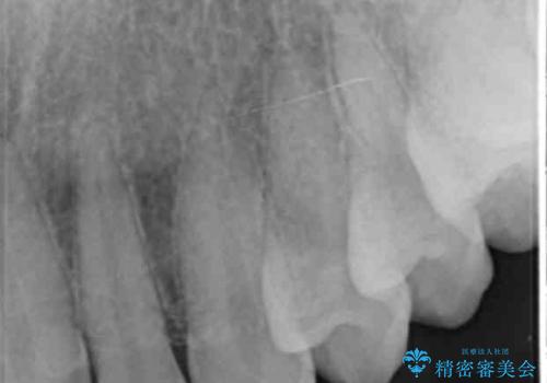
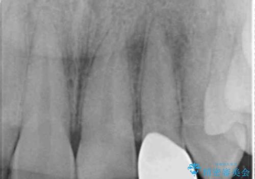
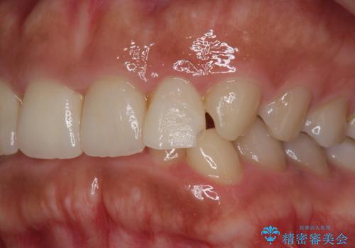
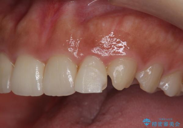
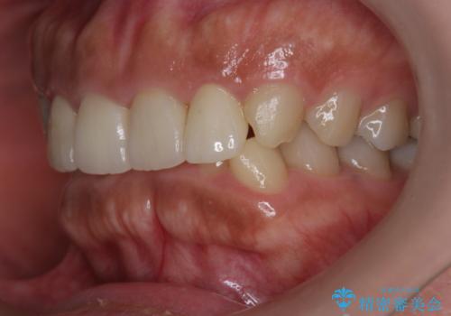
噛み合わせが深く、前歯の突き上げが大きいため欠けの繰り返しを防ぐべくセラミッククラウンによる補綴を行うこととしました。
- 費用(概算)
- 13.2万円(ジルコニアクラウン・仮歯)費用は治療当時の料金となります
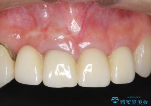
治療について
審美性の改善を達成することができました。
セラミック治療の注意事項(リスク・副作用など)
- 天然歯を削ります
- 硬い素材は天然歯を傷つけてしまう場合があります
- かみ合わせや歯ぎしりが強すぎる方はセラミックが割れてしまう可能性があります
- 自費診療(保険適用外治療)となります
当サイトの内容、テキスト、画像等の無断転載、複製、複写、盗用を固く禁じます。







