症例詳細
Case detail
前歯の審美障害 セラミック治療
治療症例の内容
- 診療科目
- 治療カテゴリ
- 担当医
- 大元洋佑(ドクタープロフィール)
- 患者様
- 50代女性
- 治療期間
- 1ヶ月
- 治療回数
- 2-5回
- 治療計画
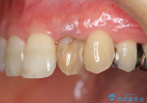
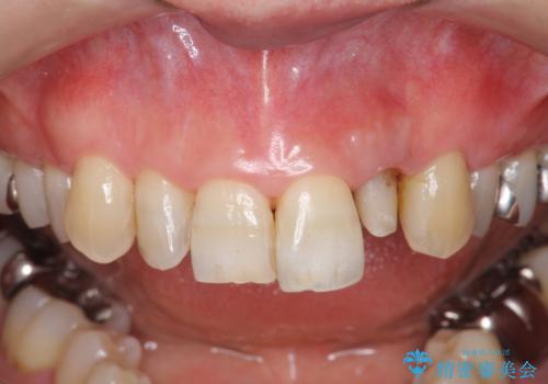
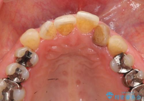
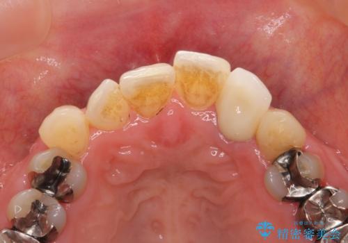
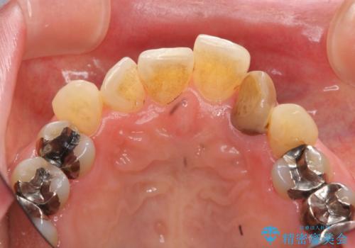
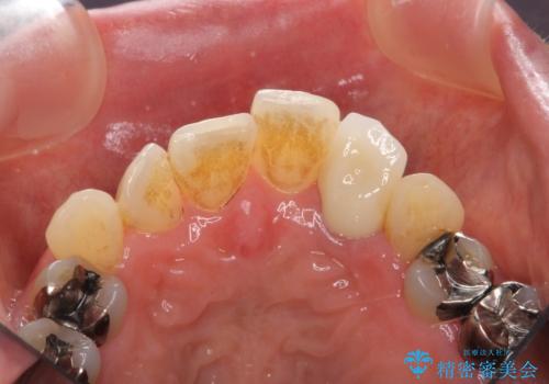
- 目立つ前歯の著しい変色の改善を求めて来院されました。
根管治療が為されたまま、クラウンの装着が行われず変色し審美障害を来している状態です。
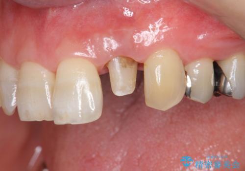
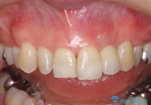
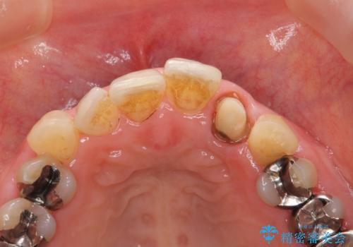
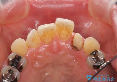
維持を保つためのファイバーコア築盛を行い、精密なジルコニアクラウン製作を行います。
- 費用(概算)
- 15.4万円(ジルコニアクラウン・仮歯・ファイバーコア)費用は治療当時の料金となります
治療について
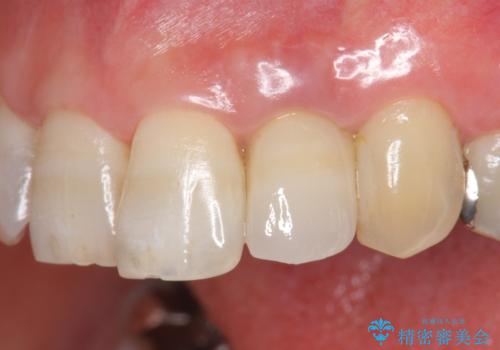
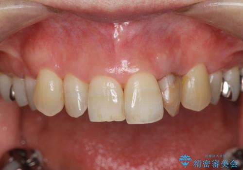
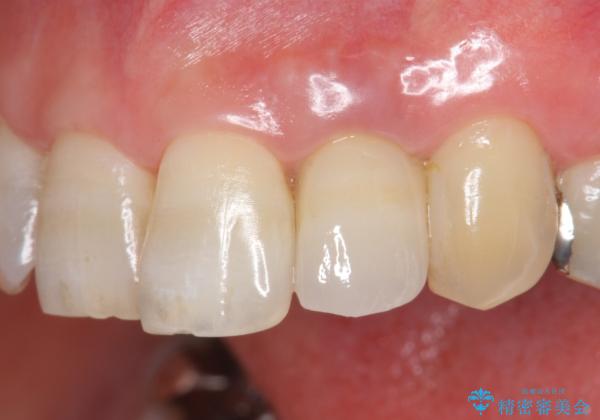
自然な色調のクラウンが製作され、審美障害が改善し喜んでいただくことができました。
セラミック治療の注意事項(リスク・副作用など)
- 天然歯を削ります
- 硬い素材は天然歯を傷つけてしまう場合があります
- かみ合わせや歯ぎしりが強すぎる方はセラミックが割れてしまう可能性があります
- 自費診療(保険適用外治療)となります
当サイトの内容、テキスト、画像等の無断転載、複製、複写、盗用を固く禁じます。














