症例詳細
Case detail
割れてしまった奥歯 インプラントによる補綴治療
治療症例の内容
- 担当医
- 藤巻太一朗(ドクタープロフィール)
- 患者様
- 60代男性
- 治療期間
- 1年1ヶ月
- 治療回数
- 5-10回
- 治療計画
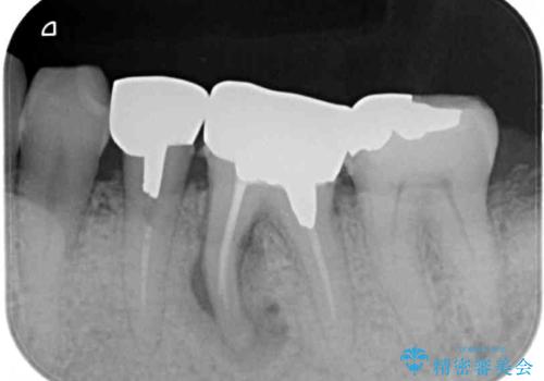
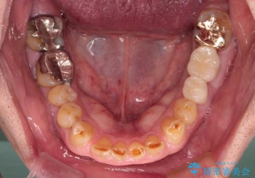
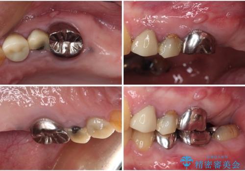
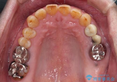
- 上下の奥歯が痛いとのことで来院された患者様です。
診察をしたところ、上下大臼歯の歯肉に排膿路認められたため、根管治療を行い、その後補綴治療を行うこととしました。
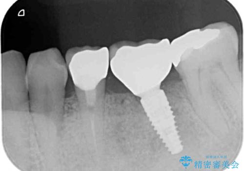
また、上顎の欠損部位にはインプラント治療を行うこととしました。
治療を開始したところ、上顎は排膿路が消失し、症状も落ち着きましたが、下顎は一向に改善されませんでした。
改めて診療を行ったところ、歯根破折が認められ、抜歯後にインプラント治療を行うこととしました。
- 費用(概算)
- 治療費の目安: 175万円(税込)費用は治療当時の料金となります
治療について
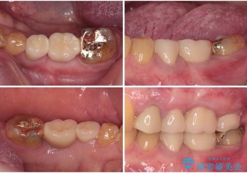
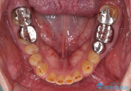
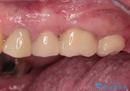
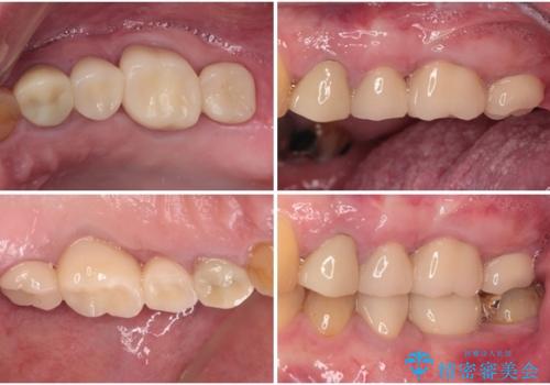
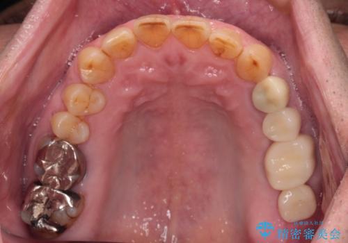
下顎大臼歯の抜歯決断までに時間がかかったため、治療期間はやや長くなりましたが、安定した咬み合わせとなり、痛みもなく安心して噛めるようになりました。
セラミック治療の注意事項(リスク・副作用など)
- 天然歯を削ります
- 硬い素材は天然歯を傷つけてしまう場合があります
- かみ合わせや歯ぎしりが強すぎる方はセラミックが割れてしまう可能性があります
- 自費診療(保険適用外治療)となります
インプラント治療の注意事項(リスク・副作用など)
- 外科手術のため、術後に痛みや腫れ、違和感を伴います
- メンテナンスを怠ったり喫煙により、お口の中に大きな悪影響を及ぼすインプラント周囲炎等にかかる可能性があります
- 糖尿病、肝硬変、心臓病等の場合、インプラント治療ができない可能性があります
- 高血圧、貧血・不整脈等の場合、インプラント治療後に治癒不全を招く可能性があります
- 自費診療(保険適用外治療)となります
根管治療の注意事項(リスク・副作用など)
- 根管治療により類似の全ての症例の問題が解決するわけではなく、症例はあくまでも一例です
- 根管治療により痛みや腫れがひかない事や、術後に痛みや腫れが生じる事、治療によるファイル破折やパーフォレーションなどの偶発症、術後の歯根破折を生じる可能性もあります
- 自費診療(保険適用外)となります
当サイトの内容、テキスト、画像等の無断転載、複製、複写、盗用を固く禁じます。




















