症例詳細
Case detail
度重なる処置でつぎはぎだらけ オールセラミッククラウンによる補綴治療
治療症例の内容
- 診療科目
- 治療カテゴリ
- 担当医
- 藤巻太一朗(ドクタープロフィール)
- 患者様
- 20代女性
- 治療期間
- 1ヶ月
- 治療回数
- 2-5回
- 治療計画
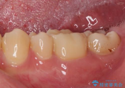
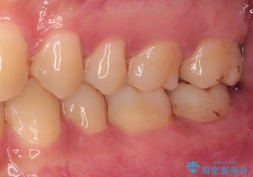
- 今まで色々と修復を重ね、いよいよものが挟まるとのことで来院された患者様です。
ものが挟まるだけであれば、インレーによる修復治療を選択しますが、今までの治療後が黒く汚く見えるとのことで、オールセラミッククラウンにて補綴治療を行うこととしました。
- 費用(概算)
- 治療費の目安: 10万円(税込)費用は治療当時の料金となります
治療について
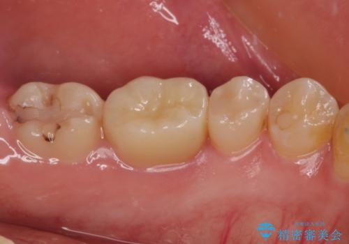
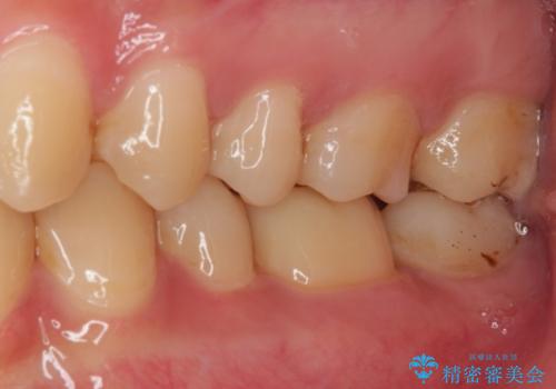
オールセラミッククラウンとしたことで見た目の改善やものが挟まる不快感の改善だけでなく、舌触りも良くなりました。
セラミック治療の注意事項(リスク・副作用など)
- 天然歯を削ります
- 硬い素材は天然歯を傷つけてしまう場合があります
- かみ合わせや歯ぎしりが強すぎる方はセラミックが割れてしまう可能性があります
- 自費診療(保険適用外治療)となります
当サイトの内容、テキスト、画像等の無断転載、複製、複写、盗用を固く禁じます。










