症例詳細
Case detail
飛び出した前歯をインビザラインですっきりと
治療症例の内容
- 担当医
- 藤巻太一朗(ドクタープロフィール)
- 患者様
- 20代女性
- 矯正装置
- インビザライン
- 治療期間
- 3年8ヶ月
- 治療回数
- 10-30回
- 治療計画
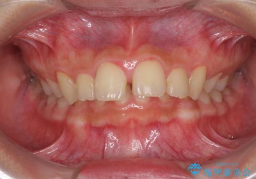
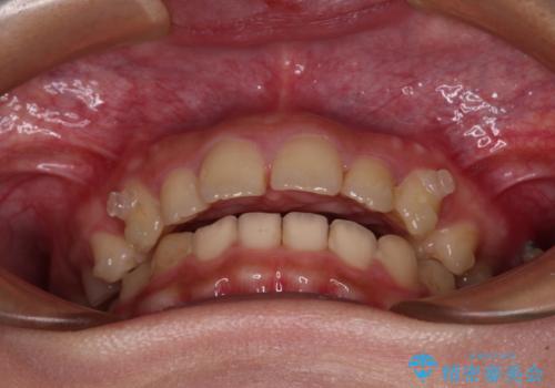
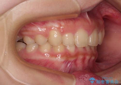
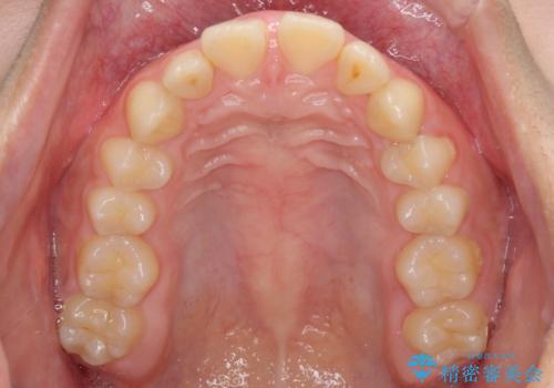
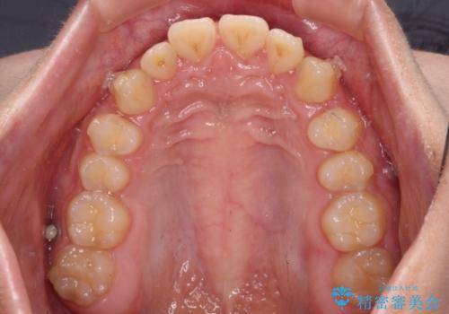
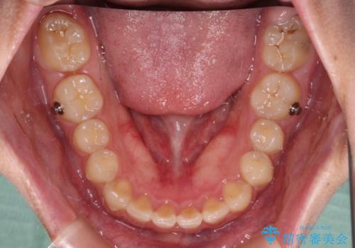
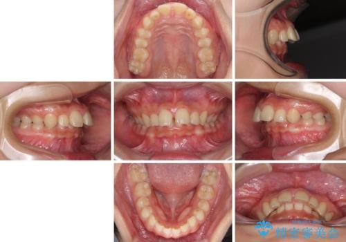
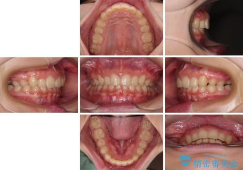
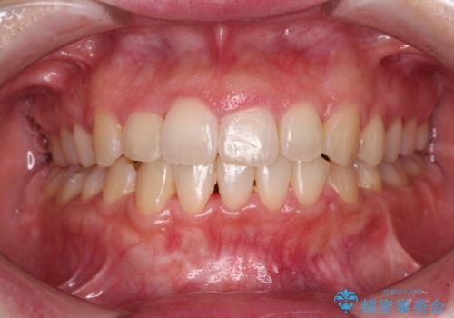
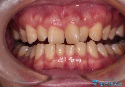
- 深い咬み合わせと上顎前歯の突出感を気にして来院された患者様です。
当院では通常、臼歯の咬合が理想的な位置に対して上顎が前方位にある場合。ワイヤー矯正または補助装置の併用したインビザライン矯正を選択しています。
今回は、できるところまででいいのでインビザライン単体で治療をしたいという希望があったため、インビザラインにて矯正治療を行うこととしました。
- 費用(概算)
- 治療費の目安: 100万円(税込)費用は治療当時の料金となります
治療について
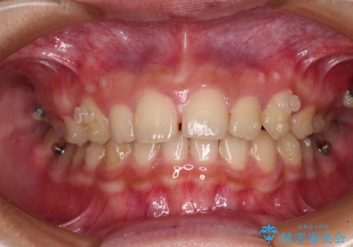
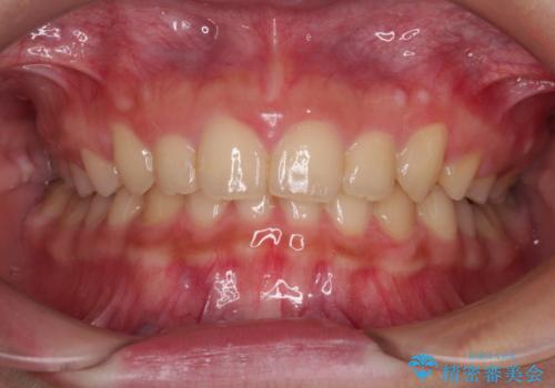
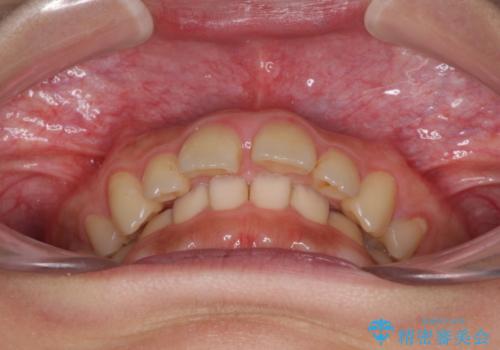
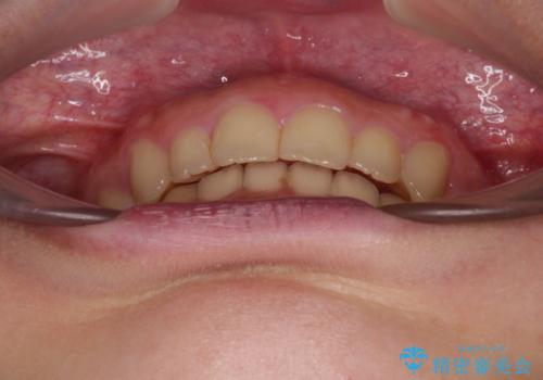
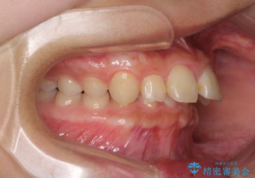
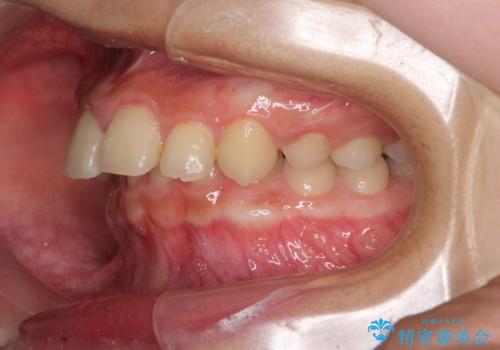
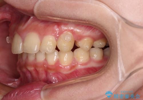
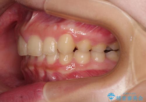
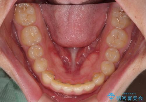
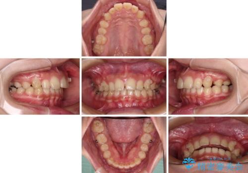
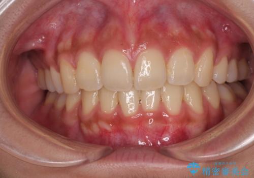
正面や横からの写真ではきれいに治っており、患者様は大変満足のいく仕上がりとなりましたが、深い咬み合わせの改善は不十分で、奥歯の咬み合わせも改善させることができませんでした。
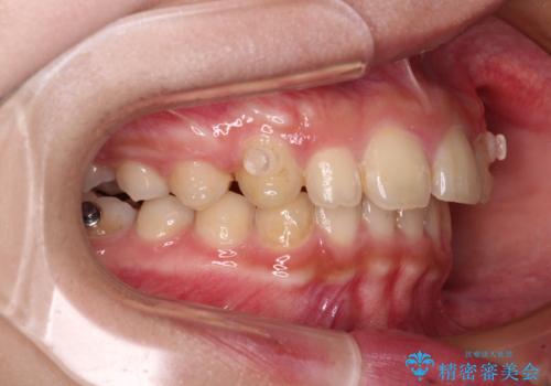
インビザラインは、咬合力の強い方ですと、奥歯が歯肉内にめり込んでしまうため、前歯が強く接触してしまうことがあります。
こちらの方は、奥歯はしっかりと噛んだのですが、歯肉にめり込んでしまったことで、歯肉が腫れやすくなってしまいました。
マウスピース矯正の注意事項(リスク・副作用など)
- 口腔内・歯並びの状態によっては対応できない場合があります
- マウスピース型矯正装置の長時間装着(1日20時間以上)が必須です
- 治療計画通りに進めるためには、患者様の意志が重要になります
- 矯正治療後の保定が不十分だと後戻り(元の位置に戻ろうとする動き)をします
- 薬機法対象外の矯正歯科装置のため医薬品副作用被害救済制度の対象外となる場合があります
- 自費診療(保険適用外)となります
当サイトの内容、テキスト、画像等の無断転載、複製、複写、盗用を固く禁じます。



























