症例詳細
Case detail
事故でぶつけてから変色した前歯 オールセラミッククラウン補綴治療
治療症例の内容
- 診療科目
- 治療カテゴリ
- 担当医
- 藤巻太一朗(ドクタープロフィール)
- 患者様
- 20代女性
- 治療期間
- 1ヶ月
- 治療回数
- 2-5回
- 治療計画
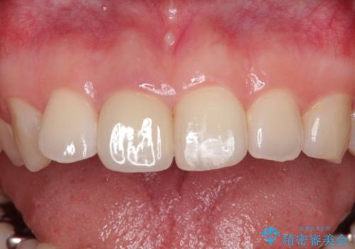
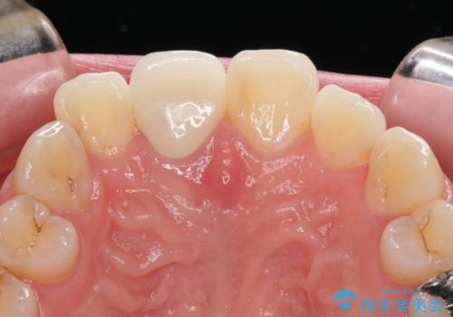
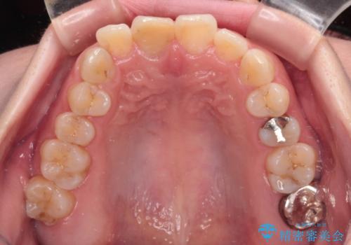
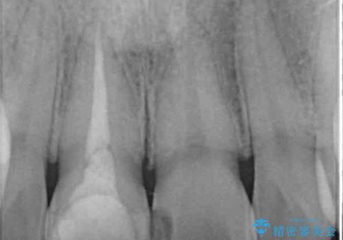
- 事故でぶつけて神経を取り除いた歯が変色したとのことで来院された患者様です。
処置直後は欠けた部分を詰めた材料で見た目に問題なかったそうですが、年々変色してきて、かなり目立つようになっていました。
根管治療された状態に大きな問題はなかったため、土台を植立し、オールセラミッククラウンにて補綴治療を行うこととしました。
- 費用(概算)
- 治療費の目安: 20万円(税込)費用は治療当時の料金となります
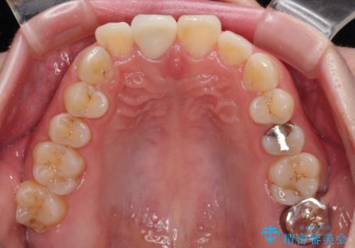
治療について
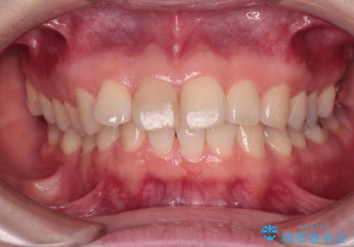
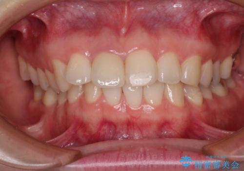
オーダーメイドタイプのクラウンを選択されたため、周辺の歯と調和が取れる色合いとなるまで修正を繰り返しました。
セラミック治療の注意事項(リスク・副作用など)
- 天然歯を削ります
- 硬い素材は天然歯を傷つけてしまう場合があります
- かみ合わせや歯ぎしりが強すぎる方はセラミックが割れてしまう可能性があります
- 自費診療(保険適用外治療)となります
当サイトの内容、テキスト、画像等の無断転載、複製、複写、盗用を固く禁じます。












