症例詳細
Case detail
開咬と歯の欠損 ワイヤー装置を併用したインビザライン矯正治療
治療症例の内容
- 担当医
- 藤巻太一朗(ドクタープロフィール)
- 患者様
- 40代女性
- 矯正装置
- インビザライン
- 治療期間
- 1年6ヶ月
- 治療回数
- 10-30回
- 治療計画
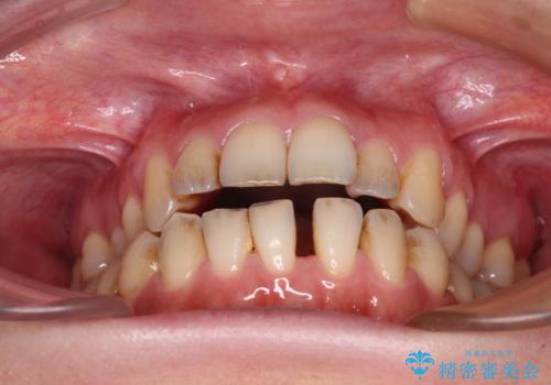
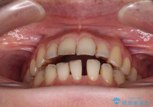
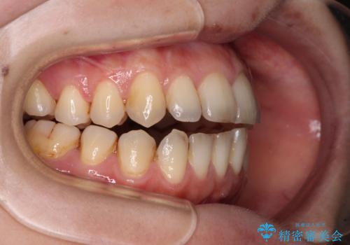
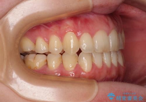
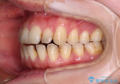
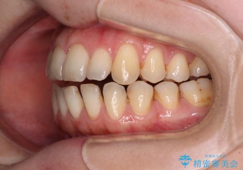
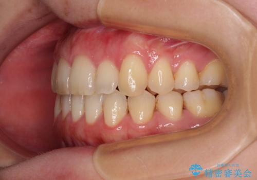
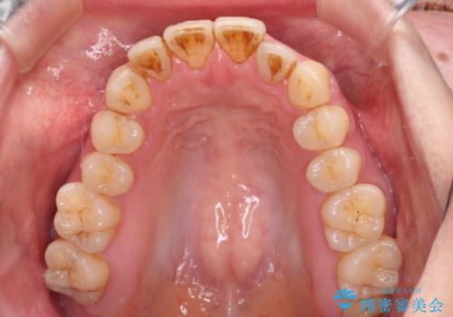
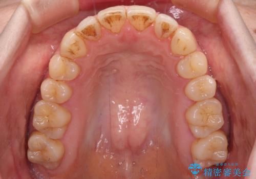
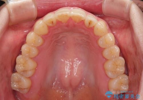
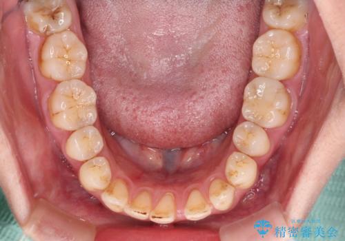
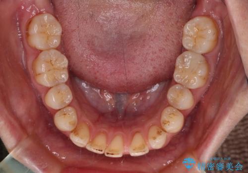
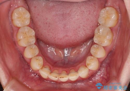
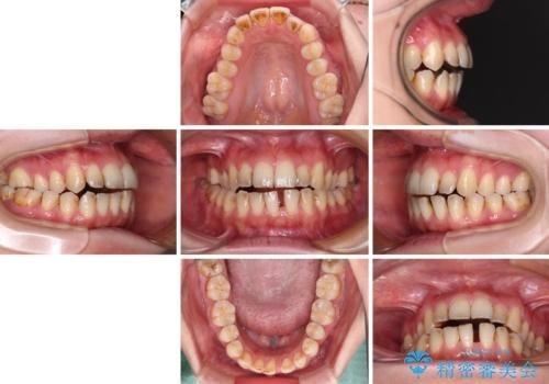
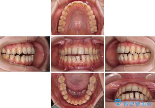
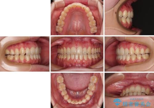
- 上下前歯の隙間を気にして来院された患者様です。
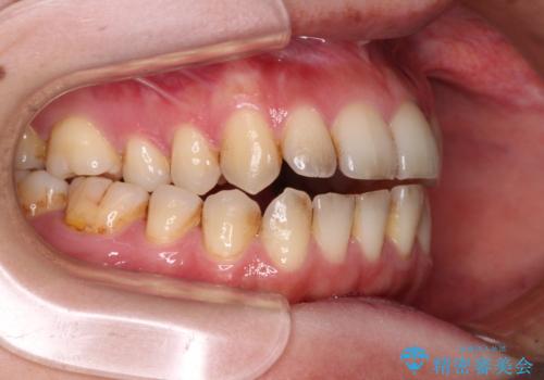
下顎前歯が1本欠損しており、上下小臼歯はクロスバイトとなり、上下前歯の接触もないという不正咬合の状態でした。
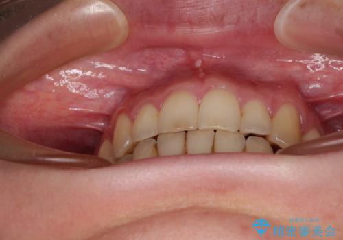
クロスバイトはワイヤー矯正が得意とするところであり、上下前歯の非接触や開咬はインビザラインの得意とするところであるので、ワイヤー装置により事前にクロスバイトを改善し、その後にインビザラインにて仕上げていくこととしました。
- 費用(概算)
- 治療費の目安: 100万円(税込)費用は治療当時の料金となります
治療について
奥歯の咬み合わせに問題がある場合、インビザラインでは改善できないことが多々あります。事前にワイヤー装置により問題点を解消しておくことで、スムーズにインビザラインでの矯正治療を進めていくことができます。
マウスピース矯正の注意事項(リスク・副作用など)
- 口腔内・歯並びの状態によっては対応できない場合があります
- マウスピース型矯正装置の長時間装着(1日20時間以上)が必須です
- 治療計画通りに進めるためには、患者様の意志が重要になります
- 矯正治療後の保定が不十分だと後戻り(元の位置に戻ろうとする動き)をします
- 薬機法対象外の矯正歯科装置のため医薬品副作用被害救済制度の対象外となる場合があります
- 自費診療(保険適用外)となります
当サイトの内容、テキスト、画像等の無断転載、複製、複写、盗用を固く禁じます。




























