症例詳細
Case detail
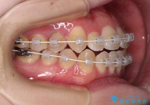
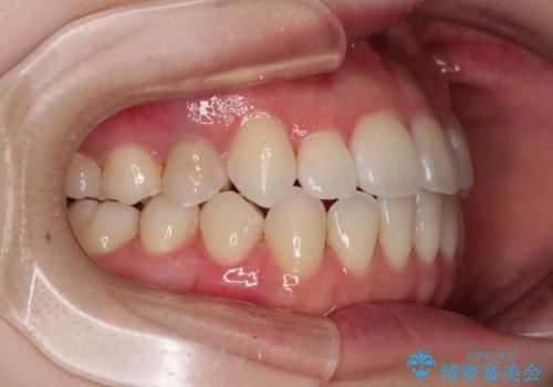
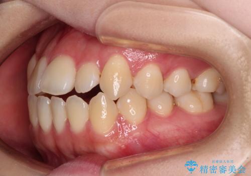
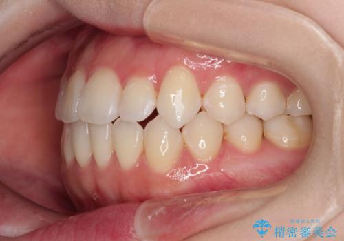
舌突出癖による開咬 舌のトレーニングを行いながら前歯の隙間を改善
治療症例の内容
- 診療科目
- 担当医
- 藤巻太一朗(ドクタープロフィール)
- 患者様
- 20代女性
- 矯正装置
- 審美装置
- 治療期間
- 1年6ヶ月
- 治療回数
- 10-30回
- 治療計画
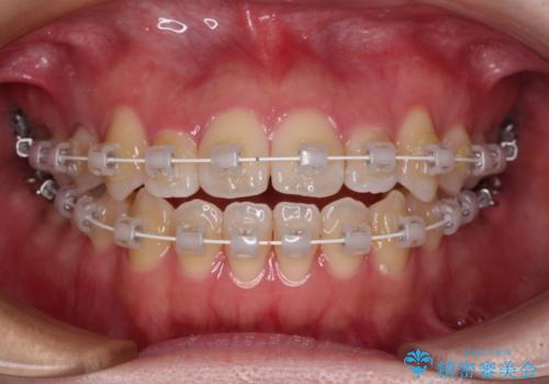
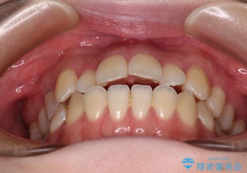
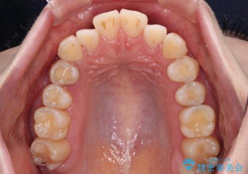
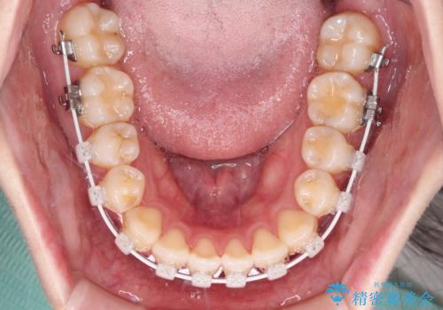
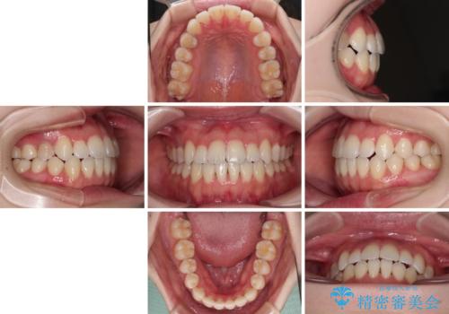
- 上下前歯の隙間を気にして来院された患者様です。
前歯が、舌の突出癖により上下前歯が非接触となっている状態でした。
上下前歯が非接触である開咬は、インビザラインによる治療がお勧めではありますが、しっかりと使う自信がないとのことで、ワイヤー装置にて治療を行うこととしました。
- 費用(概算)
- 治療費の目安: 95万円(税込)費用は治療当時の料金となります
治療について
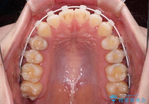
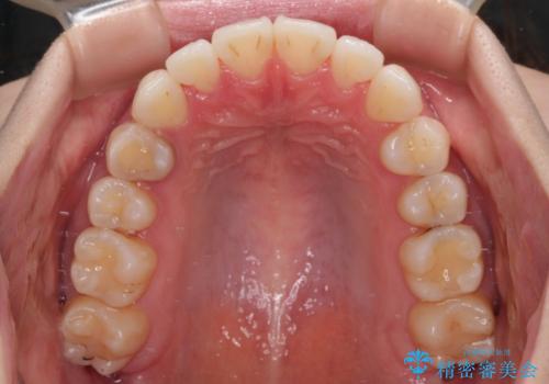
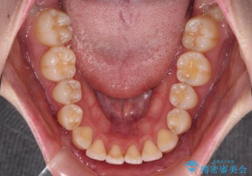
ワイヤー矯正での開咬改善には時間がかかります。
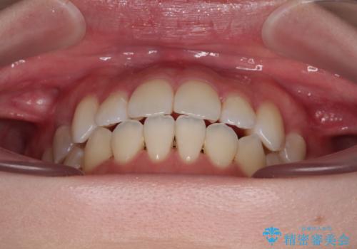
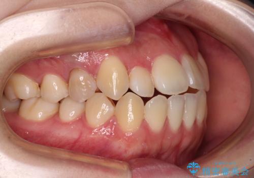
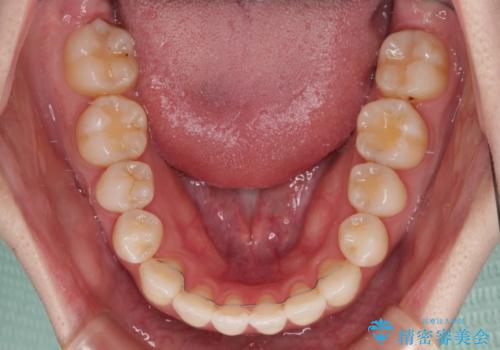
舌の突出癖改善のトレーニングをしっかりと行っていただき、上下前歯が接触する咬み合わせを達成することができました。
ワイヤー矯正の注意事項(リスク・副作用など)
- 治療中は違和感や痛みが起こることがあります
- 症状により、抜歯が必要な場合があります
- 治療中は歯磨きがしにくくなるため、虫歯や歯周病になりやすくなります
- 矯正治療後の保定が不十分だと後戻り(元の位置に戻ろうとする動き)をします
- 自費診療(保険適用外)となります
当サイトの内容、テキスト、画像等の無断転載、複製、複写、盗用を固く禁じます。

























