症例詳細
Case detail
海外で始めたインビザライン 転医手続きにより治療を継続
治療症例の内容
- 診療科目
- 治療カテゴリ
- 担当医
- 藤巻太一朗(ドクタープロフィール)
- 患者様
- 10代女性(高校生)
- 矯正装置
- インビザライン
- 治療期間
- 2年
- 治療回数
- 10-30回
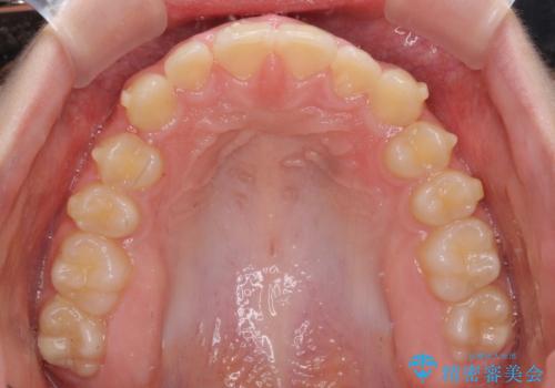
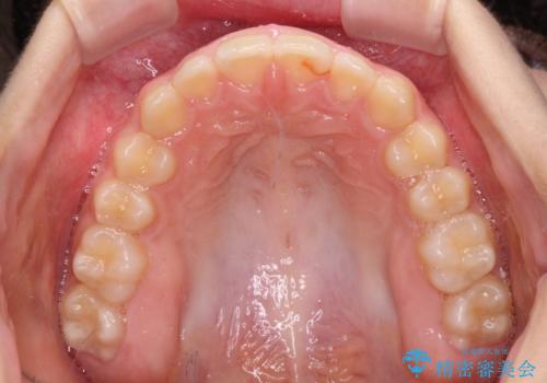
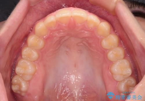
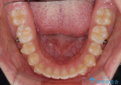
- 治療計画
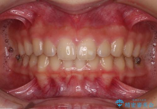
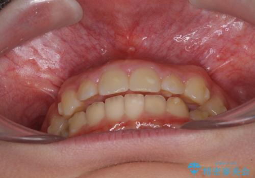
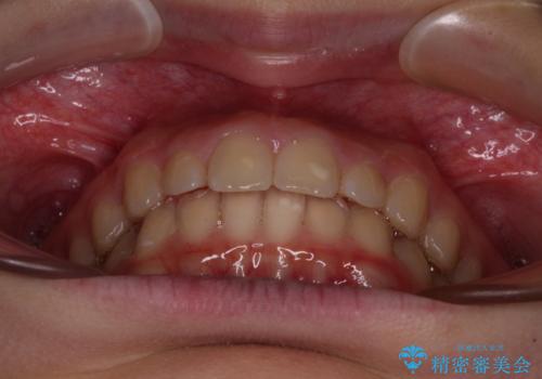
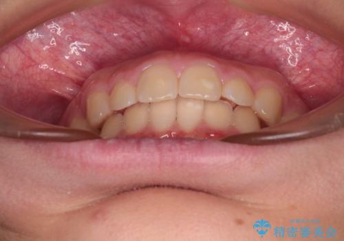
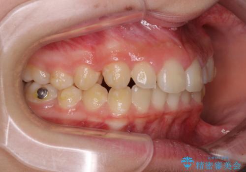
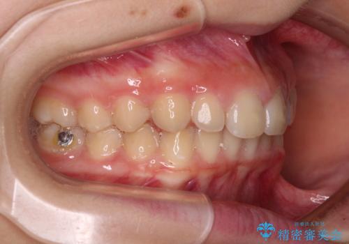
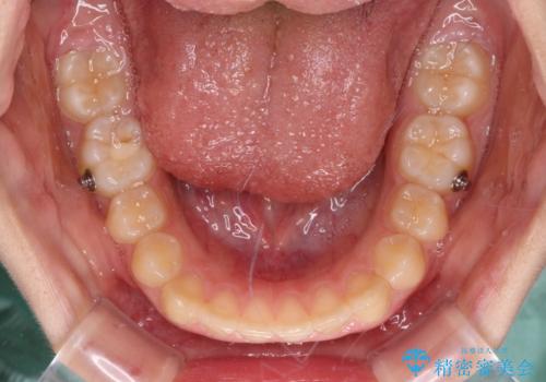
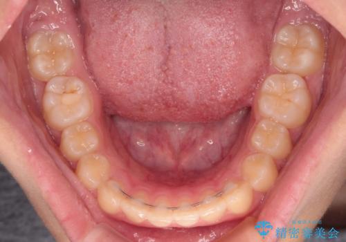
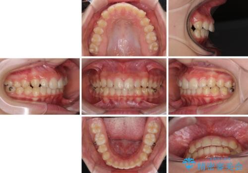
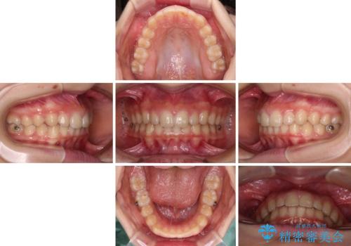
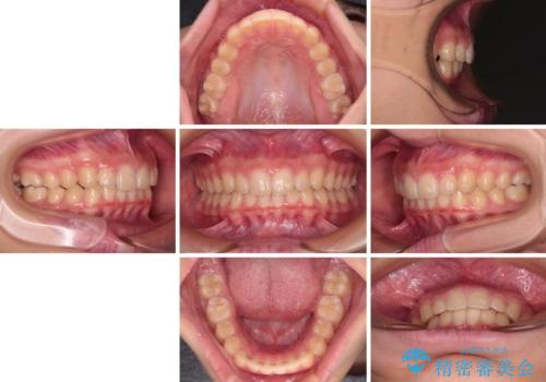
- ヨーロッパにてインビザライン矯正を始めたものの、日本に転居することになり、治療の継続を希望して来院された患者様です。
治療計画に無理がなく、現地担当医と速やかに連絡が取れるとのことで、インビザライン社での転医手続きを行い、継続して治療を行うこととしました。
- 費用(概算)
- 治療費の目安: 40万円(税込)費用は治療当時の料金となります
治療について
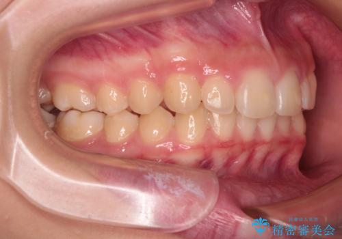
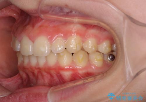
舌の突出癖により、上下前歯が非接触となっていたため、トレーニングを徹底的に指導し、安定した咬み合わせにより終了させることができました。
マウスピース矯正の注意事項(リスク・副作用など)
- 口腔内・歯並びの状態によっては対応できない場合があります
- マウスピース型矯正装置の長時間装着(1日20時間以上)が必須です
- 治療計画通りに進めるためには、患者様の意志が重要になります
- 矯正治療後の保定が不十分だと後戻り(元の位置に戻ろうとする動き)をします
- 薬機法対象外の矯正歯科装置のため医薬品副作用被害救済制度の対象外となる場合があります
- 自費診療(保険適用外)となります
当サイトの内容、テキスト、画像等の無断転載、複製、複写、盗用を固く禁じます。

























