症例詳細
Case detail
急速拡大とワイヤー抜歯矯正で唇を閉じやすく
治療症例の内容
- 診療科目
- 担当医
- 藤巻太一朗(ドクタープロフィール)
- 患者様
- 20代女性
- 治療期間
- 2年3ヶ月
- 治療回数
- 10-30回
- 治療計画
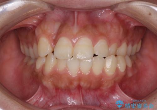
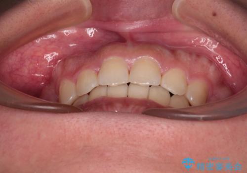
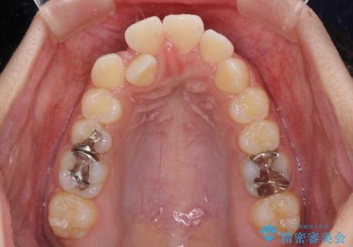
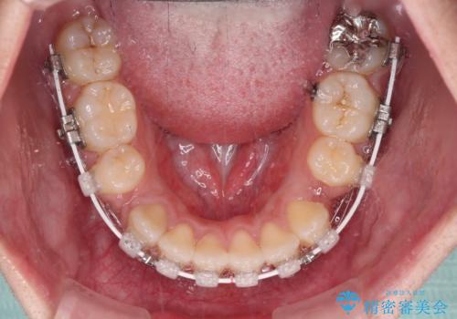
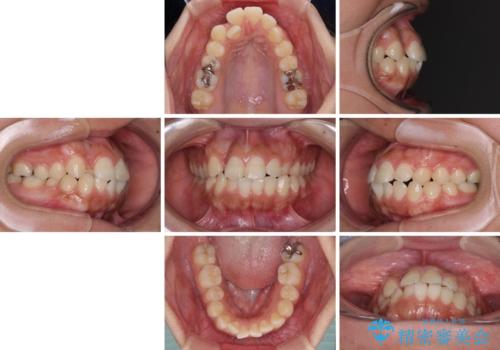
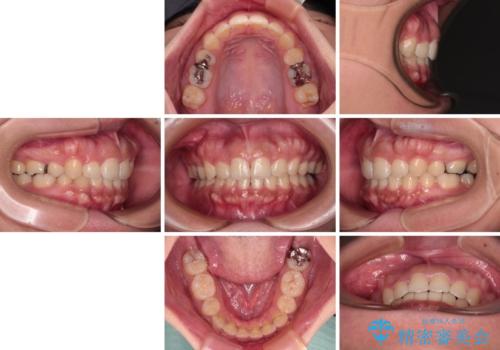
- 口元の突出感を気にして来院された患者様です。
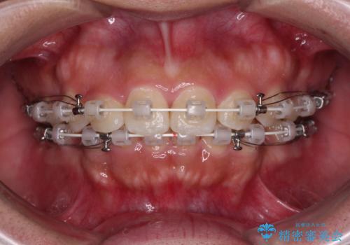
デコボコと口元の突出感が認められたため、上下左右の第1小臼歯4本を抜歯してのワイヤー矯正を行うこととしました。
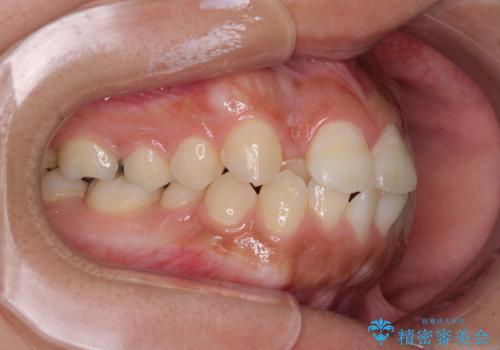
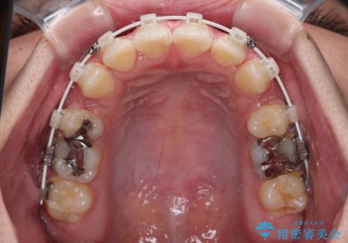
上顎歯列の横幅が狭く、下顎大臼歯の歯軸が舌側に倒れていたため、急速拡大装置により上顎骨を側方に拡大し、咬み合わせを改善することとしました。
- 費用(概算)
- 治療費の目安: 120万円(税込)費用は治療当時の料金となります
治療について
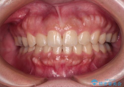
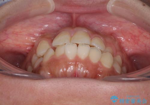
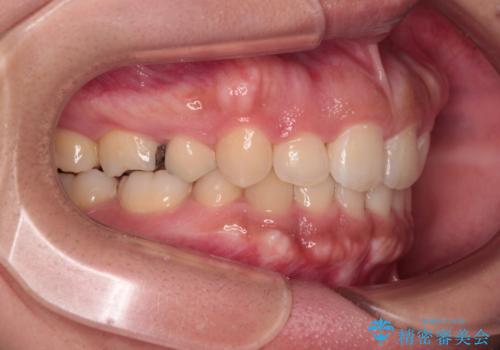
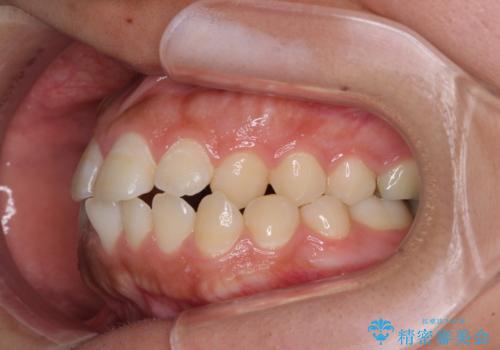
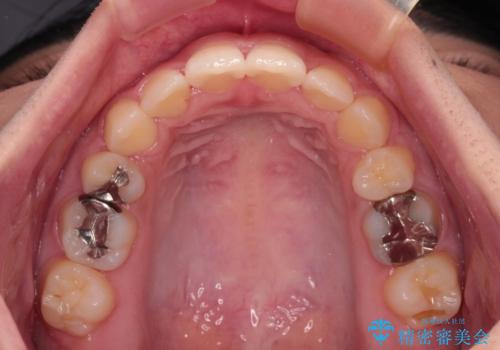
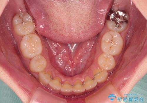
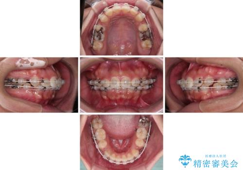
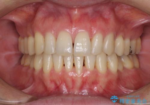
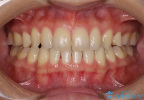
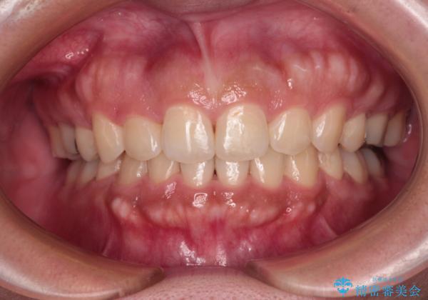
上顎歯列幅を拡大したことで、デコボコを容易に解消することができるようになったため、抜歯により得られたスペースを口元の突出感改善に利用することができました。
ワイヤー矯正の注意事項(リスク・副作用など)
- 治療中は違和感や痛みが起こることがあります
- 症状により、抜歯が必要な場合があります
- 治療中は歯磨きがしにくくなるため、虫歯や歯周病になりやすくなります
- 矯正治療後の保定が不十分だと後戻り(元の位置に戻ろうとする動き)をします
- 自費診療(保険適用外)となります
当サイトの内容、テキスト、画像等の無断転載、複製、複写、盗用を固く禁じます。



























