症例詳細
Case detail
酔っ払ってぶつけた前歯 オールセラミッククラウンで自然な前歯に
治療症例の内容
- 診療科目
- 治療カテゴリ
- 担当医
- 藤巻太一朗(ドクタープロフィール)
- 患者様
- 20代男性
- 治療期間
- 2ヶ月
- 治療回数
- 2-5回
- 治療計画
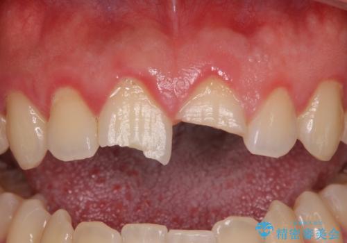
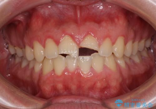
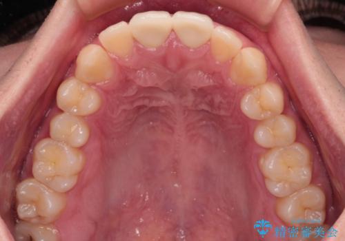
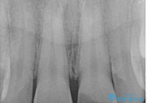
- 酔っ払って転んだらしく、目が覚めたら病室で歯が欠けていたとのことで来院された患者様です。
痛みを感じており、歯の欠けている状況から、神経組織のダメージも想定されました。
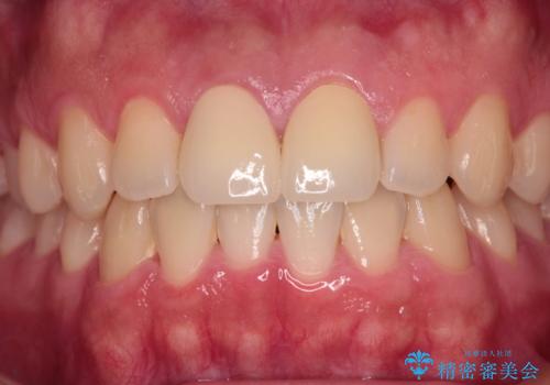
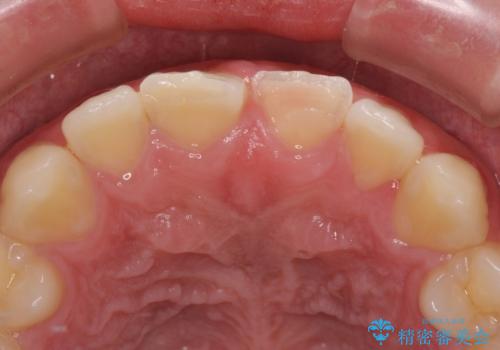
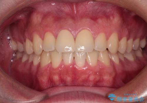
無菌的環境下にて歯の状態を調べ、最終的にオールセラミッククラウンにて補綴治療を行うこととしました。
- 費用(概算)
- 治療費の目安: 25万円(税込)費用は治療当時の料金となります
治療について
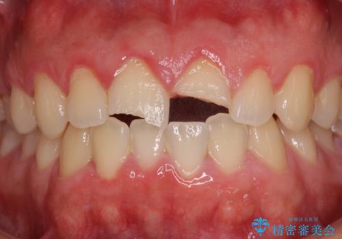
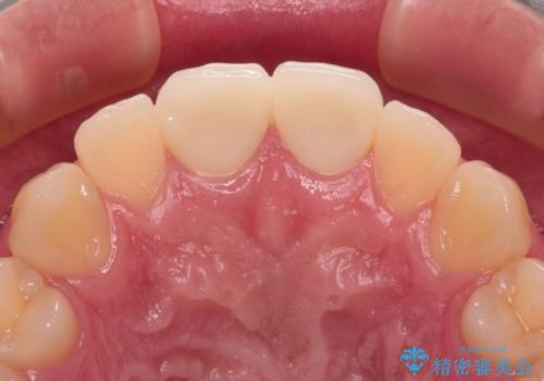
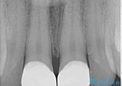
幸いにも神経組織に影響はなく、健全な状態で治療を終えることができました。
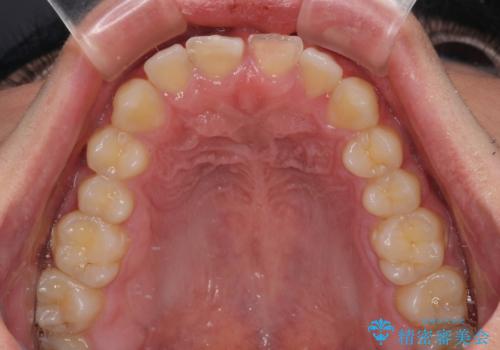
歯肉の腫脹が目立っていたため、衛生指導も並行して行い、引き締まった歯肉になりました。
外傷歯は、将来的に歯根吸収を起こす可能性があるため、定期的なレントゲン撮影により経過観察が必要となります。
セラミック治療の注意事項(リスク・副作用など)
- 天然歯を削ります
- 硬い素材は天然歯を傷つけてしまう場合があります
- かみ合わせや歯ぎしりが強すぎる方はセラミックが割れてしまう可能性があります
- 自費診療(保険適用外治療)となります
当サイトの内容、テキスト、画像等の無断転載、複製、複写、盗用を固く禁じます。















