症例詳細
Case detail
歯肉が腫れて出血する奥歯 歯周外科処置を用いたセラミック補綴治療
治療症例の内容
- 診療科目
- 担当医
- 藤巻太一朗(ドクタープロフィール)
- 患者様
- 40代男性
- 治療期間
- 1年
- 治療回数
- 5-10回
- 治療計画
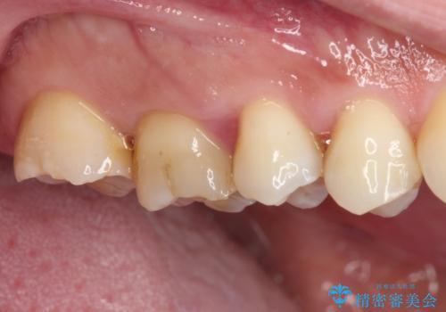
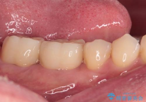
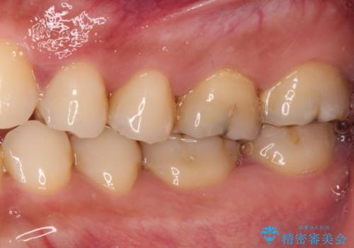
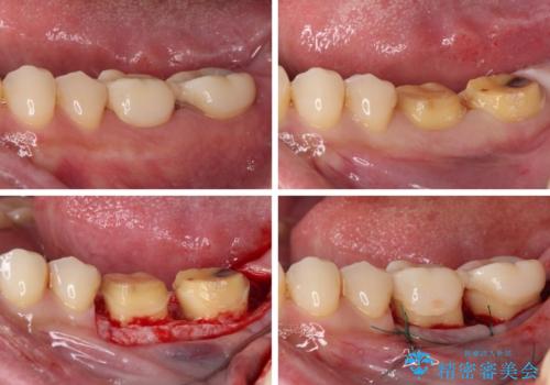
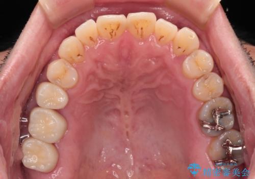
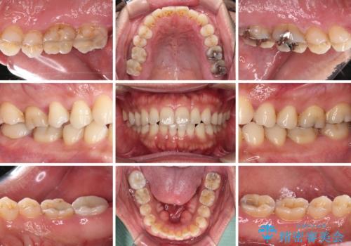
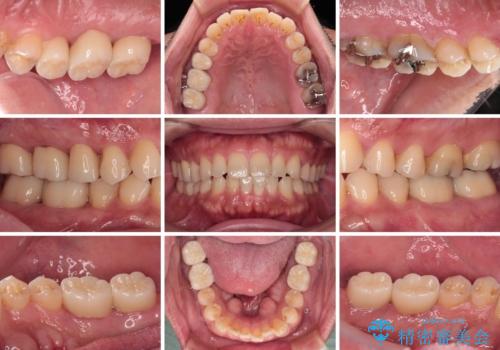
- 奥歯の間から出血するとのことで来院された患者様です。
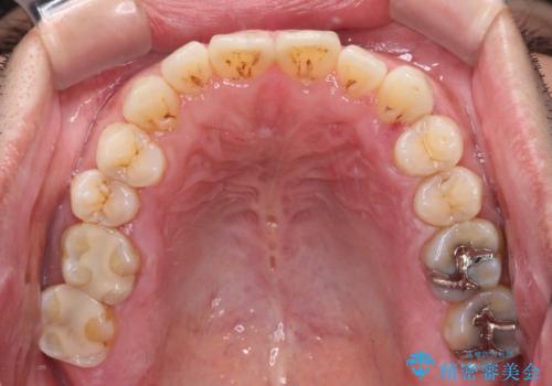
口腔内は非常にきれいで、定期的に歯科医院でのクリーニングも行っているとのことでしたが、歯肉からの出血が一向に解決しない状態でした。
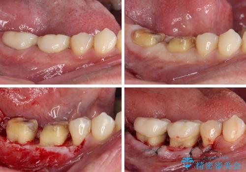
奥歯の歯間部の歯肉が炎症で赤黒くなっており、歯周ポケットを検査したところ、6-8mm(正常では3mm以下)であり、外科処置が適用となる状態でした。
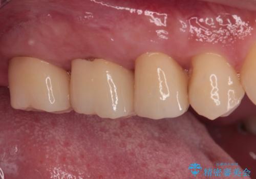
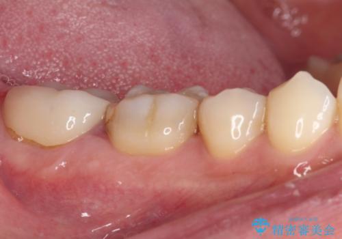
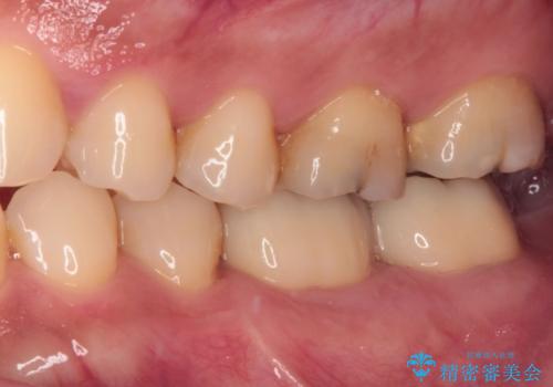
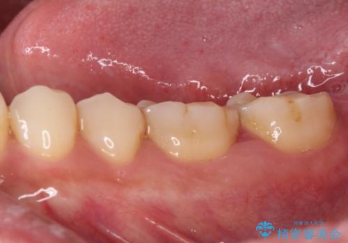
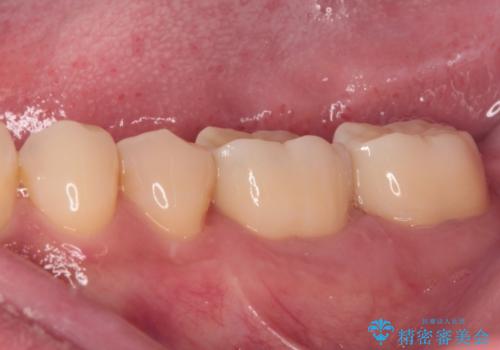
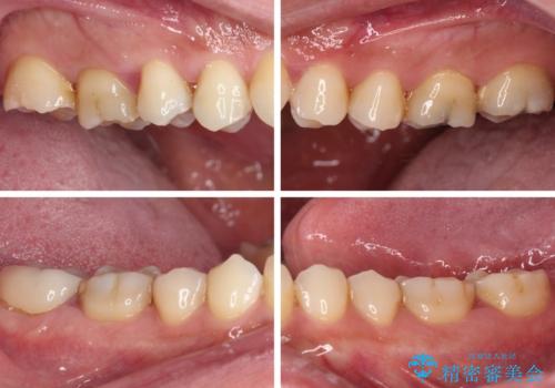
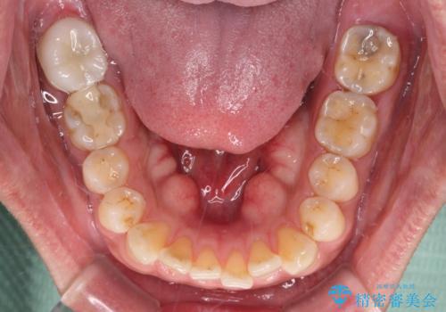
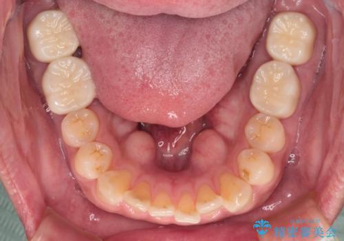
まずは仮歯に置き換え、歯周ポケットを除去するための外科処置(歯肉弁根尖側移動術)を行い、治癒を待ってセラミッククラウンにて補綴治療を行うこととしました。
- 費用(概算)
- 治療費の目安: 100万円(税込)費用は治療当時の料金となります
治療について
外科処置後は知覚過敏症状が酷くなることが多いのですが、術後は比較的落ち着いており、スムーズに処置を進めることができました。
歯周病治療の注意事項(リスク・副作用など)
- 外科手術のため、術後に痛みや腫れ、違和感を伴います
- 歯周組織再生治療は患者様の状態によって術後の経過が異なります(見た目が改善しない場合もあります)
- 歯周組織再生治療は自費診療(保険適用外)となります
セラミック治療の注意事項(リスク・副作用など)
- 天然歯を削ります
- 硬い素材は天然歯を傷つけてしまう場合があります
- かみ合わせや歯ぎしりが強すぎる方はセラミックが割れてしまう可能性があります
- 自費診療(保険適用外治療)となります
当サイトの内容、テキスト、画像等の無断転載、複製、複写、盗用を固く禁じます。





















